• 文献检索
  • 文档翻译
  • 深度研究
  • 学术资讯
  • Suppr Zotero 插件Zotero 插件
  • 邀请有礼
  • 套餐&价格
  • 历史记录
应用&插件
Suppr Zotero 插件Zotero 插件浏览器插件Mac 客户端Windows 客户端微信小程序
定价
高级版会员购买积分包购买API积分包
服务
文献检索文档翻译深度研究API 文档MCP 服务
关于我们
关于 Suppr公司介绍联系我们用户协议隐私条款
关注我们

Suppr 超能文献

核心技术专利:CN118964589B侵权必究
粤ICP备2023148730 号-1Suppr @ 2026

文献检索

告别复杂PubMed语法,用中文像聊天一样搜索,搜遍4000万医学文献。AI智能推荐,让科研检索更轻松。

立即免费搜索

文件翻译

保留排版,准确专业,支持PDF/Word/PPT等文件格式,支持 12+语言互译。

免费翻译文档

深度研究

AI帮你快速写综述,25分钟生成高质量综述,智能提取关键信息,辅助科研写作。

立即免费体验

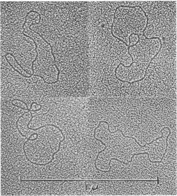
Enzymatic synthesis of DNA. 23. Synthesis of circular replicative form of phage phi-X174 DNA.

作者信息

Goulian M, Kornberg A

出版信息

Proc Natl Acad Sci U S A. 1967 Oct;58(4):1723-30. doi: 10.1073/pnas.58.4.1723.

DOI:10.1073/pnas.58.4.1723
PMID:4868446
原文链接:https://pmc.ncbi.nlm.nih.gov/articles/PMC223986/
Abstract
摘要
https://cdn.ncbi.nlm.nih.gov/pmc/blobs/89d0/223986/80f633bad284/pnas00150-0459-a.jpg
https://cdn.ncbi.nlm.nih.gov/pmc/blobs/89d0/223986/80f633bad284/pnas00150-0459-a.jpg
https://cdn.ncbi.nlm.nih.gov/pmc/blobs/89d0/223986/80f633bad284/pnas00150-0459-a.jpg

相似文献

1
Enzymatic synthesis of DNA. 23. Synthesis of circular replicative form of phage phi-X174 DNA.DNA的酶促合成。23. 噬菌体φ-X174 DNA环状复制形式的合成。
Proc Natl Acad Sci U S A. 1967 Oct;58(4):1723-30. doi: 10.1073/pnas.58.4.1723.
2
DNA synthesis in nucleotide-permeable Escherichia coli cells. II. Synthesis of replicative from DNA of phage phi X174.核苷酸可通透的大肠杆菌细胞中的DNA合成。II. 噬菌体φX174 DNA复制型的合成
J Mol Biol. 1971 Jun 28;58(3):755-73. doi: 10.1016/0022-2836(71)90038-6.
3
Enzymatic synthesis of DNA, XXIV. Synthesis of infectious phage phi-X174 DNA.DNA的酶促合成,XXIV. 传染性噬菌体φ-X174 DNA的合成
Proc Natl Acad Sci U S A. 1967 Dec;58(6):2321-8. doi: 10.1073/pnas.58.6.2321.
4
Discontinuous synthesis of DNA during replication.复制过程中DNA的不连续合成。
Proc Natl Acad Sci U S A. 1968 Nov;61(3):1129-36. doi: 10.1073/pnas.61.3.1129.
5
"Distinguishable steps in the enzymatic synthesis of bacteriophage phiX174 replicative form in vitro".体外酶促合成噬菌体phiX174复制型的可区分步骤
Biochem Biophys Res Commun. 1976 May 17;70(2):506-12. doi: 10.1016/0006-291x(76)91075-5.
6
The mechanism of replication of phi X174 single-stranded DNA. 3. An enzymic study of the structure of the replicative form II DNA.φX174单链DNA的复制机制。3. 复制型II DNA结构的酶学研究。
J Mol Biol. 1971 Apr 28;57(2):177-99. doi: 10.1016/0022-2836(71)90340-8.
7
Initiation of deoxyribonucleic acid synthesis. IV. Incorporation of the ribonucleic acid primer into the phage replicative form.脱氧核糖核酸合成的起始。IV. 核糖核酸引物掺入噬菌体复制型。
J Biol Chem. 1973 Feb 25;248(4):1361-4.
8
Replication of Phi-X174 DNA by Escherichia coli polA- in vitro (Phi-X174 DNA-DNA replication-E. coli polA-).大肠杆菌polA-在体外对Phi-X174 DNA的复制(Phi-X174 DNA-DNA复制-大肠杆菌polA-)
Proc Natl Acad Sci U S A. 1972 Jan;69(1):25-9. doi: 10.1073/pnas.69.1.25.
9
Enzymatic breakage and joining of deoxyribonucleic acid. IV. DNA synthesis in E. coli infected with ligase-negative mutants of phage T4.脱氧核糖核酸的酶促断裂与连接。IV. 感染噬菌体T4连接酶阴性突变体的大肠杆菌中的DNA合成。
Proc Natl Acad Sci U S A. 1968 Dec;61(4):1328-35. doi: 10.1073/pnas.61.4.1328.
10
Host cell membrane-associated phage phi X174 DNA replication. I. Isolation and partial characterization of phi X DNA-containing complexes released from the membrane.宿主细胞膜相关噬菌体φX174 DNA复制。I. 从膜中释放的含φX DNA复合物的分离及部分特性鉴定。
Virology. 1971 Aug;45(2):339-55. doi: 10.1016/0042-6822(71)90335-7.

