• 文献检索
  • 文档翻译
  • 深度研究
  • 学术资讯
  • Suppr Zotero 插件Zotero 插件
  • 邀请有礼
  • 套餐&价格
  • 历史记录
应用&插件
Suppr Zotero 插件Zotero 插件浏览器插件Mac 客户端Windows 客户端微信小程序
定价
高级版会员购买积分包购买API积分包
服务
文献检索文档翻译深度研究API 文档MCP 服务
关于我们
关于 Suppr公司介绍联系我们用户协议隐私条款
关注我们

Suppr 超能文献

核心技术专利:CN118964589B侵权必究
粤ICP备2023148730 号-1Suppr @ 2026

文献检索

告别复杂PubMed语法,用中文像聊天一样搜索,搜遍4000万医学文献。AI智能推荐,让科研检索更轻松。

立即免费搜索

文件翻译

保留排版,准确专业,支持PDF/Word/PPT等文件格式,支持 12+语言互译。

免费翻译文档

深度研究

AI帮你快速写综述,25分钟生成高质量综述,智能提取关键信息,辅助科研写作。

立即免费体验

钾在平滑肌中的蓄积及相关超微结构变化。

Potassium accumulation in smooth muscle and associated ultrastructural changes.

作者信息

Jones A W, Somlyo A P, Somlyo A V

出版信息

J Physiol. 1973 Jul;232(2):247-73. doi: 10.1113/jphysiol.1973.sp010268.

DOI:10.1113/jphysiol.1973.sp010268
PMID:4199367
原文链接:https://pmc.ncbi.nlm.nih.gov/articles/PMC1350453/
Abstract
  1. The water content, extracellular ((60)CoEDTA) space, ionic composition and ultrastructure of several mammalian smooth muscles were studied after incubation in solutions of varying ionic compositions and osmolarities.2. Substitution of KCl for NaCl resulted in an increase in cell water, K and Cl, accompanied by little change in total wet weight. This was due to a reduction in the extracellular space.3. Changes in extracellular osmolarity produced a wider range of cell volumes in high KCl solutions than in Krebs. The addition of 29-58 mM sucrose to high KCl prevented the swelling.4. Electron microscopy of smooth muscle swollen in high KCl solution revealed light (less electron opaque than normal) fibres of increased diameter, reduction in extracellular space, and nuclear swelling. The normal thick filament lattice was destroyed in swollen, osmium-fixed smooth muscles.5. The ultrastructural changes ascribed to swelling were absent in smooth muscles, (a) depolarized in high K(2)SO(4) solutions, (b) in high KCl solutions with 29-58 mM sucrose, and (c) returned to normal Krebs solution for recovery from swelling.6. Smooth muscles incubated in high KCl (swollen) and high K(2)SO(4) (unswollen) exhibited similar contractile responses, suggesting the filament lattice was intact until fixation, and that the contractile mechanism can operate over a relatively wide range of actin to myosin separations.7. Shrinkage of smooth muscles in high KCl solutions made hypertonic with the addition of 10% sucrose was accompanied by an aggregation of the thick filaments.8. The cell water of fixed taenia coli was reduced (a) by incubation in hypertonic solution followed by fixation in normal glutaraldehyde, or (b) by fixation of normal tissue in hypertonic glutaraldehyde. Osmotic responses during aldehyde fixation may be a source of artifact in the visualization of the normal filament lattice.
摘要
  1. 在不同离子组成和渗透压的溶液中孵育后,研究了几种哺乳动物平滑肌的含水量、细胞外((60)CoEDTA)空间、离子组成和超微结构。

