Suppr超能文献

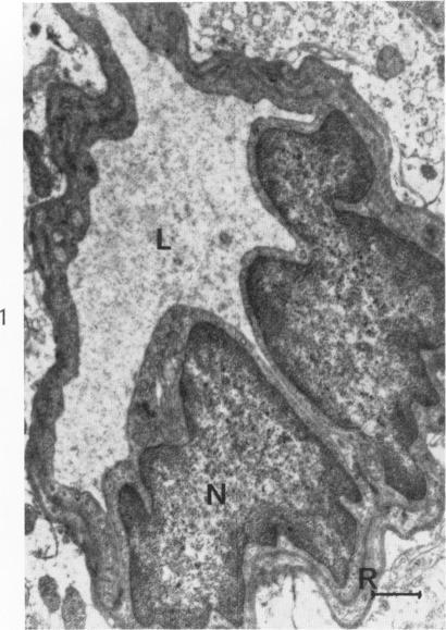
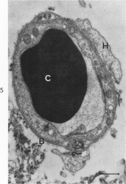
Ultrastructural changes in the capillary bed of the rat cerebral cortex in anoxic-ischemic brain lesions.

作者信息

Hills C P

出版信息

Am J Pathol. 1964 Apr;44(4):531-51.

Abstract
摘要
https://cdn.ncbi.nlm.nih.gov/pmc/blobs/2628/1907024/ea881f4da0a6/amjpathol00305-0028-a.jpg

相似文献

2
Evidence for early anoxic-ischaemic cell damage in the rat brain.
Experientia. 1966 Aug 15;22(8):546-7. doi: 10.1007/BF01898684.
3
Anoxic-ischaemic cell change in rat brain light microscopic and fine-structural observations.
J Neurol Sci. 1972 May;16(1):59-84. doi: 10.1016/0022-510x(72)90102-5.
9
A combined light and electron microscope study of early anoxic-ischaemic cell change in rat brain.
Brain Res. 1970 Jun 3;20(2):193-200. doi: 10.1016/0006-8993(70)90288-x.
10
THE DIFFERENTIATION OF WHITE ADIPOSE CELLS. AN ELECTRON MICROSCOPE STUDY.
J Cell Biol. 1963 Sep;18(3):663-79. doi: 10.1083/jcb.18.3.663.

引用本文的文献

本文引用的文献

1
A study of fixation for electron microscopy.
J Exp Med. 1952 Mar;95(3):285-98. doi: 10.1084/jem.95.3.285.
2
Electron microscopy of the brain in experimental edema.
J Neurosurg. 1960 May;17:439-46. doi: 10.3171/jns.1960.17.3.0439.
3
Anoxic-ischemic encephalopathy in rats.
Am J Pathol. 1960 Jan;36(1):1-17.
4
Compression of brain arteries as pathogenetic factor for tissue necroses and their areas of predilection.
J Neuropathol Exp Neurol. 1955 Jul;14(3):223-43. doi: 10.1097/00005072-195507000-00001.
10
Hypoxia and ammonia toxicity.
Am J Physiol. 1960 Dec;199:1105-8. doi: 10.1152/ajplegacy.1960.199.6.1105.

文献AI研究员

20分钟写一篇综述,助力文献阅读效率提升50倍。

立即体验

用中文搜PubMed

大模型驱动的PubMed中文搜索引擎

马上搜索

文档翻译

学术文献翻译模型,支持多种主流文档格式。

立即体验