• 文献检索
  • 文档翻译
  • 深度研究
  • 学术资讯
  • Suppr Zotero 插件Zotero 插件
  • 邀请有礼
  • 套餐&价格
  • 历史记录
应用&插件
Suppr Zotero 插件Zotero 插件浏览器插件Mac 客户端Windows 客户端微信小程序
定价
高级版会员购买积分包购买API积分包
服务
文献检索文档翻译深度研究API 文档MCP 服务
关于我们
关于 Suppr公司介绍联系我们用户协议隐私条款
关注我们

Suppr 超能文献

核心技术专利:CN118964589B侵权必究
粤ICP备2023148730 号-1Suppr @ 2026

文献检索

告别复杂PubMed语法,用中文像聊天一样搜索,搜遍4000万医学文献。AI智能推荐,让科研检索更轻松。

立即免费搜索

文件翻译

保留排版,准确专业,支持PDF/Word/PPT等文件格式,支持 12+语言互译。

免费翻译文档

深度研究

AI帮你快速写综述,25分钟生成高质量综述,智能提取关键信息,辅助科研写作。

立即免费体验

颈段食管癌合并气管食管瘘患者的成功治愈:一例病例报告及文献综述

Successful cure of a patient with tracheoesophageal fistula in cervical esophageal cancer: A case report and review of literature.

作者信息

Waheed Haider Zuhair, Huang Can-Qiang, Bao Yang-Yang, Chen Zhe, Chen Heng-Chao, Cao Zai-Zai, Zhong Jiang-Tao, Ye Peng, Fu Shui-Qiao, Zhou Shui-Hong

机构信息

Department of Otolaryngology, The First Affiliated Hospital, College of Medicine, Zhejiang University, Hangzhou 310003, Zhejiang Province, China.

Department of General Thoracic Surgery, The First Affiliated Hospital, College of Medicine, Zhejiang University, Hangzhou 310003, Zhejiang Province, China.

出版信息

World J Clin Oncol. 2025 Aug 24;16(8):109217. doi: 10.5306/wjco.v16.i8.109217.

DOI:10.5306/wjco.v16.i8.109217
PMID:40901322
原文链接:https://pmc.ncbi.nlm.nih.gov/articles/PMC12400185/
Abstract

BACKGROUND

Tracheoesophageal fistula (TEF) is a life-threatening complication of advanced esophageal squamous cell carcinoma (ESCC). Cervical ESCC is rare and frequently diagnosed at an advanced stage. Managing cervical esophageal cancer (CEC) is challenging, requiring intervention by a multidisciplinary team (MDT) and innovative surgical management.

CASE SUMMARY

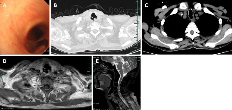
Here, we present a 59-year-old male patient with a 5-month history of CEC and difficulty eating for over 20 days, who developed TEF secondary to recurrent ESCC after chemoradiotherapy. He underwent total pharyngolaryngoesophagectomy, left thyroidectomy, and lymphadenectomy. Gastric pull-up was performed to restore gastrointestinal continuity, and a 7 cm × 5 cm supraclavicular artery island flap (SCAIF) was used to reconstruct the lower tracheal defect. Despite severe postoperative complications, he recovered by successful management by a MDT. A 7 cm × 6 cm pectoralis major myocutaneous flap was successfully used to repair the necrotic gastric conduit defect. The patient recovered, regaining the ability to eat and breathe effectively. At the 27-month follow-up, he was alive without recurrence or metastasis.

CONCLUSION

This study highlights the efficacy of gastric pull-up and SCAIF reconstruction in managing TEF secondary to recurrent ESCC.

摘要

背景

气管食管瘘(TEF)是晚期食管鳞状细胞癌(ESCC)的一种危及生命的并发症。颈段ESCC较为罕见,且常于晚期被诊断出来。治疗颈段食管癌(CEC)具有挑战性,需要多学科团队(MDT)进行干预并采用创新的手术管理方法。

病例摘要

在此,我们报告一名59岁男性患者,有5个月的CEC病史,进食困难超过20天,在放化疗后因复发性ESCC继发TEF。他接受了全喉咽食管切除术、左侧甲状腺切除术和淋巴结清扫术。进行了胃上提术以恢复胃肠道连续性,并使用一块7厘米×5厘米的锁骨下动脉岛状皮瓣(SCAIF)修复气管下段缺损。尽管术后出现严重并发症,但通过MDT的成功管理,他得以康复。一块7厘米×6厘米的胸大肌肌皮瓣成功用于修复坏死的胃管道缺损。患者康复,恢复了有效进食和呼吸的能力。在27个月的随访中,他存活且无复发或转移。