  2. 用KCl替代NaCl导致细胞内水、K和Cl增加,而总湿重变化不大。这是由于细胞外空间减少。

  3. 细胞外渗透压的变化在高KCl溶液中比在Krebs溶液中产生更广泛的细胞体积变化。向高KCl溶液中添加29 - 58 mM蔗糖可防止肿胀。

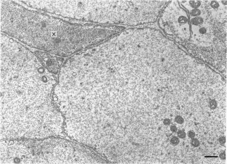
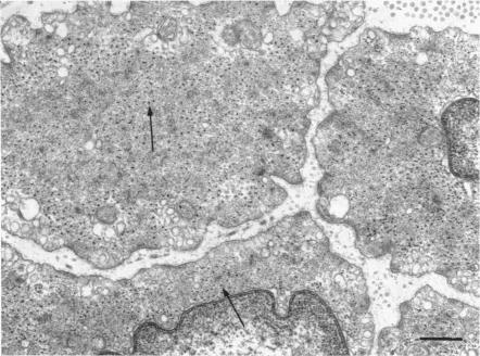
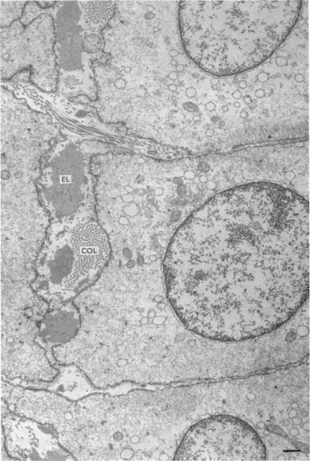
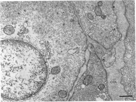
  4. 在高KCl溶液中肿胀的平滑肌的电子显微镜检查显示,纤维变亮(电子密度低于正常)、直径增加、细胞外空间减少和核肿胀。在肿胀的、经锇固定的平滑肌中,正常的粗肌丝晶格被破坏。

  5. 在平滑肌中未观察到归因于肿胀的超微结构变化,(a)在高K₂SO₄溶液中去极化,(b)在含有29 - 58 mM蔗糖的高KCl溶液中,以及(c)恢复到正常Krebs溶液中从肿胀状态恢复。

  6. 在高KCl(肿胀)和高K₂SO₄(未肿胀)中孵育的平滑肌表现出相似的收缩反应,表明在固定之前肌丝晶格是完整的,并且收缩机制可以在肌动蛋白与肌球蛋白分离的相对较宽范围内起作用。

  7. 在添加10%蔗糖使其变为高渗的高KCl溶液中,平滑肌收缩伴随着粗肌丝的聚集。

  8. 固定的结肠带绦虫的细胞内水减少,(a)通过在高渗溶液中孵育然后在正常戊二醛中固定,或(b)通过在高渗戊二醛中固定正常组织。醛固定过程中的渗透反应可能是在观察正常肌丝晶格时产生假象的一个来源。

https://cdn.ncbi.nlm.nih.gov/pmc/blobs/482b/1350453/d090914e6800/jphysiol00958-0065-b.jpg
https://cdn.ncbi.nlm.nih.gov/pmc/blobs/482b/1350453/01e43af113ce/jphysiol00958-0067-a.jpg
https://cdn.ncbi.nlm.nih.gov/pmc/blobs/482b/1350453/82729ce2a820/jphysiol00958-0068-a.jpg
https://cdn.ncbi.nlm.nih.gov/pmc/blobs/482b/1350453/b3f7b9ba8b58/jphysiol00958-0068-b.jpg
https://cdn.ncbi.nlm.nih.gov/pmc/blobs/482b/1350453/d84b06c0b6e8/jphysiol00958-0069-a.jpg
https://cdn.ncbi.nlm.nih.gov/pmc/blobs/482b/1350453/5351b7d753cf/jphysiol00958-0069-b.jpg
https://cdn.ncbi.nlm.nih.gov/pmc/blobs/482b/1350453/3c8f732c8d25/jphysiol00958-0070-a.jpg
https://cdn.ncbi.nlm.nih.gov/pmc/blobs/482b/1350453/9e5aea9f019b/jphysiol00958-0065-a.jpg
https://cdn.ncbi.nlm.nih.gov/pmc/blobs/482b/1350453/d090914e6800/jphysiol00958-0065-b.jpg
https://cdn.ncbi.nlm.nih.gov/pmc/blobs/482b/1350453/01e43af113ce/jphysiol00958-0067-a.jpg
https://cdn.ncbi.nlm.nih.gov/pmc/blobs/482b/1350453/82729ce2a820/jphysiol00958-0068-a.jpg
https://cdn.ncbi.nlm.nih.gov/pmc/blobs/482b/1350453/b3f7b9ba8b58/jphysiol00958-0068-b.jpg
https://cdn.ncbi.nlm.nih.gov/pmc/blobs/482b/1350453/d84b06c0b6e8/jphysiol00958-0069-a.jpg
https://cdn.ncbi.nlm.nih.gov/pmc/blobs/482b/1350453/5351b7d753cf/jphysiol00958-0069-b.jpg
https://cdn.ncbi.nlm.nih.gov/pmc/blobs/482b/1350453/3c8f732c8d25/jphysiol00958-0070-a.jpg
https://cdn.ncbi.nlm.nih.gov/pmc/blobs/482b/1350453/9e5aea9f019b/jphysiol00958-0065-a.jpg
https://cdn.ncbi.nlm.nih.gov/pmc/blobs/482b/1350453/d090914e6800/jphysiol00958-0065-b.jpg

