• 文献检索
  • 文档翻译
  • 深度研究
  • 学术资讯
  • Suppr Zotero 插件Zotero 插件
  • 邀请有礼
  • 套餐&价格
  • 历史记录
应用&插件
Suppr Zotero 插件Zotero 插件浏览器插件Mac 客户端Windows 客户端微信小程序
定价
高级版会员购买积分包购买API积分包
服务
文献检索文档翻译深度研究API 文档MCP 服务
关于我们
关于 Suppr公司介绍联系我们用户协议隐私条款
关注我们

Suppr 超能文献

核心技术专利:CN118964589B侵权必究
粤ICP备2023148730 号-1Suppr @ 2026

文献检索

告别复杂PubMed语法,用中文像聊天一样搜索,搜遍4000万医学文献。AI智能推荐,让科研检索更轻松。

立即免费搜索

文件翻译

保留排版,准确专业,支持PDF/Word/PPT等文件格式,支持 12+语言互译。

免费翻译文档

深度研究

AI帮你快速写综述,25分钟生成高质量综述,智能提取关键信息,辅助科研写作。

立即免费体验

妊娠第10天卵巢切除术对大鼠子宫和胎盘的影响。

The effects on the rat uterus and placenta of ovariectomy at day 10 of pregnancy.

作者信息

Bulmer D, Peel S

出版信息

J Anat. 1979 Jan;128(Pt 1):185-94.

PMID:422479
原文链接:https://pmc.ncbi.nlm.nih.gov/articles/PMC1232972/
Abstract

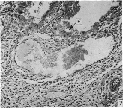
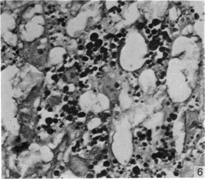
A study was made of the changes in morphology and in nuclear incorporation of tritiated thymidine in the rat uterus and placenta after ovariectomy at day 10 of gestation. There was some individual variation between different animals in the results of the ovariectomy, but in general the effects on both maternal and fetal tissues were more severe than those reported to follow ovariectomy at later stages of pregnancy. Even in the animals where there was extensive placental survival 2 or 3 days after the ovariectomy, normal differentiation of the placental labyrinth did not occur and the fetuses failed to survive. Ovariectomy had a pronounced effect on the proliferative activity of uterine epithelial cells. The high labelling index in the control animals up to day 12 was markedly reduced in the ovariectomized animals; after day 13, however, the labelling index of the controls was reduced to a level lower than that of the ovariectomized animals. Nuclear labelling occurred in the glandular epithelium from two days after ovariectomy, but was never present in the controls. There was a marked reduction in the percentage of labelled nuclei in the uterine muscle and in the metrial gland after ovariectomy. In the metrial gland this was associated with a reduction in the number of typical granulated cells and with the appearance of numerous small round cells. It is suggested that the latter represented metrial gland cell precursors which had undergone impairment of their normal differentiation process.

摘要

对妊娠第10天进行卵巢切除术后大鼠子宫和胎盘的形态变化以及氚标记胸腺嘧啶核苷的核掺入情况进行了研究。卵巢切除的结果在不同动物之间存在一些个体差异,但总体而言,对母体和胎儿组织的影响比报道的妊娠后期卵巢切除的影响更为严重。即使在卵巢切除术后2或3天仍有广泛胎盘存活的动物中,胎盘迷路也未发生正常分化,胎儿未能存活。卵巢切除对子宫上皮细胞的增殖活性有显著影响。直至第12天,对照动物中的高标记指数在卵巢切除的动物中显著降低;然而,在第13天之后,对照动物的标记指数降至低于卵巢切除动物的水平。卵巢切除术后两天,腺上皮中出现核标记,但对照中从未出现。卵巢切除术后,子宫肌层和蜕膜中标记核的百分比显著降低。在蜕膜中,这与典型颗粒细胞数量的减少以及大量小圆形细胞的出现有关。有人认为,后者代表了正常分化过程受损的蜕膜细胞前体。

