Suppr超能文献

大鼠蜕膜腺的精细结构与颗粒细胞的起源

The fine structure of the rat metrial gland in relation to the origin of the granulated cells.

作者信息

Peel S, Bulmer D

出版信息

J Anat. 1977 Jul;123(Pt 3):687-96.

Abstract

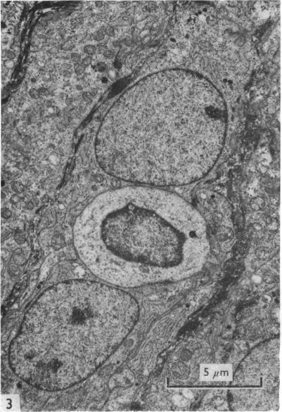
The fine structure of the metrial gland of the rat was examined at days 12, 14, 16, 18 and 20 of pregnancy and at all these stages two well differentiated cell types were seen. A relatively pale-staining cell which contained numerous dense granules was readily distinguished from a darkly stained fibroblast-like cell. Numerous cells could be identified, however, which did not fit either of these categories. On the basis of their morphological appearances these cells were placed in a series, with the members of the series showing a transition from a small cell with a high nuclear/cytoplasmic size ratio to a readily identifiable metrial gland cell containing a few typical granules. The small cell, apparently the precursor of the granulated metrial gland cell, was characterized by a markedly heterochromatic nucleus and few cytoplasmic organelles, although there were occasional mitochondria and Golgi bodies. On morphological grounds this cell appeared to be from the lymphocyte series and was probably a small lymphocyte.

摘要

在妊娠第12、14、16、18和20天对大鼠子宫内膜腺体的精细结构进行了检查,在所有这些阶段均可见到两种分化良好的细胞类型。一种相对浅色染色的细胞,含有许多致密颗粒,很容易与深色染色的成纤维细胞样细胞区分开来。然而,可以识别出许多不属于这两类的细胞。根据它们的形态外观,这些细胞被排成一系列,该系列的成员显示出从核/质大小比高的小细胞到含有一些典型颗粒的易于识别的子宫内膜腺细胞的转变。小细胞显然是颗粒状子宫内膜腺细胞的前体,其特征是细胞核明显异染色质化,细胞质细胞器很少,尽管偶尔有线粒体和高尔基体。从形态学角度来看,这种细胞似乎来自淋巴细胞系列,可能是小淋巴细胞。

https://cdn.ncbi.nlm.nih.gov/pmc/blobs/fe33/1234726/87c54f3b1ca7/janat00367-0134-a.jpg

文献检索

告别复杂PubMed语法,用中文像聊天一样搜索,搜遍4000万医学文献。AI智能推荐,让科研检索更轻松。

立即免费搜索

文件翻译

保留排版,准确专业,支持PDF/Word/PPT等文件格式,支持 12+语言互译。

免费翻译文档

深度研究

AI帮你快速写综述,25分钟生成高质量综述,智能提取关键信息,辅助科研写作。

立即免费体验