• 文献检索
  • 文档翻译
  • 深度研究
  • 学术资讯
  • Suppr Zotero 插件Zotero 插件
  • 邀请有礼
  • 套餐&价格
  • 历史记录
应用&插件
Suppr Zotero 插件Zotero 插件浏览器插件Mac 客户端Windows 客户端微信小程序
定价
高级版会员购买积分包购买API积分包
服务
文献检索文档翻译深度研究API 文档MCP 服务
关于我们
关于 Suppr公司介绍联系我们用户协议隐私条款
关注我们

Suppr 超能文献

核心技术专利:CN118964589B侵权必究
粤ICP备2023148730 号-1Suppr @ 2026

文献检索

告别复杂PubMed语法,用中文像聊天一样搜索,搜遍4000万医学文献。AI智能推荐,让科研检索更轻松。

立即免费搜索

文件翻译

保留排版,准确专业,支持PDF/Word/PPT等文件格式,支持 12+语言互译。

免费翻译文档

深度研究

AI帮你快速写综述,25分钟生成高质量综述,智能提取关键信息,辅助科研写作。

立即免费体验

果蝇后极质的移植。卵前极生殖细胞的诱导。

Transplantation of posterior polar plasm in Drosophila. Induction of germ cells at the anterior pole of the egg.

作者信息

Illmensee K, Mahowald A P

出版信息

Proc Natl Acad Sci U S A. 1974 Apr;71(4):1016-20. doi: 10.1073/pnas.71.4.1016.

DOI:10.1073/pnas.71.4.1016
PMID:4208545
原文链接:https://pmc.ncbi.nlm.nih.gov/articles/PMC388152/
Abstract

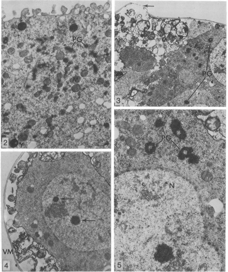
In Drosophila melanogaster the primordial germ cells are normally formed at the posterior tip of the egg during the preblastoderm stage. In order to determine whether the posterior polar plasm is capable of inducing the formation of primordial germ cells in another region of the embryo, portions of this cytoplasm were transferred from wild-type embryos of the early cleavage stage to the anterior tip of mwh e embryos of the same age. At various times after the injection (15-200 min), embryos were fixed for histological analysis. Alternating thick and thin sections were examined for the presence of experimentally induced pole cells. In more than half of the embryos analyzed in this way, one to six cells were found containing the polar granules as well as round nuclear structures, both of which are characteristic of normal pole cells and are not present in blastoderm cells. In order to determine whether these "pole cells" function normally, i.e., develop further into germ cells, the cells induced at the anterior tip of mwh e blastoderm embryos were introduced into the posterior region of y w sn(3) hosts of the same age. The flies resulting from these embryos were mated to y w sn(3) partners. In addition to the expected y w sn(3) progeny, wild-type flies heterozygous for mwh e and, therefore, descended from the experimentally induced pole cells were found in 4% of the crosses. Such flies did not appear in the control experiments after transfer of normal anterior cells from noninjected blastoderm embryos. These results demonstrate that the posterior polar plasm can be transferred to the anterior tip of the embryo and that in this presumptive somatic region it still retains its capacity to determine the formation of the primordial germ cells.

摘要

在黑腹果蝇中,原始生殖细胞通常在胚盘形成前期于卵的后端形成。为了确定后端极质是否能够在胚胎的其他区域诱导原始生殖细胞的形成,将该细胞质的部分从早期卵裂阶段的野生型胚胎转移到同龄的mwh e胚胎的前端。在注射后的不同时间(15 - 200分钟),将胚胎固定用于组织学分析。检查交替的厚切片和薄切片中是否存在实验诱导的极细胞。以这种方式分析的超过一半的胚胎中,发现有一到六个细胞含有极颗粒以及圆形核结构,这两者都是正常极细胞的特征,而在胚盘细胞中不存在。为了确定这些“极细胞”是否正常发挥功能,即是否进一步发育成生殖细胞,将在mwh e胚盘胚胎前端诱导的细胞引入同龄的yw sn(3)宿主的后端区域。由这些胚胎产生的果蝇与yw sn(3)的果蝇交配。除了预期的yw sn(3)后代外,在4%的杂交中发现了杂合mwh e的野生型果蝇,因此它们是由实验诱导的极细胞发育而来的。在从未注射的胚盘胚胎转移正常前端细胞后的对照实验中没有出现这样的果蝇。这些结果表明,后端极质可以转移到胚胎的前端,并且在这个假定的体细胞区域它仍然保留着决定原始生殖细胞形成的能力。

https://cdn.ncbi.nlm.nih.gov/pmc/blobs/f126/388152/bba367f4539f/pnas00057-0012-a.jpg
https://cdn.ncbi.nlm.nih.gov/pmc/blobs/f126/388152/bba367f4539f/pnas00057-0012-a.jpg
https://cdn.ncbi.nlm.nih.gov/pmc/blobs/f126/388152/bba367f4539f/pnas00057-0012-a.jpg

