• 文献检索
  • 文档翻译
  • 深度研究
  • 学术资讯
  • Suppr Zotero 插件Zotero 插件
  • 邀请有礼
  • 套餐&价格
  • 历史记录
应用&插件
Suppr Zotero 插件Zotero 插件浏览器插件Mac 客户端Windows 客户端微信小程序
定价
高级版会员购买积分包购买API积分包
服务
文献检索文档翻译深度研究API 文档MCP 服务
关于我们
关于 Suppr公司介绍联系我们用户协议隐私条款
关注我们

Suppr 超能文献

核心技术专利:CN118964589B侵权必究
粤ICP备2023148730 号-1Suppr @ 2026

文献检索

告别复杂PubMed语法,用中文像聊天一样搜索,搜遍4000万医学文献。AI智能推荐,让科研检索更轻松。

立即免费搜索

文件翻译

保留排版,准确专业,支持PDF/Word/PPT等文件格式,支持 12+语言互译。

免费翻译文档

深度研究

AI帮你快速写综述,25分钟生成高质量综述,智能提取关键信息,辅助科研写作。

立即免费体验

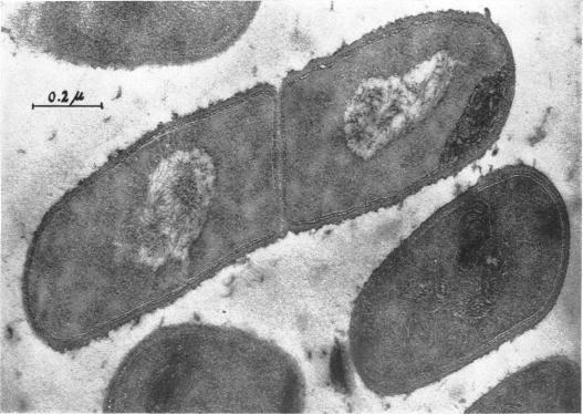
从兔生殖器分离出的β-溶血性革兰氏阴性嗜血性杆菌。

Beta-hemolytic gram-negative hemophilic bacillus isolated from the genitalia of rabbits.

作者信息

Muraschi T F, Miller J K, Tompkins V N, Bolles D M

出版信息

J Bacteriol. 1966 Jan;91(1):356-66. doi: 10.1128/jb.91.1.356-366.1966.

DOI:10.1128/jb.91.1.356-366.1966
PMID:4955251
原文链接:https://pmc.ncbi.nlm.nih.gov/articles/PMC315955/
Abstract

Muraschi, Thelma F. (Division of Laboratories and Research, New York State Department of Health, Albany), John K. Miller, Victor N. Tompkins, and Dorothy M. Bolles. beta-Hemolytic gram-negative hemophilic bacillus isolated from the genitalia of rabbits. J. Bacteriol. 91:356-366. 1966.-An unidentified beta-hemolytic gram-negative hemophilic bacillus was encountered during experiments for recovery of Listeria monocytogenes from rabbits after vaginal instillation. Cultural, morphological, biochemical, and serological properties of the isolate were studied, and comparisons were made with members of the genus Haemophilus and L. monocytogenes. Identity of the microorganism was not established.

摘要

穆拉施基,塞尔玛·F.(纽约州卫生部实验室与研究司,奥尔巴尼),约翰·K. 米勒,维克多·N. 汤普金斯,以及多萝西·M. 博尔斯。从兔生殖器分离出的β溶血性革兰氏阴性嗜血性杆菌。《细菌学杂志》91:356 - 366。1966年。——在经阴道接种后从兔体内回收单核细胞增生李斯特菌的实验过程中,发现了一种未鉴定的β溶血性革兰氏阴性嗜血性杆菌。对该分离株的培养、形态、生化和血清学特性进行了研究,并与嗜血杆菌属成员和单核细胞增生李斯特菌进行了比较。未确定该微生物的身份。

https://cdn.ncbi.nlm.nih.gov/pmc/blobs/8578/315955/8fc9ffc2eec1/jbacter00419-0401-a.jpg
https://cdn.ncbi.nlm.nih.gov/pmc/blobs/8578/315955/c68d0af85ebb/jbacter00419-0395-a.jpg
https://cdn.ncbi.nlm.nih.gov/pmc/blobs/8578/315955/f272aa63370d/jbacter00419-0396-a.jpg
https://cdn.ncbi.nlm.nih.gov/pmc/blobs/8578/315955/4b8bfb568b2a/jbacter00419-0399-a.jpg
https://cdn.ncbi.nlm.nih.gov/pmc/blobs/8578/315955/793962fd079c/jbacter00419-0400-a.jpg
https://cdn.ncbi.nlm.nih.gov/pmc/blobs/8578/315955/8fc9ffc2eec1/jbacter00419-0401-a.jpg
https://cdn.ncbi.nlm.nih.gov/pmc/blobs/8578/315955/c68d0af85ebb/jbacter00419-0395-a.jpg
https://cdn.ncbi.nlm.nih.gov/pmc/blobs/8578/315955/f272aa63370d/jbacter00419-0396-a.jpg
https://cdn.ncbi.nlm.nih.gov/pmc/blobs/8578/315955/4b8bfb568b2a/jbacter00419-0399-a.jpg
https://cdn.ncbi.nlm.nih.gov/pmc/blobs/8578/315955/793962fd079c/jbacter00419-0400-a.jpg
https://cdn.ncbi.nlm.nih.gov/pmc/blobs/8578/315955/8fc9ffc2eec1/jbacter00419-0401-a.jpg

