Suppr超能文献

一名患有纤维化非特异性间质性肺炎(NSIP)的非免疫功能低下患者发生诺卡菌感染。

Pulmonary Nocardia farcinica Infection in a Non-immunocompromised Patient With Fibrotic Nonspecific Interstitial Pneumonia (NSIP).

作者信息

V Narendhar, Thangaswamy Dhanasekar

机构信息

Department of Pulmonology, Sri Ramachandra Institute of Higher Education and Research, Chennai, IND.

出版信息

Cureus. 2025 Jul 30;17(7):e89074. doi: 10.7759/cureus.89074. eCollection 2025 Jul.

Abstract

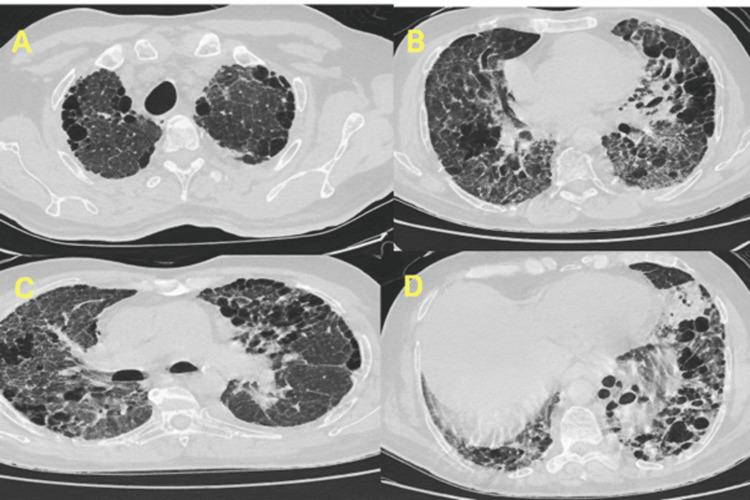
Pulmonary nocardiosis is a rare and often overlooked infection, particularly in individuals without classical immunosuppression. This report describes an unusual presentation of pulmonary infection in a patient with fibrotic interstitial lung disease and a significant history of occupational exposure to aluminum fumes. A 56-year-old male patient presented with progressive respiratory symptoms and hemoptysis, ultimately diagnosed through microbiological culture. Clinical improvement followed targeted antibiotic therapy. This case highlights the importance of considering atypical infections in patients with chronic lung conditions and environmental exposures.

摘要

肺诺卡菌病是一种罕见且常被忽视的感染,尤其是在没有典型免疫抑制的个体中。本报告描述了一名患有纤维化间质性肺病且有大量职业性铝烟暴露史的患者肺部感染的不寻常表现。一名56岁男性患者出现进行性呼吸道症状和咯血,最终通过微生物培养确诊。针对性抗生素治疗后临床症状改善。该病例强调了在患有慢性肺部疾病和有环境暴露史的患者中考虑非典型感染的重要性。

https://cdn.ncbi.nlm.nih.gov/pmc/blobs/77be/12396780/eab4a5df033b/cureus-0017-00000089074-i01.jpg

文献检索

告别复杂PubMed语法,用中文像聊天一样搜索,搜遍4000万医学文献。AI智能推荐,让科研检索更轻松。

立即免费搜索

文件翻译

保留排版,准确专业,支持PDF/Word/PPT等文件格式,支持 12+语言互译。

免费翻译文档

深度研究

AI帮你快速写综述,25分钟生成高质量综述,智能提取关键信息,辅助科研写作。

立即免费体验