• 文献检索
  • 文档翻译
  • 深度研究
  • 学术资讯
  • Suppr Zotero 插件Zotero 插件
  • 邀请有礼
  • 套餐&价格
  • 历史记录
应用&插件
Suppr Zotero 插件Zotero 插件浏览器插件Mac 客户端Windows 客户端微信小程序
定价
高级版会员购买积分包购买API积分包
服务
文献检索文档翻译深度研究API 文档MCP 服务
关于我们
关于 Suppr公司介绍联系我们用户协议隐私条款
关注我们

Suppr 超能文献

核心技术专利:CN118964589B侵权必究
粤ICP备2023148730 号-1Suppr @ 2026

文献检索

告别复杂PubMed语法,用中文像聊天一样搜索,搜遍4000万医学文献。AI智能推荐,让科研检索更轻松。

立即免费搜索

文件翻译

保留排版,准确专业,支持PDF/Word/PPT等文件格式,支持 12+语言互译。

免费翻译文档

深度研究

AI帮你快速写综述,25分钟生成高质量综述,智能提取关键信息,辅助科研写作。

立即免费体验

Occurrence of epithelial atypia in 51 Indian villagers with oral submucous fibrosis.

作者信息

Pindborg J J, Mehta F S, Daftary D K

出版信息

Br J Cancer. 1970 Jun;24(2):253-7. doi: 10.1038/bjc.1970.28.

DOI:10.1038/bjc.1970.28
PMID:5451568
原文链接:https://pmc.ncbi.nlm.nih.gov/articles/PMC2008591/
Abstract

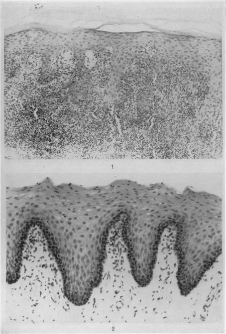
Fifty-three biopsies from the oral mucosa in 51 Indian villagers with oral submucous fibrosis have been studied for epithelial changes. A marked atrophy of the epithelium was found in 71.7%; the atrophic epithelium showed no rete ridges. The normally unkeratinized buccal mucosa revealed either ortho- or parakeratosis or hyperortho- or hyperparakeratosis in 48.0%. In one patient the histologic examination disclosed a squamous cell carcinoma. In 22.6% an epithelial atypia was found. The histologic features in these atypias are compared with those seen in leukoplakias from the same survey. The possible precancerous nature of submucous fibrosis is discussed.

摘要
https://cdn.ncbi.nlm.nih.gov/pmc/blobs/9255/2008591/7c8da860659d/brjcancer00467-0070-a.jpg
https://cdn.ncbi.nlm.nih.gov/pmc/blobs/9255/2008591/3c05a12d91cf/brjcancer00467-0071-a.jpg
https://cdn.ncbi.nlm.nih.gov/pmc/blobs/9255/2008591/c972e8251851/brjcancer00467-0072-a.jpg
https://cdn.ncbi.nlm.nih.gov/pmc/blobs/9255/2008591/fb4783e1fccc/brjcancer00467-0069-a.jpg
https://cdn.ncbi.nlm.nih.gov/pmc/blobs/9255/2008591/b251d329408e/brjcancer00467-0073-a.jpg
https://cdn.ncbi.nlm.nih.gov/pmc/blobs/9255/2008591/7c8da860659d/brjcancer00467-0070-a.jpg
https://cdn.ncbi.nlm.nih.gov/pmc/blobs/9255/2008591/3c05a12d91cf/brjcancer00467-0071-a.jpg
https://cdn.ncbi.nlm.nih.gov/pmc/blobs/9255/2008591/c972e8251851/brjcancer00467-0072-a.jpg
https://cdn.ncbi.nlm.nih.gov/pmc/blobs/9255/2008591/fb4783e1fccc/brjcancer00467-0069-a.jpg
https://cdn.ncbi.nlm.nih.gov/pmc/blobs/9255/2008591/b251d329408e/brjcancer00467-0073-a.jpg
https://cdn.ncbi.nlm.nih.gov/pmc/blobs/9255/2008591/7c8da860659d/brjcancer00467-0070-a.jpg