引用本文的文献

1
Translesion DNA synthesis in the context of cancer research.在癌症研究背景下的跨损伤 DNA 合成。
Cancer Cell Int. 2011 Nov 2;11:39. doi: 10.1186/1475-2867-11-39.
2
Genetic Expression in Heterozygous Replicative Form Molecules of phiX174.φX174杂合复制型分子中的基因表达
J Virol. 1971 May;7(5):603-11. doi: 10.1128/JVI.7.5.603-611.1971.
3
Circular DNA: double helix or Möbius strip?环状DNA:双螺旋还是莫比乌斯带?

本文引用的文献

1
ENZYMATIC SYNTHESIS OF DEOXYRIBONUCLEIC ACID. III. THE INCORPORATION OF PYRIMIDINE AND PURINE ANALOGUES INTO DEOXYRIBONUCLEIC ACID.脱氧核糖核酸的酶促合成。III. 嘧啶和嘌呤类似物掺入脱氧核糖核酸的研究
Proc Natl Acad Sci U S A. 1958 Jul 15;44(7):633-40. doi: 10.1073/pnas.44.7.633.
2
SEDIMENTATION STUDIES OF THE SIZE AND SHAPE OF DNA.DNA大小与形状的沉降研究
J Mol Biol. 1965 Feb;11:373-90. doi: 10.1016/s0022-2836(65)80064-x.
3
ENZYMIC SYNTHESIS OF DEOXYRIBONUCLEIC ACID. XX. ELECTRON MICROSCOPY OF PRODUCTS PRIMED BY NATIVE TEMPLATES.
Naturwissenschaften. 1970 May;57(5):245-6. doi: 10.1007/BF01010273.
4
The rolling circle for phi X DNA replication. 3. Synthesis of supercoiled duplex rings.φX DNA复制的滚环。3. 超螺旋双链环的合成。
Proc Natl Acad Sci U S A. 1970 Sep;67(1):456-63. doi: 10.1073/pnas.67.1.456.
5
Filamentous bacterial viruses.丝状细菌病毒。
Bacteriol Rev. 1969 Jun;33(2):172-209. doi: 10.1128/br.33.2.172-209.1969.
6
Mechanism of DNA chain growth. I. Possible discontinuity and unusual secondary structure of newly synthesized chains.DNA链生长的机制。I. 新合成链可能的不连续性和异常二级结构。
Proc Natl Acad Sci U S A. 1968 Feb;59(2):598-605. doi: 10.1073/pnas.59.2.598.
7
A possible role for RNA polymerase in the initiation of M13 DNA synthesis.RNA聚合酶在M13 DNA合成起始过程中的可能作用。
Proc Natl Acad Sci U S A. 1971 Nov;68(11):2826-9. doi: 10.1073/pnas.68.11.2826.
8
Nature of the complementary strands synthesized in vitro upon the single-stranded circular DNA of bacteriophage phiX174 after ultraviolet irradiation.噬菌体phiX174单链环状DNA经紫外线照射后在体外合成的互补链的性质。
Biophys J. 1971 Apr;11(4):355-69. doi: 10.1016/s0006-3495(71)86220-3.