https://cdn.ncbi.nlm.nih.gov/pmc/blobs/8951/1232972/0a03b24afb5c/janat00241-0188-f.jpg
https://cdn.ncbi.nlm.nih.gov/pmc/blobs/8951/1232972/90a6b80a96ec/janat00241-0186-a.jpg
https://cdn.ncbi.nlm.nih.gov/pmc/blobs/8951/1232972/10255ad58bf1/janat00241-0186-b.jpg
https://cdn.ncbi.nlm.nih.gov/pmc/blobs/8951/1232972/9acd36f0b8a5/janat00241-0186-c.jpg
https://cdn.ncbi.nlm.nih.gov/pmc/blobs/8951/1232972/a7f8f32ce465/janat00241-0186-d.jpg
https://cdn.ncbi.nlm.nih.gov/pmc/blobs/8951/1232972/e12cde7e25c8/janat00241-0188-a.jpg
https://cdn.ncbi.nlm.nih.gov/pmc/blobs/8951/1232972/f3a0f5326ac9/janat00241-0188-b.jpg
https://cdn.ncbi.nlm.nih.gov/pmc/blobs/8951/1232972/bb4f106a2609/janat00241-0188-c.jpg
https://cdn.ncbi.nlm.nih.gov/pmc/blobs/8951/1232972/a006f08e7f71/janat00241-0188-d.jpg
https://cdn.ncbi.nlm.nih.gov/pmc/blobs/8951/1232972/4a19b65dc5e6/janat00241-0188-e.jpg
https://cdn.ncbi.nlm.nih.gov/pmc/blobs/8951/1232972/0a03b24afb5c/janat00241-0188-f.jpg
https://cdn.ncbi.nlm.nih.gov/pmc/blobs/8951/1232972/90a6b80a96ec/janat00241-0186-a.jpg
https://cdn.ncbi.nlm.nih.gov/pmc/blobs/8951/1232972/10255ad58bf1/janat00241-0186-b.jpg
https://cdn.ncbi.nlm.nih.gov/pmc/blobs/8951/1232972/9acd36f0b8a5/janat00241-0186-c.jpg
https://cdn.ncbi.nlm.nih.gov/pmc/blobs/8951/1232972/a7f8f32ce465/janat00241-0186-d.jpg
https://cdn.ncbi.nlm.nih.gov/pmc/blobs/8951/1232972/e12cde7e25c8/janat00241-0188-a.jpg
https://cdn.ncbi.nlm.nih.gov/pmc/blobs/8951/1232972/f3a0f5326ac9/janat00241-0188-b.jpg
https://cdn.ncbi.nlm.nih.gov/pmc/blobs/8951/1232972/bb4f106a2609/janat00241-0188-c.jpg
https://cdn.ncbi.nlm.nih.gov/pmc/blobs/8951/1232972/a006f08e7f71/janat00241-0188-d.jpg
https://cdn.ncbi.nlm.nih.gov/pmc/blobs/8951/1232972/4a19b65dc5e6/janat00241-0188-e.jpg
https://cdn.ncbi.nlm.nih.gov/pmc/blobs/8951/1232972/0a03b24afb5c/janat00241-0188-f.jpg

相似文献

1
The effects on the rat uterus and placenta of ovariectomy at day 10 of pregnancy.妊娠第10天卵巢切除术对大鼠子宫和胎盘的影响。
J Anat. 1979 Jan;128(Pt 1):185-94.
2
The effects of late ovariectomy on the proliferation and differentiation of the uterus of the pregnant rat.晚期卵巢切除对妊娠大鼠子宫增殖和分化的影响。
J Anat. 1975 Jul;119(Pt 3):569-78.
3
Effects of exogenous progesterone following ovariectomy on the metrial glands of pregnant mice.卵巢切除术后外源性孕酮对妊娠小鼠子宫蜕膜的影响。
J Anat. 1986 Feb;144:189-99.
4
Postpartum uterine involution in sheep: histoarchitecture and changes in endometrial gene expression.绵羊产后子宫复旧:组织结构与子宫内膜基因表达变化
Reproduction. 2003 Feb;125(2):185-98.
5
Leucocyte surface antigens in metrial gland tissue of ovariectomized pregnant rats, deciduomata-bearing rats and in uterine tissue of non-pregnant rats.去卵巢妊娠大鼠、带蜕膜瘤大鼠的子宫腺组织以及未妊娠大鼠子宫组织中的白细胞表面抗原。
Immunology. 1986 Jun;58(2):297-301.
6
The uterine response in pregnant inbred and non-inbred rats.近交系和非近交系妊娠大鼠的子宫反应。
J Anat. 1991 Oct;178:101-13.
7
Granulated metrial gland cells in the uterine wall and placenta of the pregnant woodmouse, Apodemus sylvaticus.怀孕林姬鼠(Apodemus sylvaticus)子宫壁和胎盘中的颗粒状子宫蜕膜腺细胞。
J Anat. 1995 Apr;186 ( Pt 2)(Pt 2):411-5.
8
NTP technical report on the toxicity studies of Dibutyl Phthalate (CAS No. 84-74-2) Administered in Feed to F344/N Rats and B6C3F1 Mice.美国国家毒理学计划关于邻苯二甲酸二丁酯(化学物质登记号84 - 74 - 2)经饲料给予F344/N大鼠和B6C3F1小鼠的毒性研究技术报告。
Toxic Rep Ser. 1995 Apr;30:1-G5.
9
The effects of ovariectomy and subsequent progesterone replacement on the uterus of the pregnant mouse.卵巢切除术及随后的孕酮替代对妊娠小鼠子宫的影响。
J Anat. 1983 Dec;137 ( Pt 4)(Pt 4):695-703.
10
The persistence of placental remnants, beyond the normal period of gestation, in rats ovariectomised at day 12 of pregnancy.在妊娠第12天进行卵巢切除的大鼠中,胎盘残留物在超过正常妊娠期后仍持续存在。
J Anat. 1981 Jan;132(Pt 1):85-93.