结论

本研究强调了胃上提术和SCAIF重建术在治疗复发性ESCC继发TEF中的疗效。

https://cdn.ncbi.nlm.nih.gov/pmc/blobs/16c2/12400185/131b354a3fb3/wjco-16-8-109217-g007.jpg
https://cdn.ncbi.nlm.nih.gov/pmc/blobs/16c2/12400185/cb1618c49915/wjco-16-8-109217-g001.jpg
https://cdn.ncbi.nlm.nih.gov/pmc/blobs/16c2/12400185/143b8360dac2/wjco-16-8-109217-g002.jpg
https://cdn.ncbi.nlm.nih.gov/pmc/blobs/16c2/12400185/1130ec0265d0/wjco-16-8-109217-g003.jpg
https://cdn.ncbi.nlm.nih.gov/pmc/blobs/16c2/12400185/9c9e0c516d06/wjco-16-8-109217-g004.jpg
https://cdn.ncbi.nlm.nih.gov/pmc/blobs/16c2/12400185/3b65c63de744/wjco-16-8-109217-g005.jpg
https://cdn.ncbi.nlm.nih.gov/pmc/blobs/16c2/12400185/6af41e131aa3/wjco-16-8-109217-g006.jpg
https://cdn.ncbi.nlm.nih.gov/pmc/blobs/16c2/12400185/131b354a3fb3/wjco-16-8-109217-g007.jpg
https://cdn.ncbi.nlm.nih.gov/pmc/blobs/16c2/12400185/cb1618c49915/wjco-16-8-109217-g001.jpg
https://cdn.ncbi.nlm.nih.gov/pmc/blobs/16c2/12400185/143b8360dac2/wjco-16-8-109217-g002.jpg
https://cdn.ncbi.nlm.nih.gov/pmc/blobs/16c2/12400185/1130ec0265d0/wjco-16-8-109217-g003.jpg
https://cdn.ncbi.nlm.nih.gov/pmc/blobs/16c2/12400185/9c9e0c516d06/wjco-16-8-109217-g004.jpg
https://cdn.ncbi.nlm.nih.gov/pmc/blobs/16c2/12400185/3b65c63de744/wjco-16-8-109217-g005.jpg
https://cdn.ncbi.nlm.nih.gov/pmc/blobs/16c2/12400185/6af41e131aa3/wjco-16-8-109217-g006.jpg
https://cdn.ncbi.nlm.nih.gov/pmc/blobs/16c2/12400185/131b354a3fb3/wjco-16-8-109217-g007.jpg

相似文献

1
Successful cure of a patient with tracheoesophageal fistula in cervical esophageal cancer: A case report and review of literature.颈段食管癌合并气管食管瘘患者的成功治愈:一例病例报告及文献综述
World J Clin Oncol. 2025 Aug 24;16(8):109217. doi: 10.5306/wjco.v16.i8.109217.
2
Single-Stage Pedicle Preputial Tube Substitution Urethroplasty with Corpora Cavernosa Augmentation Using Buccal Mucosa Graft for Primary Peno-Scrotal Hypospadias Re-pair in Adults.单阶段带蒂包皮管替代尿道成形术联合阴茎海绵体增大术,采用颊黏膜移植治疗成人原发性阴茎阴囊型尿道下裂修复术
Int Braz J Urol. 2025 Jul-Aug;51(4). doi: 10.1590/S1677-5538.IBJU.2024.0650.
3
Successfully cured a rare case of esophageal squamous cell carcinoma combined with hepato-gastric schwannoma using robot-assisted surgery: case report.机器人辅助手术成功治愈1例罕见的食管鳞状细胞癌合并肝胃神经鞘瘤:病例报告
Front Oncol. 2025 Jun 26;15:1589929. doi: 10.3389/fonc.2025.1589929. eCollection 2025.
4
Prescription of Controlled Substances: Benefits and Risks管制药品的处方:益处与风险
5
Effectiveness of voice rehabilitation on vocalisation in postlaryngectomy patients: a systematic review.喉切除术后患者的嗓音康复对发声效果的影响:系统评价。
Int J Evid Based Healthc. 2010 Dec;8(4):256-8. doi: 10.1111/j.1744-1609.2010.00177.x.
6
Repair of Type C Tracheo-esophageal Fistula/Esophageal Atresia With or Without Trans Anastomotic Tube: A Pilot Randomized Controlled Trial.伴或不伴经吻合口置管的C型气管食管瘘/食管闭锁修复术:一项前瞻性随机对照试验
J Pediatr Surg. 2025 Jan;60(1):161970. doi: 10.1016/j.jpedsurg.2024.161970. Epub 2024 Sep 28.
7
Delayed diagnosis of isolated congenital H-type tracheoesophageal fistula: a case report of surgical repair supported by TachoSil as an adjunct in chronically inflamed tissues.孤立性先天性H型气管食管瘘的延迟诊断:1例采用速即纱辅助修复慢性炎症组织的手术病例报告
Transl Pediatr. 2025 Jul 31;14(7):1668-1674. doi: 10.21037/tp-2025-72. Epub 2025 Jul 16.
8
[Application of right-opening single flap valvuloplasty based on tubular stomach in gastrointestinal reconstruction after laparoscopic proximal gastrectomy].[基于管状胃的右开单瓣瓣膜成形术在腹腔镜近端胃切除术后胃肠重建中的应用]
Zhonghua Wei Chang Wai Ke Za Zhi. 2025 Aug 25;28(8):922-926. doi: 10.3760/cma.j.cn441530-20241030-00357.
9
Emergency Airway Management in a Patient With Tracheoesophageal Fistula and Prior Laryngectomy.气管食管瘘合并既往喉切除术患者的紧急气道管理
J Emerg Med. 2025 Oct;77:38-41. doi: 10.1016/j.jemermed.2025.07.019. Epub 2025 Jul 11.
10
Hysterectomy with radiotherapy or chemotherapy or both for women with locally advanced cervical cancer.对局部晚期宫颈癌女性患者进行子宫切除术并辅以放疗或化疗或两者联合治疗。
Cochrane Database Syst Rev. 2015 Apr 7(4):CD010260. doi: 10.1002/14651858.CD010260.pub2.

