• 文献检索
  • 文档翻译
  • 深度研究
  • 学术资讯
  • Suppr Zotero 插件Zotero 插件
  • 邀请有礼
  • 套餐&价格
  • 历史记录
应用&插件
Suppr Zotero 插件Zotero 插件浏览器插件Mac 客户端Windows 客户端微信小程序
定价
高级版会员购买积分包购买API积分包
服务
文献检索文档翻译深度研究API 文档MCP 服务
关于我们
关于 Suppr公司介绍联系我们用户协议隐私条款
关注我们

Suppr 超能文献

核心技术专利:CN118964589B侵权必究
粤ICP备2023148730 号-1Suppr @ 2026

文献检索

告别复杂PubMed语法,用中文像聊天一样搜索,搜遍4000万医学文献。AI智能推荐,让科研检索更轻松。

立即免费搜索

文件翻译

保留排版,准确专业,支持PDF/Word/PPT等文件格式,支持 12+语言互译。

免费翻译文档

深度研究

AI帮你快速写综述,25分钟生成高质量综述,智能提取关键信息,辅助科研写作。

立即免费体验

携带小鼠肉瘤病毒基因组的仓鼠肿瘤细胞(HT-1细胞)的细胞化学、细胞遗传学及超微结构

Cytochemistry, cytogenetics and ultrastructure of hamster tumour cells carrying mouse sarcoma viral genome (HT-1 cells).

作者信息

Karpas A, Cawley J, Tuckerman E, Flemans R, Hayhoe F G

出版信息

Br J Cancer. 1971 Dec;25(4):779-88. doi: 10.1038/bjc.1971.92.

DOI:10.1038/bjc.1971.92
PMID:4335635
原文链接:https://pmc.ncbi.nlm.nih.gov/articles/PMC2008861/
Abstract

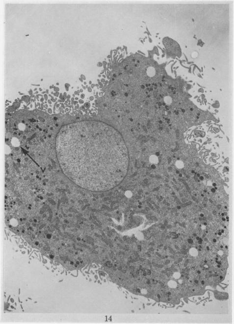
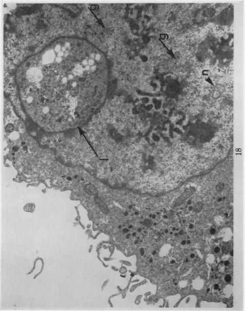
The pleomorphic cytology of the HT-1 cell line is described. Cytochemical studies indicated the presence of glycogen and lysosomes in these cells. Cytogenetic studies demonstrated the presence of a large telocentric chromosome (M1) and two minute chromosomes (M2) not found in normal hamster cells. A cloned line was isolated which did not contain these marker chromosomes. All cells were hyperdiploid with chromosome number around triploidy, although none was a true triploid. Ultrastructural studies revealed the presence of "nuclear bodies", "dense bodies" and "interchromatinic granules" which have been previously described in viral induced malignancies. A few of the cells contained in their cytoplasm structures of approximately 700 [unk] in diameter which bore some resemblance to immature virus particles. Both light and electron microscopy demonstrated some nuclei lacking chromatin aggregates. This is interpreted to mean that the total genetic material of these nuclei was dispersed as free DNA not linked with histone to form chromatin aggregates.

摘要

描述了HT - 1细胞系的多形性细胞学特征。细胞化学研究表明这些细胞中存在糖原和溶酶体。细胞遗传学研究证明存在一条正常仓鼠细胞中未发现的大型端着丝粒染色体(M1)和两条微小染色体(M2)。分离出了一个不含有这些标记染色体的克隆系。所有细胞均为超二倍体,染色体数约为三倍体,但没有一个是真正的三倍体。超微结构研究揭示了“核体”、“致密体”和“染色质间颗粒”的存在,这些在病毒诱导的恶性肿瘤中已有描述。一些细胞的细胞质中含有直径约700 [未知单位] 的结构,与未成熟病毒颗粒有一些相似之处。光学显微镜和电子显微镜均显示一些细胞核缺乏染色质聚集体。这被解释为意味着这些细胞核的全部遗传物质以游离DNA的形式分散,未与组蛋白连接形成染色质聚集体。

