• 文献检索
  • 文档翻译
  • 深度研究
  • 学术资讯
  • Suppr Zotero 插件Zotero 插件
  • 邀请有礼
  • 套餐&价格
  • 历史记录
应用&插件
Suppr Zotero 插件Zotero 插件浏览器插件Mac 客户端Windows 客户端微信小程序
定价
高级版会员购买积分包购买API积分包
服务
文献检索文档翻译深度研究API 文档MCP 服务
关于我们
关于 Suppr公司介绍联系我们用户协议隐私条款
关注我们

Suppr 超能文献

核心技术专利:CN118964589B侵权必究
粤ICP备2023148730 号-1Suppr @ 2026

文献检索

告别复杂PubMed语法,用中文像聊天一样搜索,搜遍4000万医学文献。AI智能推荐,让科研检索更轻松。

立即免费搜索

文件翻译

保留排版,准确专业,支持PDF/Word/PPT等文件格式,支持 12+语言互译。

免费翻译文档

深度研究

AI帮你快速写综述,25分钟生成高质量综述,智能提取关键信息,辅助科研写作。

立即免费体验

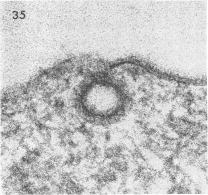
在电子显微镜下观察到的病毒结构与发育。8. 流感病毒的进入。

Structure and development of viruses as observed in the electron microscope. 8. Entry of influenza virus.

作者信息

Morgan C, Rose H M

出版信息

J Virol. 1968 Sep;2(9):925-36. doi: 10.1128/JVI.2.9.925-936.1968.

DOI:10.1128/JVI.2.9.925-936.1968
PMID:5725323
原文链接:https://pmc.ncbi.nlm.nih.gov/articles/PMC375714/
Abstract

It is suggested that, after attachment of influenza virus to the cell, the viral coat disintegrates. With fusion of virus to the cytoplasmic membrane, the latter undergoes dissolution. Rupture of the viral core permits release of nucleoprotein directly into the cytoplasm. Stages in the process are illustrated.