9
Host cell participation in small virus replication. I. Replication of M-13 in a strain of Escherichia coli with a temperature-sensitive lesion in deoxyribonucleic acid synthesis.宿主细胞参与小型病毒复制。I. M-13在一株脱氧核糖核酸合成存在温度敏感损伤的大肠杆菌中的复制。
J Virol. 1968 Nov;2(11):1308-14. doi: 10.1128/JVI.2.11.1308-1314.1968.
10
A minute circular DNA from Escherichia coli 15.来自大肠杆菌15的微小环状DNA。
Proc Natl Acad Sci U S A. 1968 Jul;60(3):992-9. doi: 10.1073/pnas.60.3.992.
脱氧核糖核酸的酶促合成。XX。天然模板引发产物的电子显微镜观察
J Mol Biol. 1965 Feb;11:285-92. doi: 10.1016/s0022-2836(65)80058-4.
4
ENZYMIC SYNTHESIS OF DEOXYRIBONUCLEIC ACID. XVII. SOME UNUSUAL PHYSICAL PROPERTIES OF THE PRODUCT PRIMED BY NATIVE DNA TEMPLATES.脱氧核糖核酸的酶促合成。十七。由天然DNA模板引发的产物的一些异常物理性质。
J Mol Biol. 1964 Jul;9:24-45. doi: 10.1016/s0022-2836(64)80089-9.
5
ELECTRON MICROSCOPY OF THE REPLICATIVE FORM OF THE DNA OF THE BACTERIOPHAGE PHI-X174.噬菌体φ-X174 DNA复制形式的电子显微镜观察
Science. 1963 Nov 15;142(3594):961. doi: 10.1126/science.142.3594.961.
6
[Preparation and length measurements of the total desoxyribonucleic acid content of T2 bacteriophages].[T2噬菌体总脱氧核糖核酸含量的制备及长度测量]
Biochim Biophys Acta. 1962 Dec 31;61:857-64.
7
The structure of the DNA of bacteriophage phi-X174. III. Ultracentrifugal evidence for a ring structure.噬菌体φ-X174的DNA结构。III. 环状结构的超速离心证据
J Mol Biol. 1962 Oct;5:424-34. doi: 10.1016/s0022-2836(62)80031-x.
8
Polynucleotide cellulose as a substrate for a polynucleotide ligase induced by phage T4.多核苷酸纤维素作为噬菌体T4诱导的多核苷酸连接酶的底物。
Biochem Biophys Res Commun. 1967 Aug 23;28(4):578-86. doi: 10.1016/0006-291x(67)90353-1.
9
Some factors affecting electron microscopic length of deoxyribonucleic acid.一些影响脱氧核糖核酸电子显微镜长度的因素。
J Mol Biol. 1967 Apr 28;25(2):209-16. doi: 10.1016/0022-2836(67)90138-6.
10
Allomorphic forms of bacteriophage phiX-174 replicative DNA.噬菌体φX - 174复制性DNA的同形异构体形式。
Science. 1966 Nov 4;154(3749):658-60. doi: 10.1126/science.154.3749.658.