Weisbrode S E, Capen C C, Nagode L A
Am J Pathol. 1974 Jun;75(3):529-41.
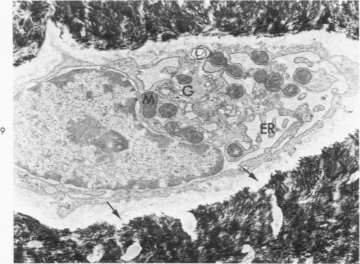
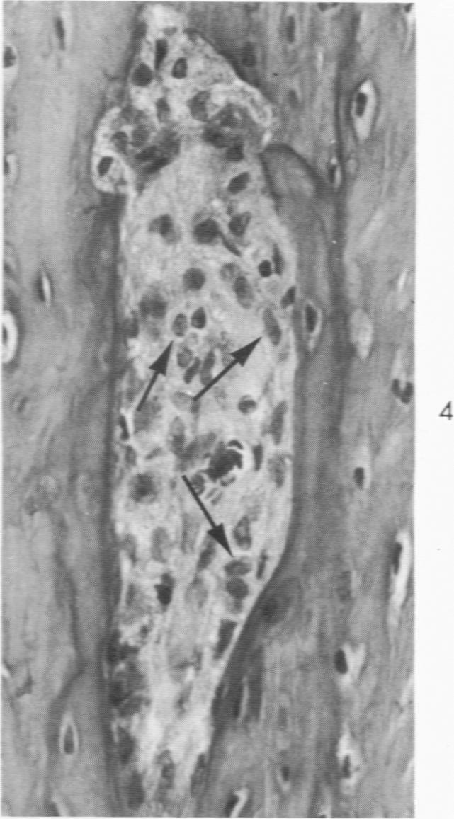
Osteoblasts and osteocytes in adult thyroparathyroidectomized (T(x)PT(x)) rats fed a low calcium vitamin D-free diet and given parathyroid (PTH) had ultrastructural evidence of increased activity compared to controls. Osteoblasts in PTH-treated rats had prominent rough endoplasmic reticulum and Golgi apparatuses and large mitochondria. The plasma membranes were extensively convoluted and associated with initial loci of mineralization in osteoid. Osteocytes contained increased rough endoplasmic reticulum, well-developed Golgi apparatuses and large mitochondria. Lacunar walls were roughened, but osteocytic osteolysis was not observed. Osteoclasts were encountered more frequently in PTH-treated rats, but their ultrastructural features were similar to those of controls. Osteoblasts and osteocytes in controls appeared to be inactive cells lining quiescent mineral surfaces. Parathyroid hormone treatment increased serum calcium levels and urinary hydroxyproline excretion, indicating enhanced resorption of bone mineral and matrix. Bone alkaline phosphatase and calcium-adenosine triphosphatase activities were elevated after PTH treatment and may be related to increased calcium transport by bone cells. These findings were interpreted to suggest that PTH mobilizes bone mineral by osteoclasis and increases metabolic activity of the osteocyte-osteoblast pump.
给成年甲状旁腺切除(T(x)PT(x))大鼠喂食低钙、无维生素D饮食并给予甲状旁腺激素(PTH),与对照组相比,其成骨细胞和骨细胞有超微结构证据表明活性增强。接受PTH治疗的大鼠的成骨细胞有明显的粗面内质网、高尔基体和大的线粒体。质膜广泛卷曲,并与类骨质矿化的起始位点相关。骨细胞含有增多的粗面内质网、发育良好的高尔基体和大的线粒体。腔壁变得粗糙,但未观察到骨细胞性骨溶解。在接受PTH治疗的大鼠中破骨细胞更常见,但其超微结构特征与对照组相似。对照组的成骨细胞和骨细胞似乎是排列在静止矿化表面的无活性细胞。甲状旁腺激素治疗可提高血清钙水平和尿羟脯氨酸排泄量,表明骨矿物质和基质的重吸收增强。PTH治疗后骨碱性磷酸酶和钙 - 三磷酸腺苷酶活性升高,可能与骨细胞钙转运增加有关。这些发现被解释为提示PTH通过破骨作用动员骨矿物质,并增加骨细胞 - 成骨细胞泵的代谢活性。