摘要

有人提出,流感病毒附着于细胞后,病毒衣壳会解体。随着病毒与细胞质膜融合,细胞质膜会溶解。病毒核心破裂会使核蛋白直接释放到细胞质中。文中展示了这一过程的各个阶段。

https://cdn.ncbi.nlm.nih.gov/pmc/blobs/33c7/375714/3966af5c6bf6/jvirol00321-0084-b.jpg
https://cdn.ncbi.nlm.nih.gov/pmc/blobs/33c7/375714/72b2ed797bad/jvirol00321-0076-a.jpg
https://cdn.ncbi.nlm.nih.gov/pmc/blobs/33c7/375714/fe0d2d8442a5/jvirol00321-0076-b.jpg
https://cdn.ncbi.nlm.nih.gov/pmc/blobs/33c7/375714/33383779946f/jvirol00321-0076-c.jpg
https://cdn.ncbi.nlm.nih.gov/pmc/blobs/33c7/375714/0ac3f100be4b/jvirol00321-0076-d.jpg
https://cdn.ncbi.nlm.nih.gov/pmc/blobs/33c7/375714/e4669483a09a/jvirol00321-0076-e.jpg
https://cdn.ncbi.nlm.nih.gov/pmc/blobs/33c7/375714/df4ee9d30419/jvirol00321-0076-f.jpg
https://cdn.ncbi.nlm.nih.gov/pmc/blobs/33c7/375714/f6929b141f40/jvirol00321-0078-a.jpg
https://cdn.ncbi.nlm.nih.gov/pmc/blobs/33c7/375714/17837f56ef08/jvirol00321-0078-b.jpg
https://cdn.ncbi.nlm.nih.gov/pmc/blobs/33c7/375714/9f9980cf422a/jvirol00321-0078-c.jpg
https://cdn.ncbi.nlm.nih.gov/pmc/blobs/33c7/375714/06a81c93bfbf/jvirol00321-0078-d.jpg
https://cdn.ncbi.nlm.nih.gov/pmc/blobs/33c7/375714/35584acc0368/jvirol00321-0078-e.jpg
https://cdn.ncbi.nlm.nih.gov/pmc/blobs/33c7/375714/de2c8bcb6a5f/jvirol00321-0078-f.jpg
https://cdn.ncbi.nlm.nih.gov/pmc/blobs/33c7/375714/288021a1552e/jvirol00321-0079-a.jpg
https://cdn.ncbi.nlm.nih.gov/pmc/blobs/33c7/375714/7eb5227e2e7b/jvirol00321-0079-b.jpg
https://cdn.ncbi.nlm.nih.gov/pmc/blobs/33c7/375714/968adbf2b567/jvirol00321-0079-c.jpg
https://cdn.ncbi.nlm.nih.gov/pmc/blobs/33c7/375714/47aa988b64da/jvirol00321-0079-d.jpg
https://cdn.ncbi.nlm.nih.gov/pmc/blobs/33c7/375714/a79194700b99/jvirol00321-0079-e.jpg
https://cdn.ncbi.nlm.nih.gov/pmc/blobs/33c7/375714/15d516f83259/jvirol00321-0079-f.jpg
https://cdn.ncbi.nlm.nih.gov/pmc/blobs/33c7/375714/ec4a765a07e7/jvirol00321-0081-a.jpg
https://cdn.ncbi.nlm.nih.gov/pmc/blobs/33c7/375714/9fb0d0b537cd/jvirol00321-0081-b.jpg
https://cdn.ncbi.nlm.nih.gov/pmc/blobs/33c7/375714/ec56b37e1c00/jvirol00321-0081-c.jpg
https://cdn.ncbi.nlm.nih.gov/pmc/blobs/33c7/375714/542e0159f8f0/jvirol00321-0081-d.jpg
https://cdn.ncbi.nlm.nih.gov/pmc/blobs/33c7/375714/efe4f319bf94/jvirol00321-0081-e.jpg
https://cdn.ncbi.nlm.nih.gov/pmc/blobs/33c7/375714/66d813948385/jvirol00321-0081-f.jpg
https://cdn.ncbi.nlm.nih.gov/pmc/blobs/33c7/375714/93b6c0ee988e/jvirol00321-0082-a.jpg
https://cdn.ncbi.nlm.nih.gov/pmc/blobs/33c7/375714/a7a161284bda/jvirol00321-0082-b.jpg
https://cdn.ncbi.nlm.nih.gov/pmc/blobs/33c7/375714/f6ceb3d2172d/jvirol00321-0082-c.jpg
https://cdn.ncbi.nlm.nih.gov/pmc/blobs/33c7/375714/f81938937799/jvirol00321-0082-d.jpg
https://cdn.ncbi.nlm.nih.gov/pmc/blobs/33c7/375714/6e3a475255f3/jvirol00321-0082-e.jpg
https://cdn.ncbi.nlm.nih.gov/pmc/blobs/33c7/375714/67b5ead9f7de/jvirol00321-0082-f.jpg
https://cdn.ncbi.nlm.nih.gov/pmc/blobs/33c7/375714/da846c8a5ad2/jvirol00321-0083-a.jpg
https://cdn.ncbi.nlm.nih.gov/pmc/blobs/33c7/375714/4cbc2e9f5982/jvirol00321-0083-b.jpg
https://cdn.ncbi.nlm.nih.gov/pmc/blobs/33c7/375714/744bee62caee/jvirol00321-0083-c.jpg
https://cdn.ncbi.nlm.nih.gov/pmc/blobs/33c7/375714/b57248485434/jvirol00321-0083-d.jpg
https://cdn.ncbi.nlm.nih.gov/pmc/blobs/33c7/375714/97ed4c14f469/jvirol00321-0083-e.jpg
https://cdn.ncbi.nlm.nih.gov/pmc/blobs/33c7/375714/6d7303c6da48/jvirol00321-0083-f.jpg
https://cdn.ncbi.nlm.nih.gov/pmc/blobs/33c7/375714/c580b62e7ee3/jvirol00321-0084-a.jpg