https://cdn.ncbi.nlm.nih.gov/pmc/blobs/50ce/2008861/37393063f551/brjcancer00361-0209-a.jpg
https://cdn.ncbi.nlm.nih.gov/pmc/blobs/50ce/2008861/1385557d8878/brjcancer00361-0203-a.jpg
https://cdn.ncbi.nlm.nih.gov/pmc/blobs/50ce/2008861/724c0c3007c1/brjcancer00361-0206-a.jpg
https://cdn.ncbi.nlm.nih.gov/pmc/blobs/50ce/2008861/fe36c6bfe52e/brjcancer00361-0210-a.jpg
https://cdn.ncbi.nlm.nih.gov/pmc/blobs/50ce/2008861/f05fac098353/brjcancer00361-0207-a.jpg
https://cdn.ncbi.nlm.nih.gov/pmc/blobs/50ce/2008861/d128bbb82357/brjcancer00361-0211-a.jpg
https://cdn.ncbi.nlm.nih.gov/pmc/blobs/50ce/2008861/2d5284a92274/brjcancer00361-0208-a.jpg
https://cdn.ncbi.nlm.nih.gov/pmc/blobs/50ce/2008861/d1eacfbb3563/brjcancer00361-0212-a.jpg
https://cdn.ncbi.nlm.nih.gov/pmc/blobs/50ce/2008861/d1c81cd3b508/brjcancer00361-0213-a.jpg
https://cdn.ncbi.nlm.nih.gov/pmc/blobs/50ce/2008861/1146f2915055/brjcancer00361-0199-a.jpg
https://cdn.ncbi.nlm.nih.gov/pmc/blobs/50ce/2008861/46ad7ff50f24/brjcancer00361-0200-a.jpg
https://cdn.ncbi.nlm.nih.gov/pmc/blobs/50ce/2008861/26eccd07bfdb/brjcancer00361-0201-a.jpg
https://cdn.ncbi.nlm.nih.gov/pmc/blobs/50ce/2008861/0b67ad241b55/brjcancer00361-0204-a.jpg
https://cdn.ncbi.nlm.nih.gov/pmc/blobs/50ce/2008861/895f3a512458/brjcancer00361-0202-a.jpg
https://cdn.ncbi.nlm.nih.gov/pmc/blobs/50ce/2008861/8c84e75502e7/brjcancer00361-0205-a.jpg
https://cdn.ncbi.nlm.nih.gov/pmc/blobs/50ce/2008861/37393063f551/brjcancer00361-0209-a.jpg
https://cdn.ncbi.nlm.nih.gov/pmc/blobs/50ce/2008861/1385557d8878/brjcancer00361-0203-a.jpg
https://cdn.ncbi.nlm.nih.gov/pmc/blobs/50ce/2008861/724c0c3007c1/brjcancer00361-0206-a.jpg
https://cdn.ncbi.nlm.nih.gov/pmc/blobs/50ce/2008861/fe36c6bfe52e/brjcancer00361-0210-a.jpg
https://cdn.ncbi.nlm.nih.gov/pmc/blobs/50ce/2008861/f05fac098353/brjcancer00361-0207-a.jpg
https://cdn.ncbi.nlm.nih.gov/pmc/blobs/50ce/2008861/d128bbb82357/brjcancer00361-0211-a.jpg
https://cdn.ncbi.nlm.nih.gov/pmc/blobs/50ce/2008861/2d5284a92274/brjcancer00361-0208-a.jpg
https://cdn.ncbi.nlm.nih.gov/pmc/blobs/50ce/2008861/d1eacfbb3563/brjcancer00361-0212-a.jpg
https://cdn.ncbi.nlm.nih.gov/pmc/blobs/50ce/2008861/d1c81cd3b508/brjcancer00361-0213-a.jpg
https://cdn.ncbi.nlm.nih.gov/pmc/blobs/50ce/2008861/1146f2915055/brjcancer00361-0199-a.jpg
https://cdn.ncbi.nlm.nih.gov/pmc/blobs/50ce/2008861/46ad7ff50f24/brjcancer00361-0200-a.jpg
https://cdn.ncbi.nlm.nih.gov/pmc/blobs/50ce/2008861/26eccd07bfdb/brjcancer00361-0201-a.jpg
https://cdn.ncbi.nlm.nih.gov/pmc/blobs/50ce/2008861/0b67ad241b55/brjcancer00361-0204-a.jpg
https://cdn.ncbi.nlm.nih.gov/pmc/blobs/50ce/2008861/895f3a512458/brjcancer00361-0202-a.jpg
https://cdn.ncbi.nlm.nih.gov/pmc/blobs/50ce/2008861/8c84e75502e7/brjcancer00361-0205-a.jpg
https://cdn.ncbi.nlm.nih.gov/pmc/blobs/50ce/2008861/37393063f551/brjcancer00361-0209-a.jpg