相似文献

1
Occurrence of epithelial atypia in 51 Indian villagers with oral submucous fibrosis.
Br J Cancer. 1970 Jun;24(2):253-7. doi: 10.1038/bjc.1970.28.
2
Studies on oral submucous fibrosis. III. Epithelial changes.
Oral Surg Oral Med Oral Pathol. 1976 Feb;41(2):203-14. doi: 10.1016/0030-4220(76)90232-2.
3
Oral submucous fibrosis as a precancerous condition.口腔黏膜下纤维化作为一种癌前病变。
Scand J Dent Res. 1984 Jun;92(3):224-9. doi: 10.1111/j.1600-0722.1984.tb00883.x.
4
Oral submucous fibrosis in a Greek female.
Br J Oral Surg. 1981 Sep;19(3):197-201. doi: 10.1016/0007-117x(81)90004-4.
5
Submucous fibrosis in non-betel nut chewing subjects.非嚼槟榔人群中的黏膜下纤维化
J Biol Buccale. 1988 Mar;16(1):3-6.
6
[Histopathological study of oral submucous fibrosis].[口腔黏膜下纤维化的组织病理学研究]
Zhonghua Kou Qiang Yi Xue Za Zhi. 1988 Jan;23(1):11-3, 62.
7
Oral submucous fibrosis. A review with case reports.口腔黏膜下纤维化。附病例报告的综述。
J Can Dent Assoc. 1987 May;53(5):389-93.
8
Oral submucous fibrosis: two cases of malignant transformation in Asian immigrants to the United Kingdom.口腔黏膜下纤维化:两名移民至英国的亚洲人发生恶变的病例
Br J Oral Maxillofac Surg. 1984 Feb;22(1):56-64. doi: 10.1016/0266-4356(84)90010-x.
9
Incidence and early forms of oral submucous fibrosis.口腔黏膜下纤维化的发病率及早期表现形式
Oral Surg Oral Med Oral Pathol. 1980 Jul;50(1):40-4. doi: 10.1016/0030-4220(80)90329-1.
10
The oral features of betel nut chewers without submucous fibrosis.无口腔黏膜下纤维化的槟榔咀嚼者的口腔特征。
J Biol Buccale. 1988 Sep;16(3):123-8.

引用本文的文献

1
Clinical and histological indicators for malignant transformation of oral submucous fibrosis: an analysis of cases from a tertiary care center.口腔黏膜下纤维化恶变的临床及组织学指标:来自三级医疗中心的病例分析
BMC Oral Health. 2025 Jul 2;25(1):1053. doi: 10.1186/s12903-025-06443-y.
2
Epithelial Atrophy, Fibrosis and Vascularity Correlation with Epithelial Dysplasia in Oral Submucous Fibrosis, a Prospective Study.上皮萎缩、纤维化及血管化与口腔黏膜下纤维化上皮发育异常的相关性:一项前瞻性研究
J Microsc Ultrastruct. 2020 Nov 9;10(1):1-6. doi: 10.4103/JMAU.JMAU_36_20. eCollection 2022 Jan-Mar.
3
The enigma of signet ring cells.