https://cdn.ncbi.nlm.nih.gov/pmc/blobs/33c7/375714/3966af5c6bf6/jvirol00321-0084-b.jpg
https://cdn.ncbi.nlm.nih.gov/pmc/blobs/33c7/375714/72b2ed797bad/jvirol00321-0076-a.jpg
https://cdn.ncbi.nlm.nih.gov/pmc/blobs/33c7/375714/fe0d2d8442a5/jvirol00321-0076-b.jpg
https://cdn.ncbi.nlm.nih.gov/pmc/blobs/33c7/375714/33383779946f/jvirol00321-0076-c.jpg
https://cdn.ncbi.nlm.nih.gov/pmc/blobs/33c7/375714/0ac3f100be4b/jvirol00321-0076-d.jpg
https://cdn.ncbi.nlm.nih.gov/pmc/blobs/33c7/375714/e4669483a09a/jvirol00321-0076-e.jpg
https://cdn.ncbi.nlm.nih.gov/pmc/blobs/33c7/375714/df4ee9d30419/jvirol00321-0076-f.jpg
https://cdn.ncbi.nlm.nih.gov/pmc/blobs/33c7/375714/f6929b141f40/jvirol00321-0078-a.jpg
https://cdn.ncbi.nlm.nih.gov/pmc/blobs/33c7/375714/17837f56ef08/jvirol00321-0078-b.jpg
https://cdn.ncbi.nlm.nih.gov/pmc/blobs/33c7/375714/9f9980cf422a/jvirol00321-0078-c.jpg
https://cdn.ncbi.nlm.nih.gov/pmc/blobs/33c7/375714/06a81c93bfbf/jvirol00321-0078-d.jpg
https://cdn.ncbi.nlm.nih.gov/pmc/blobs/33c7/375714/35584acc0368/jvirol00321-0078-e.jpg
https://cdn.ncbi.nlm.nih.gov/pmc/blobs/33c7/375714/de2c8bcb6a5f/jvirol00321-0078-f.jpg
https://cdn.ncbi.nlm.nih.gov/pmc/blobs/33c7/375714/288021a1552e/jvirol00321-0079-a.jpg
https://cdn.ncbi.nlm.nih.gov/pmc/blobs/33c7/375714/7eb5227e2e7b/jvirol00321-0079-b.jpg
https://cdn.ncbi.nlm.nih.gov/pmc/blobs/33c7/375714/968adbf2b567/jvirol00321-0079-c.jpg
https://cdn.ncbi.nlm.nih.gov/pmc/blobs/33c7/375714/47aa988b64da/jvirol00321-0079-d.jpg
https://cdn.ncbi.nlm.nih.gov/pmc/blobs/33c7/375714/a79194700b99/jvirol00321-0079-e.jpg
https://cdn.ncbi.nlm.nih.gov/pmc/blobs/33c7/375714/15d516f83259/jvirol00321-0079-f.jpg
https://cdn.ncbi.nlm.nih.gov/pmc/blobs/33c7/375714/ec4a765a07e7/jvirol00321-0081-a.jpg
https://cdn.ncbi.nlm.nih.gov/pmc/blobs/33c7/375714/9fb0d0b537cd/jvirol00321-0081-b.jpg
https://cdn.ncbi.nlm.nih.gov/pmc/blobs/33c7/375714/ec56b37e1c00/jvirol00321-0081-c.jpg
https://cdn.ncbi.nlm.nih.gov/pmc/blobs/33c7/375714/542e0159f8f0/jvirol00321-0081-d.jpg
https://cdn.ncbi.nlm.nih.gov/pmc/blobs/33c7/375714/efe4f319bf94/jvirol00321-0081-e.jpg
https://cdn.ncbi.nlm.nih.gov/pmc/blobs/33c7/375714/66d813948385/jvirol00321-0081-f.jpg
https://cdn.ncbi.nlm.nih.gov/pmc/blobs/33c7/375714/93b6c0ee988e/jvirol00321-0082-a.jpg
https://cdn.ncbi.nlm.nih.gov/pmc/blobs/33c7/375714/a7a161284bda/jvirol00321-0082-b.jpg
https://cdn.ncbi.nlm.nih.gov/pmc/blobs/33c7/375714/f6ceb3d2172d/jvirol00321-0082-c.jpg
https://cdn.ncbi.nlm.nih.gov/pmc/blobs/33c7/375714/f81938937799/jvirol00321-0082-d.jpg
https://cdn.ncbi.nlm.nih.gov/pmc/blobs/33c7/375714/6e3a475255f3/jvirol00321-0082-e.jpg
https://cdn.ncbi.nlm.nih.gov/pmc/blobs/33c7/375714/67b5ead9f7de/jvirol00321-0082-f.jpg
https://cdn.ncbi.nlm.nih.gov/pmc/blobs/33c7/375714/da846c8a5ad2/jvirol00321-0083-a.jpg
https://cdn.ncbi.nlm.nih.gov/pmc/blobs/33c7/375714/4cbc2e9f5982/jvirol00321-0083-b.jpg
https://cdn.ncbi.nlm.nih.gov/pmc/blobs/33c7/375714/744bee62caee/jvirol00321-0083-c.jpg
https://cdn.ncbi.nlm.nih.gov/pmc/blobs/33c7/375714/b57248485434/jvirol00321-0083-d.jpg
https://cdn.ncbi.nlm.nih.gov/pmc/blobs/33c7/375714/97ed4c14f469/jvirol00321-0083-e.jpg
https://cdn.ncbi.nlm.nih.gov/pmc/blobs/33c7/375714/6d7303c6da48/jvirol00321-0083-f.jpg
https://cdn.ncbi.nlm.nih.gov/pmc/blobs/33c7/375714/c580b62e7ee3/jvirol00321-0084-a.jpg
https://cdn.ncbi.nlm.nih.gov/pmc/blobs/33c7/375714/3966af5c6bf6/jvirol00321-0084-b.jpg