相似文献

1
Beta-hemolytic gram-negative hemophilic bacillus isolated from the genitalia of rabbits.从兔生殖器分离出的β-溶血性革兰氏阴性嗜血性杆菌。
J Bacteriol. 1966 Jan;91(1):356-66. doi: 10.1128/jb.91.1.356-366.1966.
2
Hemolytic properties of exosubstance of serovar 5 Listeria monocytogenes compared with beta toxin of Staphylococcus aureus.与金黄色葡萄球菌β毒素相比,血清型5单核细胞增生李斯特菌外物质的溶血特性
Zentralbl Bakteriol Mikrobiol Hyg A Med Mikrobiol Infekt Parasitol. 1982 May;252(1):17-25.
3
Hemolytic activity reevaluation of putative nonpathogenic Listeria monocytogenes strains.假定非致病性单核细胞增生李斯特菌菌株的溶血活性重新评估
Appl Environ Microbiol. 1996 Nov;62(11):4293-5. doi: 10.1128/aem.62.11.4293-4295.1996.
4
Hemolytic phenomenons under the cultivation of Listeria innocua.
Zentralbl Bakteriol Mikrobiol Hyg A Med Mikrobiol Infekt Parasitol. 1983 Feb;253(4):559-65.
5
[The role of the hemophilic vaginal bacillus in infection of female genitalia].[嗜血性阴道杆菌在女性生殖器感染中的作用]
Akush Ginekol (Mosk). 1971 Nov;47(11):33-5.
6
FINE STRUCTURE OF LISTERIA MONOCYTOGENES.单核细胞增生李斯特菌的精细结构
J Bacteriol. 1963 Sep;86(3):414-28. doi: 10.1128/jb.86.3.414-428.1963.
7
Identification and enumeration of beta-hemolytic Listeria monocytogenes in naturally contaminated dairy products.
J Assoc Off Anal Chem. 1988 May-Jun;71(3):673-5.
8
Conjugative mobilization of the rolling-circle plasmid pIP823 from Listeria monocytogenes BM4293 among gram-positive and gram-negative bacteria.来自单核细胞增生李斯特菌BM4293的滚环质粒pIP823在革兰氏阳性菌和革兰氏阴性菌之间的接合转移。
J Bacteriol. 1999 Jun;181(11):3368-74. doi: 10.1128/JB.181.11.3368-3374.1999.
9
A comparative study of unpassaged and animal passaged cultures of Listeria monocytogenes in rabbits.兔体内单核细胞增生李斯特菌未传代培养物与动物传代培养物的比较研究。
Ann Acad Med Singap. 1996 Jan;25(1):139-42.
10
[Hemolytic effect of Listeria innocua on sheep erythrocytes].无害李斯特菌对绵羊红细胞的溶血作用
Zentralbl Bakteriol Mikrobiol Hyg A. 1984 Aug;257(3):296-307.

本文引用的文献

1
Bacillus hemoglobinophilus canis (Friedberger): Hemophilus canis Emend.犬血红蛋白ophilus杆菌(弗里德伯格):犬嗜血杆菌,修订
J Bacteriol. 1922 Nov;7(6):579-81. doi: 10.1128/jb.7.6.579-581.1922.
2
Haemophilus vaginalis vaginitis: a newly defined specific infection previously classified non-specific vaginitis.阴道嗜血杆菌性阴道炎:一种先前归类为非特异性阴道炎的新定义的特定感染。
Am J Obstet Gynecol. 1955 May;69(5):962-76.
3
FINE STRUCTURE OF LISTERIA MONOCYTOGENES.单核细胞增生李斯特菌的精细结构
J Bacteriol. 1963 Sep;86(3):414-28. doi: 10.1128/jb.86.3.414-428.1963.
4
Precise standardization of reagents for complement fixation.补体结合反应试剂的精确标准化
Am J Trop Med Hyg. 1963 Jan;12:103-16. doi: 10.4269/ajtmh.1963.12.103.
5
The biochemical, serological and haemagglutinating reactions of "Haemophilus vaginalis".“阴道嗜血杆菌”的生化、血清学及血凝反应
J Pathol Bacteriol. 1962 Apr;83:411-22. doi: 10.1002/path.1700830211.
6
Endotoxic and antigenic fractions from the cell wall of Salmonella enteritidis; methods for separation and some biologic activities.肠炎沙门氏菌细胞壁的内毒素和抗原成分;分离方法及一些生物学活性
J Immunol. 1959 Jan;82(1):75-84.