本文引用的文献

1
EPITHELIAL CHANGES IN ORAL SUBMUCOUS FIBROSIS.口腔黏膜下纤维化的上皮变化
Acta Odontol Scand. 1965 Jun;23:277-86. doi: 10.3109/00016356509007516.
2
STUDIES IN ORAL LEUKOPLAKIAS. V. CLINICAL AND HISTOLOGIC SIGNS OF MALIGNANCY.口腔白斑病研究。五、恶性病变的临床及组织学特征
Acta Odontol Scand. 1963 Nov;21:407-14. doi: 10.3109/00016356309028203.
3
Submucous fibrosis of the palate and pillars of the fauces.腭部及咽弓黏膜下纤维化
印戒细胞之谜。
J Oral Maxillofac Pathol. 2020 Jan-Apr;24(1):18-19. doi: 10.4103/jomfp.JOMFP_77_20. Epub 2020 May 8.
4
Redefining epithelial characterization in oral submucous fibrosis using morphometric analysis.使用形态计量分析重新定义口腔黏膜下纤维化中的上皮特征
J Oral Maxillofac Pathol. 2017 Jan-Apr;21(1):36-40. doi: 10.4103/0973-029X.203792.
5
Management of Oral Submucous Fibrosis with Injection of Hyaluronidase and Dexamethasone in Grade III Oral Submucous Fibrosis: A Retrospective Study.透明质酸酶和地塞米松注射治疗Ⅲ级口腔黏膜下纤维化的回顾性研究
J Int Oral Health. 2015 Aug;7(8):82-5.
6
Expression of Proliferating Cell Nuclear Antigen (PCNA) in Oral Submucous Fibrosis: An Immunohistochemical Study.增殖细胞核抗原(PCNA)在口腔黏膜下纤维化中的表达:一项免疫组织化学研究
J Clin Diagn Res. 2015 May;9(5):ZC20-3. doi: 10.7860/JCDR/2015/13046.5885. Epub 2015 May 1.
7
Collagen in histologic stages of oral submucous fibrosis: A polarizing microscopic study.口腔黏膜下纤维化组织学阶段的胶原蛋白:偏振显微镜研究
J Oral Maxillofac Pathol. 2012 May;16(2):162-6. doi: 10.4103/0973-029X.98446.
8
Cys-X-Cys ligand 9 might be an immunological factor in the pathogenesis of oral submucous fibrosis and its concomitant oral lichenoid lesion.Cys-X-Cys 配体 9 可能是口腔黏膜下纤维性变及其伴发性口腔扁平苔藓发病机制中的一个免疫学因素。
Clin Oral Investig. 2013 May;17(4):1251-8. doi: 10.1007/s00784-012-0799-9. Epub 2012 Jul 21.
9
Histopathological study of stomatitis nicotina.烟碱性口炎的组织病理学研究。
Br J Cancer. 1971 Sep;25(3):403-10. doi: 10.1038/bjc.1971.51.
10
SCE frequencies in lymphocytes of tobacco/betel nut chewers and patients with oral submucous fibrosis.烟草/槟榔咀嚼者及口腔黏膜下纤维化患者淋巴细胞中的姐妹染色单体交换频率
Br J Cancer. 1986 Jan;53(1):141-3. doi: 10.1038/bjc.1986.20.
Indian J Med Sci. 1962 Mar;16:189-97.
4
Cancer of the buccal mucosa; a clinical study of 650 cases in Indian patients.颊黏膜癌;对650例印度患者的临床研究
Cancer. 1956 May-Jun;9(3):431-5. doi: 10.1002/1097-0142(195605/06)9:3<431::aid-cncr2820090302>3.0.co;2-t.
5
Oral epithelial changes in thirty Indians with oral cancer and submucous fibrosis.30名患有口腔癌和口腔黏膜下纤维化的印度人的口腔上皮变化
Cancer. 1967 Jul;20(7):1141-6. doi: 10.1002/1097-0142(196707)20:7<1141::aid-cncr2820200717>3.0.co;2-4.
6
Submucous fibrosis of the oral cavity. Histomorphological studies.口腔黏膜下纤维化。组织形态学研究。
Br J Cancer. 1966 Dec;20(4):676-87. doi: 10.1038/bjc.1966.79.
7
Frequency of oral submucous fibrosis in North India.印度北部口腔黏膜下纤维化的发病率
Bull World Health Organ. 1965;32(5):748-50.