相似文献

1
Potassium accumulation in smooth muscle and associated ultrastructural changes.钾在平滑肌中的蓄积及相关超微结构变化。
J Physiol. 1973 Jul;232(2):247-73. doi: 10.1113/jphysiol.1973.sp010268.
2
The contractile response of smooth muscle to immersion in hypertonic solutions.平滑肌对浸入高渗溶液的收缩反应。
Clin Exp Pharmacol Physiol. 1980 Mar-Apr;7(2):147-58. doi: 10.1111/j.1440-1681.1980.tb00056.x.
3
The membrane properties of the smooth muscle of the guinea-pig portal vein in isotonic and hypertonic solutions.豚鼠门静脉平滑肌在等渗和高渗溶液中的膜特性。
J Physiol. 1971 Aug;217(1):179-99. doi: 10.1113/jphysiol.1971.sp009565.
4
The effect of hypo- and hypertonic solutions on volume and ion distribution of smooth muscle of guinea-pig taenia coli.低渗和高渗溶液对豚鼠结肠带平滑肌体积和离子分布的影响。
J Physiol. 1968 Mar;195(1):107-18. doi: 10.1113/jphysiol.1968.sp008449.
5
The use of lanthanum to estimate the numbers of extracellular cation-exchanging sites in the guinea-pig's taenia coli, and its effects on transmembrane monovalent ion movements.利用镧来估算豚鼠结肠带中细胞外阳离子交换位点的数量及其对跨膜单价离子运动的影响。
J Physiol. 1977 Apr;266(2):255-73. doi: 10.1113/jphysiol.1977.sp011767.
6
Membrane potential and ion content in the smooth muscle of the guinea-pig's taenia coli at different external potassium concentrations.豚鼠结肠带平滑肌在不同细胞外钾浓度下的膜电位和离子含量
J Physiol. 1966 May;184(1):120-30. doi: 10.1113/jphysiol.1966.sp007906.
7
Effects of sucrose- or Tris-substitution for Na+ on responses to D 600, papaverine and KCN in the K+-depolarized taenia coli of guinea pigs.用蔗糖或Tris替代Na⁺对豚鼠K⁺去极化结肠带对D 600、罂粟碱和氰化钾反应的影响。
Jpn J Pharmacol. 1988 Aug;47(4):341-7. doi: 10.1254/jjp.47.341.
8
Inhibition of contraction by swelling of vascular smooth muscle in high KCl, low Na solution.在高钾、低钠溶液中血管平滑肌肿胀对收缩的抑制作用。
Arch Int Pharmacodyn Ther. 1981 Apr;250(2):195-203.
9
Analysis of the effluxes of sodium, potassium and chloride ions from smooth muscle in normal and hypertonic solutions.正常溶液和高渗溶液中平滑肌钠、钾和氯离子外流的分析。
J Physiol. 1971 May;214(3):393-416. doi: 10.1113/jphysiol.1971.sp009440.
10
[Mechanisms of spontaneous relaxation of smooth muscle (guinea pig taenia coli) depolarized in a hyperkalemic medium].[高钾介质中去极化的平滑肌(豚鼠结肠带)自发舒张的机制]
Biofizika. 1976 Sep-Oct;21(5):848-55.

引用本文的文献

1
Smooth and cardiac muscle-selective knock-out of Kruppel-like factor 4 causes postnatal death and growth retardation.平滑肌和心肌组织特异性敲除 Kruppel 样因子 4 可导致出生后死亡和生长迟缓。
J Biol Chem. 2010 Jul 2;285(27):21175-84. doi: 10.1074/jbc.M110.112482. Epub 2010 May 3.
2
Calcium-independent phospholipase A2 participates in KCl-induced calcium sensitization of vascular smooth muscle.不依赖钙的磷脂酶A2参与氯化钾诱导的血管平滑肌钙敏化。
Cell Calcium. 2009 Jul;46(1):65-72. doi: 10.1016/j.ceca.2009.05.001. Epub 2009 May 31.
3
Effects of sodium gradient manipulation upon cellular calcium, 45Ca fluxes and cellular sodium in the guinea-pig taenia coli.