相似文献

1
Structure and development of viruses as observed in the electron microscope. 8. Entry of influenza virus.在电子显微镜下观察到的病毒结构与发育。8. 流感病毒的进入。
J Virol. 1968 Sep;2(9):925-36. doi: 10.1128/JVI.2.9.925-936.1968.
2
Structure and development of viruses as observed in the electron microscope. IX. Entry of parainfluenza I (Sendai) virus.在电子显微镜下观察到的病毒结构与发育。IX. 副流感I型(仙台)病毒的侵入
J Virol. 1968 Oct;2(10):1122-32. doi: 10.1128/JVI.2.10.1122-1132.1968.
3
Electron microscopy of tissue culture cells infected with myxoviruses. II. Nucleo-cytoplasmic changes in fowl plague virus-infected cells.感染黏液病毒的组织培养细胞的电子显微镜观察。II. 感染禽瘟病毒细胞的核质变化
Acta Virol. 1972 May;16(3):177-82.
4
[Electron microscopic investigations on the cycle of infection of influenza A virus in Ehrlich ascites tumor cells].[关于甲型流感病毒在艾氏腹水瘤细胞中感染周期的电子显微镜研究]
Pathol Microbiol (Basel). 1970;36(2):81-107.
5
An electron microscopic study of influenza virus reproductive cycle in chick embryo cells with selective inhibition of host cell macromolecular synthesis.在选择性抑制宿主细胞大分子合成的情况下,对鸡胚细胞中流感病毒复制周期的电子显微镜研究。
Acta Virol. 1974 Nov;18(6):449-56.
6
Electron microscopic observations on the entry of influenza virus into susceptible cells.关于流感病毒进入易感细胞的电子显微镜观察
J Gen Virol. 1974 Jul;24(1):129-41. doi: 10.1099/0022-1317-24-1-129.
7
Aspects of influenza C virus replication.丙型流感病毒复制的各个方面。
J Hyg (Lond). 1971 Dec;69(4):587-92. doi: 10.1017/s0022172400021860.
8
Infection of chick embryo tracheal organ cultures with influenza A2 (Hong Kong) virus. II. Electron microscopy.用甲型流感病毒2型(香港株)感染鸡胚气管器官培养物。II. 电子显微镜检查
Arch Gesamte Virusforsch. 1972;38(2):250-66. doi: 10.1007/BF01249676.
9
Elongated structures present in cells infected with influenza viruses.感染流感病毒的细胞中存在的细长结构。
Arch Gesamte Virusforsch. 1970;29(4):275-86. doi: 10.1007/BF01249882.
10
Influenza virus RNA's in the cytoplasm of chicken embryo cells treated with 3'-deoxyadenosine.用3'-脱氧腺苷处理的鸡胚细胞胞质中的流感病毒RNA。
J Virol. 1976 Apr;18(1):356-60. doi: 10.1128/JVI.18.1.356-360.1976.