相似文献

1
Transplantation of posterior polar plasm in Drosophila. Induction of germ cells at the anterior pole of the egg.果蝇后极质的移植。卵前极生殖细胞的诱导。
Proc Natl Acad Sci U S A. 1974 Apr;71(4):1016-20. doi: 10.1073/pnas.71.4.1016.
2
Interspecific transplantation of polar plasm between Drosophila embryos.果蝇胚胎间极质的种间移植。
J Cell Biol. 1976 Aug;70(2 pt 1):358-73. doi: 10.1083/jcb.70.2.358.
3
Mitochondrially encoded 16S large ribosomal RNA is concentrated in the posterior polar plasm of early Drosophila embryos but is not required for pole cell formation.线粒体编码的16S大核糖体RNA集中在早期果蝇胚胎的后极质中,但极细胞形成并不需要它。
Dev Biol. 1994 Jun;163(2):503-15. doi: 10.1006/dbio.1994.1166.
4
The effect of egg rotation on the differentiation of primordial germ cells in Xenopus laevis.卵旋转对非洲爪蟾原始生殖细胞分化的影响。
J Embryol Exp Morphol. 1985 Dec;90:79-99.
5
Mitochondrial small ribosomal RNA is present on polar granules in early cleavage embryos of Drosophila melanogaster.线粒体小核糖体RNA存在于黑腹果蝇早期卵裂胚胎的极颗粒上。
Dev Growth Differ. 1999 Aug;41(4):495-502. doi: 10.1046/j.1440-169x.1999.00451.x.
6
[Kinematics and ultrastructure of plasmic factor regions in the egg of Wachtliella persicariae L. (Diptera) : II. The behaviour of ooplasmic partial systems after centrifugation of eggs in the stage of four cleavage nuclei].[桃蚜小蜂(双翅目)卵中质因子区域的运动学与超微结构:II. 处于四个分裂核阶段的卵离心后卵质部分系统的行为]
Wilhelm Roux Arch Entwickl Mech Org. 1969 Mar;163(1):40-80. doi: 10.1007/BF00576986.
7
Functions of maternal mRNA as a cytoplasmic factor responsible for pole cell formation in Drosophila embryos.母体mRNA作为果蝇胚胎中负责极细胞形成的细胞质因子的功能。
Dev Biol. 1986 Dec;118(2):352-60. doi: 10.1016/0012-1606(86)90004-7.
8
Developmental analysis of grandchildless (gs(1)N441) mutation in Drosophila melanogaster; abnormal formation of pole cells.黑腹果蝇无孙代(gs(1)N441)突变的发育分析;极细胞的异常形成。
Jpn J Genet. 1988 Feb;63(1):23-32. doi: 10.1266/jjg.63.23.
9
Dynamic Hsp83 RNA localization during Drosophila oogenesis and embryogenesis.果蝇卵子发生和胚胎发生过程中热休克蛋白83(Hsp83)RNA的动态定位
Mol Cell Biol. 1993 Jun;13(6):3773-81. doi: 10.1128/mcb.13.6.3773-3781.1993.
10
cappuccino and spire: two unique maternal-effect loci required for both the anteroposterior and dorsoventral patterns of the Drosophila embryo.卡布奇诺和尖顶:果蝇胚胎前后轴和背腹轴模式形成所需的两个独特母体效应基因座。
Genes Dev. 1989 Sep;3(9):1437-52. doi: 10.1101/gad.3.9.1437.

引用本文的文献

1
The LOTUS domain of Oskar promotes localisation of both protein and mRNA components of germ plasm.俄刻阿诺斯蛋白的LOTUS结构域促进生殖质的蛋白质和mRNA组分的定位。
bioRxiv. 2025 May 6:2025.05.02.651258. doi: 10.1101/2025.05.02.651258.
2
Caspar modulates primordial germ cell fate both in an Oskar-dependent and Oskar-independent manner.卡斯帕以依赖于奥斯卡和不依赖于奥斯卡的方式调节原始生殖细胞的命运。
Biol Open. 2025 Jul 15;14(7). doi: 10.1242/bio.062119. Epub 2025 Jul 28.
3
Origin and establishment of the germline in Drosophila melanogaster.