相似文献

1
Cytochemistry, cytogenetics and ultrastructure of hamster tumour cells carrying mouse sarcoma viral genome (HT-1 cells).携带小鼠肉瘤病毒基因组的仓鼠肿瘤细胞(HT-1细胞)的细胞化学、细胞遗传学及超微结构
Br J Cancer. 1971 Dec;25(4):779-88. doi: 10.1038/bjc.1971.92.
2
Ultrastructure and cytochemistry of metabolic DNA in Tipula.大蚊代谢性DNA的超微结构与细胞化学
J Cell Biol. 1966 Jul;30(1):177-92. doi: 10.1083/jcb.30.1.177.
3
Chromosomes involved in production of infectious SV40 particles in mouse/SV40-transformed Chinese hamster cell hybrids.参与小鼠/SV40转化的中国仓鼠细胞杂交体中感染性SV40颗粒产生的染色体。
Oncology. 1981;38(2):86-97. doi: 10.1159/000225529.
4
Cytological, cytogenetic and ultrastructural studies of rat cell lines carrying avian and murine sarcoma genomes.携带禽和鼠肉瘤基因组的大鼠细胞系的细胞学、细胞遗传学及超微结构研究。
Z Krebsforsch Klin Onkol Cancer Res Clin Oncol. 1972;78(1):51-64. doi: 10.1007/BF00284312.
5
Studies on nuclei using correlated cytochemical, light, and electron microscope techniques.运用相关细胞化学、光学显微镜和电子显微镜技术对细胞核进行的研究。
J Biophys Biochem Cytol. 1956 Jul 25;2(4 Suppl):397-406. doi: 10.1083/jcb.2.4.397.
6
Immunocytochemical localization of cytoskeletal proteins and histone 2B in isolated membrane-depleted nuclei, metaphase chromatin, and whole Chinese hamster ovary cells.细胞骨架蛋白和组蛋白2B在分离的无膜细胞核、中期染色质及中国仓鼠卵巢细胞全细胞中的免疫细胞化学定位。
J Histochem Cytochem. 1983 Dec;31(12):1385-93. doi: 10.1177/31.12.6355287.
7
Nucleotide sequences in mouse DNA and RNA specific for Moloney sarcoma virus.莫洛尼肉瘤病毒特异性的小鼠DNA和RNA中的核苷酸序列。
Proc Natl Acad Sci U S A. 1976 Oct;73(10):3705-9. doi: 10.1073/pnas.73.10.3705.
8
Flow cytogenetics of uncloned and cloned Chinese hamster cells.未克隆和克隆的中国仓鼠细胞的流式细胞遗传学
Cytogenet Cell Genet. 1980;27(1):52-6. doi: 10.1159/000131464.
9
Cytogenetic Characterization of the TM4 Mouse Sertoli Cell Line. II. Chromosome Microdissection, FISH, Scanning Electron Microscopy, and Confocal Laser Scanning Microscopy.TM4小鼠支持细胞系的细胞遗传学特征。II. 染色体显微切割、荧光原位杂交、扫描电子显微镜和共聚焦激光扫描显微镜
Cytogenet Genome Res. 2015;147(2-3):135-43. doi: 10.1159/000444157. Epub 2016 Feb 23.
10
Electron microscopy of HeLa cells infected with adenoviruses.感染腺病毒的海拉细胞的电子显微镜检查。
J Exp Med. 1956 Sep 1;104(3):443-54. doi: 10.1084/jem.104.3.443.

