Suppr超能文献

从新西兰白兔肾细胞培养物中分离和鉴定一种类疱疹病毒:可能再次分离出里弗斯病毒3型

Isolation and characterization of a herpes-like virus from New Zealand albino rabbit kidney cell cultures: a probable reisolation of virus 3 of Rivers.

作者信息

Nesburn A B

出版信息

J Virol. 1969 Jan;3(1):59-69. doi: 10.1128/JVI.3.1.59-69.1969.

Abstract

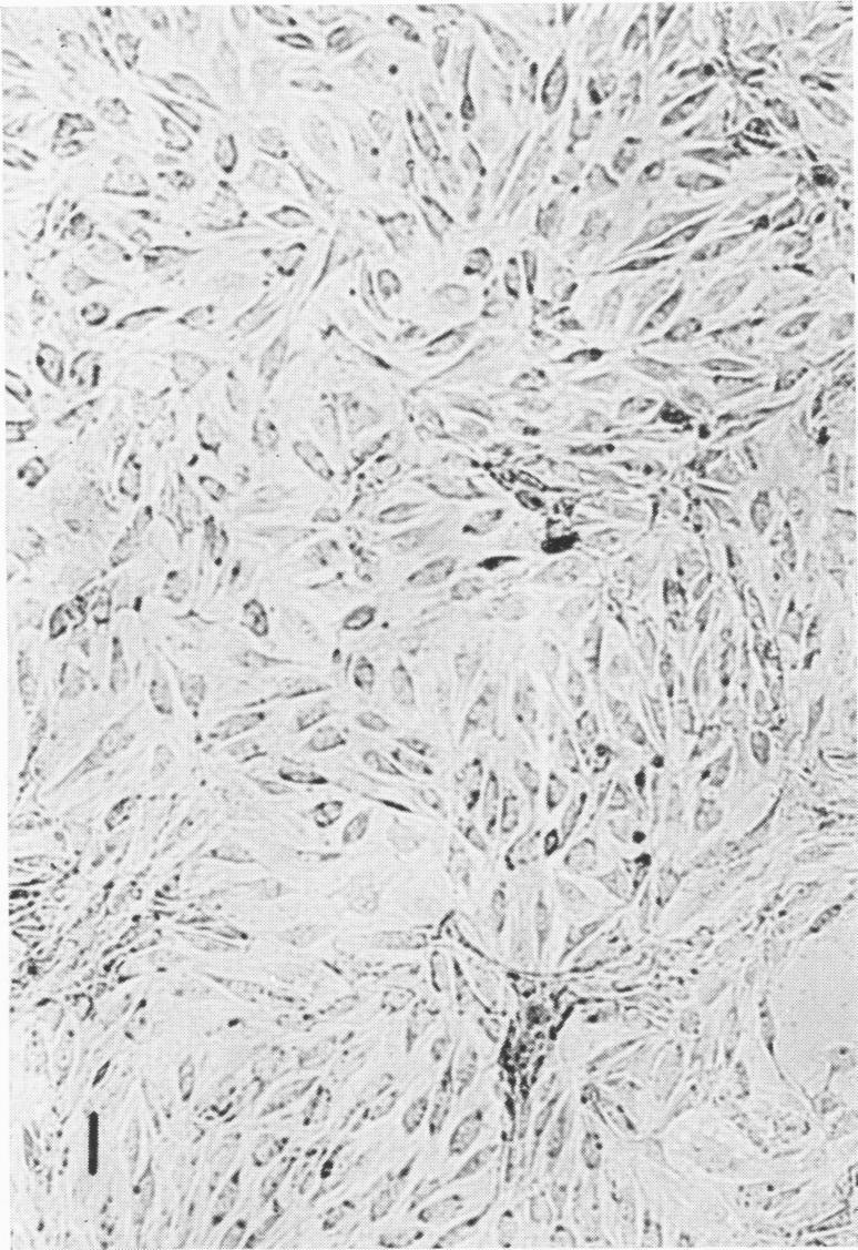
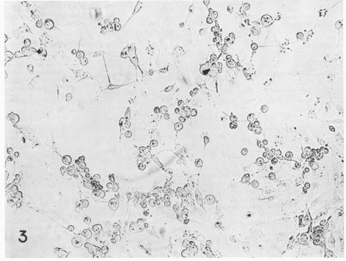
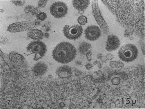
An agent which possesses the physical, chemical, cytopathic, histological, and electron microscopic attributes of a herpes group virus was isolated from an uninoculated batch of primary rabbit kidney cell cultures. Preliminary evidence indicates that antibodies against the agent are found in some sera of other "normal" New Zealand albino rabbits. In cell cultures, the virus grew best and almost exclusively in cells of rabbit origin. On the basis of these facts, the name herpesvirus cuniculi (HC) is suggested for the isolate. A batch of anti-herpesvirus bovis antiserum prepared in rabbits was found to be "contaminated" with unsuspected neutralizing antibodies against HC. Caution is mandatory when using rabbits, rabbit tissues, or rabbit sera for work with any herpes group virus unless precautions are taken to rule out unsuspected infection with or antibodies against HC. This agent may well represent a reisolation of virus III, a rabbit herpes virus, described by Rivers in 1923; the isolation of this virus has not been reported since 1940. It is important to reemphasize the existence of this agent in an animal which is commonly used for laboratory investigation of herpes group viruses.

摘要

从一批未接种的原代兔肾细胞培养物中分离出一种具有疱疹病毒群病毒的物理、化学、细胞病变、组织学和电子显微镜特征的病原体。初步证据表明,在其他“正常”新西兰白兔的一些血清中发现了针对该病原体的抗体。在细胞培养中,该病毒生长良好,几乎只在兔源细胞中生长。基于这些事实,建议将该分离株命名为兔疱疹病毒(HC)。发现一批在兔体内制备的抗牛疱疹病毒抗血清“污染”了针对HC的意外中和抗体。在使用兔、兔组织或兔血清进行任何疱疹病毒群病毒的研究时,必须谨慎,除非采取预防措施排除意外感染HC或针对HC的抗体。这种病原体很可能是1923年里弗斯描述的病毒III(一种兔疱疹病毒)的重新分离;自1940年以来尚未报道过这种病毒的分离情况。再次强调这种病原体在一种常用于疱疹病毒群病毒实验室研究的动物中的存在很重要。

https://cdn.ncbi.nlm.nih.gov/pmc/blobs/bd68/375730/a189341cfc78/jvirol00301-0069-a.jpg

文献检索

告别复杂PubMed语法,用中文像聊天一样搜索,搜遍4000万医学文献。AI智能推荐,让科研检索更轻松。

立即免费搜索

文件翻译

保留排版,准确专业,支持PDF/Word/PPT等文件格式,支持 12+语言互译。

免费翻译文档

深度研究

AI帮你快速写综述,25分钟生成高质量综述,智能提取关键信息,辅助科研写作。

立即免费体验