本文引用的文献

1
Role of the Pectoralis Major Muscle Flap in the Multidisciplinary Treatment of Esophageal Cancer.胸大肌肌瓣在食管癌多学科治疗中的作用
Plast Reconstr Surg Glob Open. 2024 Nov 8;12(11):e6290. doi: 10.1097/GOX.0000000000006290. eCollection 2024 Nov.
2
Impact of Flap Size and Comorbidities on Supraclavicular Artery Island Flap Outcomes.皮瓣大小和合并症对锁骨下动脉岛状皮瓣手术效果的影响
OTO Open. 2024 Jul 24;8(3):e175. doi: 10.1002/oto2.175. eCollection 2024 Jul-Sep.
3
Safe and reliable use of supraclavicular flaps for head and neck reconstruction.
安全可靠地使用锁骨上皮瓣进行头颈部重建。
J Craniofac Surg. 2024 Jul 18. doi: 10.1097/SCS.0000000000010483.
4
Successful Salvage of Partial Gastric Conduit Necrosis by Primary Anastomosis in a Post-Esophagectomy Patient.食管切除术后患者通过一期吻合成功挽救部分胃管道坏死
Indian J Surg Oncol. 2024 Jun;15(2):355-358. doi: 10.1007/s13193-024-01891-4. Epub 2024 Feb 12.
5
Secondary Microsurgical Reconstruction of the Cervical Esophagus: Safer Flaps and Practical Tips in a Challenging Situation.颈段食管的二期显微外科重建:具有挑战性情况下更安全的皮瓣及实用技巧
J Clin Med. 2024 May 6;13(9):2726. doi: 10.3390/jcm13092726.
6
A Case of Asymptomatic Tracheoesophageal Fistula.一例无症状性气管食管瘘病例。
Ear Nose Throat J. 2023 Oct 13:1455613231200810. doi: 10.1177/01455613231200810.
7
Additional superdrainage reduces anastomotic fistula and stenosis after gastric tube reconstruction with cervical anastomosis for esophageal cancer.额外的引流可减少食管癌经颈部吻合胃管重建术后的吻合口瘘和狭窄。
JTCVS Tech. 2023 Mar 16;19:142-146. doi: 10.1016/j.xjtc.2023.03.005. eCollection 2023 Jun.
8
CT Evaluation of the Esophagus: The Role of CT Imaging and CT Imaging Findings in Diagnosing Esophageal Abnormalities.CT 评价食管:CT 成像在诊断食管异常中的作用和 CT 成像表现。
Curr Probl Diagn Radiol. 2023 Jul-Aug;52(4):289-299. doi: 10.1067/j.cpradiol.2023.03.002. Epub 2023 Mar 22.
9
A case of advanced hypopharyngeal cervical esophageal cancer treated by curative resection with management of tracheoesophageal fistula.下咽颈段食管癌根治术后并发气管食管瘘 1 例
Clin J Gastroenterol. 2023 Aug;16(4):508-514. doi: 10.1007/s12328-023-01792-z. Epub 2023 Apr 8.
10
Esophageal and Esophagogastric Junction Cancers, Version 2.2023, NCCN Clinical Practice Guidelines in Oncology.《食管癌和食管胃交界癌,第2版,2023年,美国国立综合癌症网络肿瘤学临床实践指南》
J Natl Compr Canc Netw. 2023 Apr;21(4):393-422. doi: 10.6004/jnccn.2023.0019.