引用本文的文献

1
Cytological, cytogenetic and ultrastructural studies of rat cell lines carrying avian and murine sarcoma genomes.携带禽和鼠肉瘤基因组的大鼠细胞系的细胞学、细胞遗传学及超微结构研究。
Z Krebsforsch Klin Onkol Cancer Res Clin Oncol. 1972;78(1):51-64. doi: 10.1007/BF00284312.
2
DNA polymerase activity in rheumatoid synovial membranes.类风湿性滑膜中的DNA聚合酶活性。
Ann Rheum Dis. 1975 Jun;34(3):205-12. doi: 10.1136/ard.34.3.205.
3
Continuous culture of malignant haemic cells from human acute myelomonocytic leukaemia: cytological, cytochemical, cytogenetic and immunological studies.

本文引用的文献

1
An electron microscope study of intranuclear inclusions in mouse liver and hepatoma.小鼠肝脏和肝癌细胞核内包涵体的电子显微镜研究。
J Biophys Biochem Cytol. 1959 Dec;6(3):427-30. doi: 10.1083/jcb.6.3.427.
2
AN UNIDENTIFIED VIRUS WHICH CAUSES THE RAPID PRODUCTION OF TUMOURS IN MICE.一种能在小鼠体内迅速引发肿瘤的未识别病毒。
Nature. 1964 Dec 12;204:1104-5. doi: 10.1038/2041104b0.
3
Chromosomal aberrations induced by an animal virus.一种动物病毒诱导的染色体畸变。
人急性粒单核细胞白血病恶性血细胞的连续培养:细胞学、细胞化学、细胞遗传学及免疫学研究
Br J Cancer. 1978 Feb;37(2):308-15. doi: 10.1038/bjc.1978.40.
4
Null-cell properties of a lymphoid cell line from a child with acute lymphoblastic leukaemia.一名急性淋巴细胞白血病患儿的淋巴细胞系的裸细胞特性
Br J Cancer. 1977 Aug;36(2):177-86. doi: 10.1038/bjc.1977.175.
5
Cytology of rheumatoid synovial cells in culture. IV. Further investigations of cell lines cocultivated with rheumatoid synovial cells.培养的类风湿性滑膜细胞的细胞学研究。IV. 与类风湿性滑膜细胞共培养的细胞系的进一步研究。
Ann Rheum Dis. 1976 Aug;35(4):297-305. doi: 10.1136/ard.35.4.297.
6
Attempts to identify viruses in rheumatoid synovial cells.在类风湿性滑膜细胞中鉴定病毒的尝试。
Ann Rheum Dis. 1976 Apr;35(2):106-13. doi: 10.1136/ard.35.2.106.
Nature. 1961 Oct 14;192:145-7. doi: 10.1038/192145a0.
4
A histochemical procedure for localizing and evaluating leukocyte alkaline phosphatase activity in smears of blood and marrow.一种用于在血液和骨髓涂片中标定和评估白细胞碱性磷酸酶活性的组织化学方法。
Blood. 1955 Oct;10(10):1023-9.
5
Virus particles and viral antigens in chicken tissues free of infectious avian leukosis virus.不含传染性禽白血病病毒的鸡组织中的病毒粒子和病毒抗原。
Proc Natl Acad Sci U S A. 1967 Sep;58(3):808-17. doi: 10.1073/pnas.58.3.808.
6
Rescue of the defective genome of Moloney sarcoma virus from a noninfectious hamster tumor and the production of pseudotype sarcoma viruses with various murine leukemia viruses.从非感染性仓鼠肿瘤中拯救莫洛尼肉瘤病毒的缺陷基因组,并利用各种鼠白血病病毒生产假型肉瘤病毒。
Proc Natl Acad Sci U S A. 1966 Oct;56(4):1164-9. doi: 10.1073/pnas.56.4.1164.
7
Production of virus by mammalian cells tranformed by Rous sarcoma and murine sarcoma viruses.劳斯肉瘤病毒和鼠肉瘤病毒转化的哺乳动物细胞产生病毒。
J Virol. 1968 Mar;2(3):224-37. doi: 10.1128/JVI.2.3.224-237.1968.
8
Evidence for the in vitro transfer of defective Rous sarcoma virus genome from hamster tumor cells to chick cells.关于缺陷型劳斯肉瘤病毒基因组从仓鼠肿瘤细胞体外转移至鸡细胞的证据。
Proc Natl Acad Sci U S A. 1966 Jun;55(6):1435-42. doi: 10.1073/pnas.55.6.1435.