Suppr超能文献

非肿瘤性肾脏中的微观肾小管静脉交通:单中心病例系列及文献综述

Microscopic Tubulovenous Communications in Nonneoplastic Kidneys: A Single-Center Case Series and Review of the Literature.

作者信息

Lilley Cullen M, Zuckerman Jonathan E

机构信息

UCLA Health, Department of Pathology and Laboratory Medicine, Los Angeles, CA.

出版信息

Kidney Med. 2025 Jul 16;7(9):101071. doi: 10.1016/j.xkme.2025.101071. eCollection 2025 Sep.

Abstract

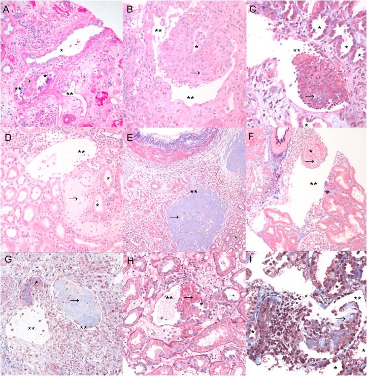
RATIONALE & OBJECTIVE: Pathological connection between the kidney tubules and veins is known as a microscopic tubulovenous communication we refer to as a tubulovenous fistula (TVF). This finding has been reported in a few small case reports, but no systematic examination of cases across various clinical settings detailing their histologic spectrum and associated clinical/pathologic findings has been performed.

STUDY DESIGN

Case series and literature review.

SETTING & PARTICIPANTS: Nonneoplastic kidney pathology reports from an academic medical center (February 1, 1990, to February 1, 2024) were queried for mention of TVF. In total, 30,537 nonneoplastic kidney reports were queried, and 22 cases of TVF were identified.

RESULTS

In total, 72.7% of TVF cases were from native kidney biopsies. Median patient age was 66 (range, 25-84) with a male predominance (68.2%). Clinically, 82.4% had microscopic hematuria, and 17.6% had gross hematuria. TVFs were usually singular and involved arcuate size veins. Microscopically, 95.5% of cases had acute tubular injury, and 73.3% had at least focal pathologic intratubular casts/calcium crystals. In total, 56.3% of native cases had interstitial nephritis. Of the transplant cases (n = 6), 66.7% exhibited rejection.

LIMITATIONS

Laboratory data, clinical follow-up, and original slides were not available in all cases examined. Although rare in our repository, TVFs are likely an under-reported finding. In addition, the focality of TVFs could play a role in their limited rate of detection.

CONCLUSIONS

This is the largest case series exploring the clinical and histologic features associated with TVFs in the kidney. Our findings support the assertion that TVFs are associated with hematuria without glomerulonephritis and occur in the setting of significant tubular injury, intratubular casts/crystals, and obstructive phenomena likely because of disruption of tubular basement membranes adjacent to veins.

摘要

原理与目的

肾小管与静脉之间的病理连接被称为微观肾小管 - 静脉交通,我们称之为肾小管 - 静脉瘘(TVF)。这一发现已在一些小型病例报告中有所报道,但尚未对各种临床情况下的病例进行系统检查,详细描述其组织学谱以及相关的临床/病理表现。

研究设计

病例系列研究与文献综述。

研究地点与参与者

查询了一家学术医疗中心(1990年2月1日至2024年2月1日)的非肿瘤性肾脏病理报告中是否提及TVF。总共查询了30537份非肿瘤性肾脏报告,确定了22例TVF病例。

结果

总体而言,72.7%的TVF病例来自自体肾活检。患者中位年龄为66岁(范围25 - 84岁),男性占优势(68.2%)。临床上,82.4%有镜下血尿,17.6%有肉眼血尿。TVF通常为单发,累及弓形静脉。显微镜下,95.5%的病例有急性肾小管损伤,73.3%至少有局灶性病理性肾小管内管型/钙晶体。总体而言,56.3%的自体肾病例有间质性肾炎。在移植病例(n = 6)中,66.7%表现出排斥反应。

局限性

并非所有检查病例都能获取实验室数据、临床随访资料和原始切片。虽然在我们的数据库中罕见,但TVF可能是报告不足的发现。此外,TVF的局灶性可能导致其检出率有限。

结论

这是探索肾脏中与TVF相关的临床和组织学特征的最大病例系列研究。我们的研究结果支持以下观点,即TVF与无肾小球肾炎的血尿相关,且发生在存在显著肾小管损伤、肾小管内管型/晶体以及可能由于静脉相邻肾小管基底膜破坏导致的梗阻现象的情况下。

https://cdn.ncbi.nlm.nih.gov/pmc/blobs/b8cf/12396424/9c97781589cf/gr1.jpg

文献检索

告别复杂PubMed语法,用中文像聊天一样搜索,搜遍4000万医学文献。AI智能推荐,让科研检索更轻松。

立即免费搜索

文件翻译

保留排版,准确专业,支持PDF/Word/PPT等文件格式,支持 12+语言互译。

免费翻译文档

深度研究

AI帮你快速写综述,25分钟生成高质量综述,智能提取关键信息,辅助科研写作。

立即免费体验