引用本文的文献

1
The persistence of placental remnants, beyond the normal period of gestation, in rats ovariectomised at day 12 of pregnancy.在妊娠第12天进行卵巢切除的大鼠中,胎盘残留物在超过正常妊娠期后仍持续存在。
J Anat. 1981 Jan;132(Pt 1):85-93.
2
The effects of ovariectomy and subsequent progesterone replacement on the uterus of the pregnant mouse.卵巢切除术及随后的孕酮替代对妊娠小鼠子宫的影响。
J Anat. 1983 Dec;137 ( Pt 4)(Pt 4):695-703.
3
An investigation into the differentiation of granulated metrial gland cells in the early pregnant mouse uterus.

本文引用的文献

1
Morphogenesis of the syncytium in the mouse placenta. Ultrastructural study.小鼠胎盘合体滋养层的形态发生。超微结构研究。
Cell Tissue Res. 1974 Apr 30;148(3):381-96. doi: 10.1007/BF00224265.
2
Termination of early pregnancy in rats after ovariectomy is due to immediate collapse of the progesterone-dependent decidua.卵巢切除术后大鼠早期妊娠的终止是由于依赖孕酮的蜕膜立即崩溃。
J Reprod Fertil. 1973 Oct;35(1):183-6. doi: 10.1530/jrf.0.0350183.
3
An autoradiographic study of cellular proliferation in the uterus and placenta of the pregnant rat.
对早期妊娠小鼠子宫中颗粒状子宫蜕膜腺细胞分化的研究。
J Anat. 1983 Aug;137 (Pt 1)(Pt 1):85-93.
4
Effects of exogenous progesterone following ovariectomy on the metrial glands of pregnant mice.卵巢切除术后外源性孕酮对妊娠小鼠子宫蜕膜的影响。
J Anat. 1986 Feb;144:189-99.
5
Leucocyte surface antigens in metrial gland tissue of ovariectomized pregnant rats, deciduomata-bearing rats and in uterine tissue of non-pregnant rats.去卵巢妊娠大鼠、带蜕膜瘤大鼠的子宫腺组织以及未妊娠大鼠子宫组织中的白细胞表面抗原。
Immunology. 1986 Jun;58(2):297-301.
6
Changes in the metrial gland of the rat uterus following ovariectomy on day 10 of pregnancy.妊娠第10天切除卵巢后大鼠子宫蜕膜腺的变化。
Anat Embryol (Berl). 1979 May 3;156(1):103-14. doi: 10.1007/BF00315718.
妊娠大鼠子宫和胎盘细胞增殖的放射自显影研究。
J Anat. 1974 Apr;117(Pt 2):433-41.
4
Proceedings: Effects of ovariectomy on the uterus and placenta of the pregnant rat.
J Anat. 1974 Nov;118(Pt 2):355-6.
5
Proceedings: Proliferation and differentiation of trophoblast in the rat placenta.
J Anat. 1974 Nov;118(Pt 2):355.
6
The role of ovarian steroids in placental development and endovascular trophoblast migration in the golden hamster.卵巢类固醇在金黄仓鼠胎盘发育和血管内滋养层细胞迁移中的作用。
J Reprod Fertil. 1975 Jul;44(1):43-51. doi: 10.1530/jrf.0.0440043.
7
The effects of late ovariectomy on the proliferation and differentiation of the uterus of the pregnant rat.晚期卵巢切除对妊娠大鼠子宫增殖和分化的影响。
J Anat. 1975 Jul;119(Pt 3):569-78.
8
The fine structure of the rat metrial gland in relation to the origin of the granulated cells.大鼠蜕膜腺的精细结构与颗粒细胞的起源
J Anat. 1977 Jul;123(Pt 3):687-96.
9
Proliferation and differentiation of trophoblast in the establishment of the rat chorio-allantoic placenta.大鼠绒毛膜尿囊胎盘形成过程中滋养层细胞的增殖与分化
J Anat. 1977 Dec;124(Pt 3):675-87.
10
The demonstration of immunoglobulin in the metrial gland cells of the rat placenta.大鼠胎盘子宫腺细胞中免疫球蛋白的显示。
J Reprod Fertil. 1977 Jan;49(1):143-5. doi: 10.1530/jrf.0.0490143.