本文引用的文献

1
Potassium accumulation in muscle and associated changes.肌肉中的钾蓄积及相关变化。
J Physiol. 1941 Aug 11;100(1):1-63. doi: 10.1113/jphysiol.1941.sp003922.
2
MEMBRANE POTENTIAL AND IONIC CONTENT IN PREGNANT AND NON-PREGNANT RAT MYOMETRIUM.妊娠和未妊娠大鼠子宫肌层的膜电位与离子含量
J Physiol. 1965 Mar;177(2):263-87. doi: 10.1113/jphysiol.1965.sp007591.
3
The secretion of sodium and uptake of potassium by isolated uterine segments made sodium-rich.分离出的富钠子宫段对钠的分泌和对钾的摄取。
钠梯度调控对豚鼠结肠带细胞钙、45Ca通量及细胞钠的影响
J Physiol. 1981;319:443-61. doi: 10.1113/jphysiol.1981.sp013920.
4
The kinetics of ouabain-sensitive ionic transport in the rabbit carotid artery.哇巴因敏感的离子转运在兔颈动脉中的动力学
J Physiol. 1981 Aug;317:243-62. doi: 10.1113/jphysiol.1981.sp013823.
5
Effects of increasing osmolality on rat ileal smooth muscle.渗透压升高对大鼠回肠平滑肌的影响。
Pflugers Arch. 1980 Dec;389(1):75-9. doi: 10.1007/BF00587931.
6
Mechanical characteristics of chemically skinned guinea-pig taenia coli.化学去表皮豚鼠结肠带的力学特性
Pflugers Arch. 1982 Dec;395(4):277-84. doi: 10.1007/BF00580790.
7
Dissociation of K+-induced tension and cellular Ca2+ retention in vascular and intestinal smooth muscle in normoxia and hypoxia.常氧和低氧条件下血管及肠道平滑肌中钾离子诱导的张力与细胞内钙离子潴留的解离
Pflugers Arch. 1982 Aug;394(2):118-23. doi: 10.1007/BF00582912.
8
Techniques and applications of extracellular space determination in mammalian tissues.哺乳动物组织细胞外空间测定的技术与应用
Experientia. 1982 Apr 15;38(4):411-21. doi: 10.1007/BF01952615.
9
Tension responses of chemically skinned fibre bundles of the guinea-pig taenia caeci under varied ionic environments.豚鼠盲肠带化学去皮纤维束在不同离子环境下的张力反应。
J Physiol. 1981 Nov;320:449-67. doi: 10.1113/jphysiol.1981.sp013961.
10
Dense bodies and actin polarity in vertebrate smooth muscle.脊椎动物平滑肌中的致密小体与肌动蛋白极性
J Cell Biol. 1982 Nov;95(2 Pt 1):403-13. doi: 10.1083/jcb.95.2.403.
J Physiol. 1960 Dec;154(3):421-44. doi: 10.1113/jphysiol.1960.sp006589.
4
Effects of drugs on depolarized plain muscle.药物对去极化平滑肌的作用。
J Physiol. 1958 Oct 31;143(3):474-85. doi: 10.1113/jphysiol.1958.sp006072.
5
A method for studying the effects of ions and drugs on the resting and action potentials in smooth muscle with external electrodes.一种使用外部电极研究离子和药物对平滑肌静息电位和动作电位影响的方法。
J Physiol. 1958 Jan 23;140(1):156-67. doi: 10.1113/jphysiol.1958.sp005924.
6
The effect of internal and external potassium concentration on the membrane potential of frog muscle.细胞内外钾离子浓度对蛙肌膜电位的影响。
J Physiol. 1956 Sep 27;133(3):631-58. doi: 10.1113/jphysiol.1956.sp005615.
7
Water and electrolyte metabolism.水和电解质代谢
Physiol Rev. 1954 Apr;34(2):334-417. doi: 10.1152/physrev.1954.34.2.334.
8
X-ray analysis and the problem of muscle.X射线分析与肌肉问题。
Proc R Soc Lond B Biol Sci. 1953 Mar 11;141(902):59-62. doi: 10.1098/rspb.1953.0017.
9
Membrane potential and ion content in the smooth muscle of the guinea-pig's taenia coli at different external potassium concentrations.豚鼠结肠带平滑肌在不同细胞外钾浓度下的膜电位和离子含量
J Physiol. 1966 May;184(1):120-30. doi: 10.1113/jphysiol.1966.sp007906.
10
The distribution of ions in the smooth muscle of the guinea-pig taenia coli.豚鼠结肠带平滑肌中离子的分布。
J Physiol. 1966 Apr;183(3):551-69. doi: 10.1113/jphysiol.1966.sp007883.