引用本文的文献

1
Further evidence for entry of infectious bovine rhinotracheitis virus into bovine kidney cells.进一步证明传染性牛鼻气管炎病毒进入牛肾细胞。
Curr Microbiol. 1978;1(3):145-50. doi: 10.1007/BF02601667.
2
Infectious entry pathway of influenza virus in a canine kidney cell line.流感病毒在犬肾细胞系中的感染性进入途径。
J Cell Biol. 1981 Dec;91(3 Pt 1):601-13. doi: 10.1083/jcb.91.3.601.
3
Productive infection of chick embryo cells by influenza viruses tightly bound on substratum.紧密结合在基质上的流感病毒对鸡胚细胞的增殖性感染。

本文引用的文献

1
Attachment and penetration of influenza virus.流感病毒的附着与穿透
Virology. 1962 Nov;18:489-93. doi: 10.1016/0042-6822(62)90041-7.
2
The entry of myxoviruses into the cell.黏液病毒进入细胞的过程。
Cold Spring Harb Symp Quant Biol. 1962;27:113-21. doi: 10.1101/sqb.1962.027.001.014.
3
The use of influenza virus labelled with radio-sulphur in studies of the early stages of the interaction of virus with the host cell.用放射性硫标记的流感病毒在病毒与宿主细胞相互作用早期阶段研究中的应用。
Med Microbiol Immunol. 1981;170(2):91-8. doi: 10.1007/BF02122673.
4
Incomplete avian influenza A virus displays anomalous interference.不完全甲型禽流感病毒表现出异常干扰。
Arch Virol. 1982;74(1):71-6. doi: 10.1007/BF01320784.
5
Infectious cell entry mechanism of influenza virus.流感病毒的感染性细胞进入机制。
J Virol. 1982 Jul;43(1):284-93. doi: 10.1128/JVI.43.1.284-293.1982.
6
Cell fusion by Semliki Forest, influenza, and vesicular stomatitis viruses.由塞姆利基森林病毒、流感病毒和水疱性口炎病毒介导的细胞融合
J Cell Biol. 1981 Jun;89(3):674-9. doi: 10.1083/jcb.89.3.674.
7
Studies of laryngotracheitis virus in avian tissue cultures. 3. Enhancement of infectivity by diethylaminoethyl-dextran.禽组织培养中喉气管炎病毒的研究。3. 二乙氨基乙基葡聚糖对感染性的增强作用。
Appl Microbiol. 1970 Jun;19(6):932-6. doi: 10.1128/am.19.6.932-936.1970.
8
The interaction of fetuin with phosphatidylcholine monolayers. Characterization of a lipoprotein membrane system suitable for the attachment of myxoviruses.胎球蛋白与磷脂酰胆碱单层的相互作用。一种适合黏病毒附着的脂蛋白膜系统的特性。
Biochem J. 1970 Apr;117(2):377-84. doi: 10.1042/bj1170377.
9
Structure and development of viruses as observed in the electron microscope. V. Entry and uncoating of adenovirus.在电子显微镜下观察到的病毒结构与发育。五、腺病毒的进入与脱壳
J Virol. 1969 Nov;4(5):777-96. doi: 10.1128/JVI.4.5.777-796.1969.
10
Models of structure of the envelope of influenza virus.流感病毒包膜结构模型。
Proc Natl Acad Sci U S A. 1970 Apr;65(4):1105-12. doi: 10.1073/pnas.65.4.1105.
J Hyg (Lond). 1957 Jun;55(2):290-7. doi: 10.1017/s0022172400037189.
4
Electron microscopy of herpes simplex virus. I. Entry.单纯疱疹病毒的电子显微镜观察。I. 进入
J Virol. 1968 May;2(5):507-16. doi: 10.1128/JVI.2.5.507-516.1968.