本文引用的文献

1
Experimental research on chromosome elimination in Cecidomyidae (Diptera).瘿蚊科(双翅目)染色体消除的实验研究。
J Exp Zool. 1959 Aug;141:391-447. doi: 10.1002/jez.1401410302.
2
Certain aspects of cell lineage and morphogenesis studied in embryos of Drosophila melanogaster with an ultra-violet micro-beam.利用紫外线微束对黑腹果蝇胚胎中的细胞谱系和形态发生的某些方面进行了研究。
J Embryol Exp Morphol. 1961 Jun;9:310-25.
3
Contribution to the study of germ-cells in the anura.对无尾目生殖细胞研究的贡献
黑腹果蝇生殖系的起源与建立
Genetics. 2025 Apr 17;229(4). doi: 10.1093/genetics/iyae217.
4
Formation of Drosophila germ cells requires spatial patterning of phospholipids.果蝇生殖细胞的形成需要磷脂的空间模式化。
Curr Biol. 2025 Apr 7;35(7):1612-1621.e3. doi: 10.1016/j.cub.2025.01.071. Epub 2025 Mar 5.
5
40 years since the Heidelberg genetic screen that revolutionized developmental and cell biology.海德堡遗传筛选 40 年:改变发育和细胞生物学的历程。
Development. 2024 Nov 1;151(21). doi: 10.1242/dev.204433. Epub 2024 Oct 21.
6
Diverse somatic Transformer and sex chromosome karyotype pathways regulate gene expression in Drosophila gonad development.多种体细胞转化途径和性染色体核型途径调节果蝇性腺发育中的基因表达。
bioRxiv. 2024 Aug 12:2024.08.12.607556. doi: 10.1101/2024.08.12.607556.
7
Caenorhabditis elegans germ granules accumulate hundreds of low translation mRNAs with no systematic preference for germ cell fate regulators.秀丽隐杆线虫的生殖细胞颗粒积累了数百种低翻译的 mRNA,这些 mRNA 没有系统地偏向生殖细胞命运调节因子。
Development. 2024 Jul 1;151(13). doi: 10.1242/dev.202575. Epub 2024 Jul 10.
8
Direct observation of translational activation by a ribonucleoprotein granule.核糖核蛋白颗粒介导的翻译激活的直接观察。
Nat Cell Biol. 2024 Aug;26(8):1322-1335. doi: 10.1038/s41556-024-01452-5. Epub 2024 Jul 4.
9
The Effect of Short- and Long-Term Cryopreservation on Chicken Primordial Germ Cells.短期和长期冷冻保存对鸡原始生殖细胞的影响。
Genes (Basel). 2024 May 14;15(5):624. doi: 10.3390/genes15050624.
10
Smaug regulates germ plasm assembly and primordial germ cell number in Drosophila embryos.斯毛格调节果蝇胚胎中的生殖质组装和原始生殖细胞数量。
Sci Adv. 2024 Apr 12;10(15):eadg7894. doi: 10.1126/sciadv.adg7894.
J Embryol Exp Morphol. 1958 Sep;6(3):491-503.
4
The role of a "germinal plasm" in the formation of primordial germ cells in Rana pipiens.“生殖质”在牛蛙原生殖细胞形成中的作用。
Dev Biol. 1966 Oct;14(2):330-47. doi: 10.1016/0012-1606(66)90019-4.
5
Experimental studies on the role of 'polar granules' in the segregation of pole cells in Drosophila melanogaster.关于“极颗粒”在黑腹果蝇极细胞分离中作用的实验研究。
J Embryol Exp Morphol. 1966 Dec;16(3):391-9.
6
Polar granules of Drosophila. II. Ultrastructural changes during early embryogenesis.果蝇的极颗粒。II. 早期胚胎发育过程中的超微结构变化。
J Exp Zool. 1968 Feb;167(2):237-61. doi: 10.1002/jez.1401670211.
7
Sterility and partial sterility in the South African clawed toad following the pricking of the egg.南非爪蟾卵被刺破后的不育与部分不育现象
J Embryol Exp Morphol. 1970 Apr;23(2):375-84.
8
Nuclear elongation and cytokinesis in Drosophila montana.蒙塔纳果蝇中的细胞核延长与胞质分裂。
Dev Biol. 1971 Dec;26(4):560-77. doi: 10.1016/0012-1606(71)90141-2.
9
Determination of blastoderm cells in Drosophila melanogaster.黑腹果蝇中胚盘细胞的测定
Proc Natl Acad Sci U S A. 1971 Sep;68(9):2217-21. doi: 10.1073/pnas.68.9.2217.
10
A study of fixation of early amphibian embryos for electron microscopy.早期两栖动物胚胎用于电子显微镜观察的固定研究。
J Ultrastruct Res. 1971 Sep;36(5):633-45. doi: 10.1016/s0022-5320(71)90020-7.