Suppr超能文献

细菌和真菌对阴道脱落上皮细胞及人阴道上皮组织培养细胞黏附情况的比较

Comparison of bacterial and fungal adherence to vaginal exfoliated epithelial cells and human vaginal epithelial tissue culture cells.

作者信息

Sobel J D, Myers P, Levison M E, Kaye D

出版信息

Infect Immun. 1982 Feb;35(2):697-701. doi: 10.1128/iai.35.2.697-701.1982.

Abstract

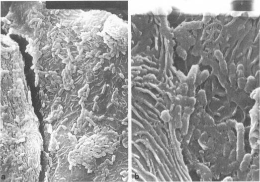
The adherence of four bacterial species and Candida albicans to a new in vitro tissue culture model of human vaginal stratified squamous epithelium was investigated and compared with in vitro adherence to vaginal exfoliated cells. Gardnerella vaginalis, group B streptococci, Lactobacillus sp., and C. albicans adhered well to both exfoliated and tissue culture cells. Similarly, a piliated fecal isolate of Escherichia coli, but not a nonpiliated vaginal isolate of E. coli, adhered well to both cell types. Adherence of the piliated E. coli was markedly inhibited by preincubation of bacteria with D-mannose. No inhibition of adherence by D-mannose of G. vaginalis, nonpiliated E. coli, and C. albicans was demonstrated. Scanning electron microscopy of tissue cultures showed nonuniform distribution of adherent microorganisms with diminished adherence in areas of active mitosis and proliferation and increased adherence to mature flat cells, often in the process of desquamation.

摘要

研究了四种细菌和白色念珠菌对一种新的人阴道复层鳞状上皮体外组织培养模型的黏附情况,并与它们对阴道脱落细胞的体外黏附进行了比较。阴道加德纳菌、B组链球菌、乳酸杆菌属和白色念珠菌对脱落细胞和组织培养细胞均有良好的黏附。同样,一株有菌毛的粪便分离大肠杆菌,但不是一株无菌毛的阴道分离大肠杆菌,对这两种细胞类型均有良好的黏附。将细菌与D-甘露糖预孵育后,有菌毛大肠杆菌的黏附明显受到抑制。未证明D-甘露糖对阴道加德纳菌、无菌毛大肠杆菌和白色念珠菌的黏附有抑制作用。组织培养的扫描电子显微镜显示,黏附微生物分布不均匀,在有丝分裂和增殖活跃的区域黏附减少,而对成熟扁平细胞的黏附增加,这些细胞通常处于脱屑过程中。

https://cdn.ncbi.nlm.nih.gov/pmc/blobs/568a/351097/04bcf8341599/iai00154-0325-a.jpg

相似文献

2
Adherence of bacteria to vaginal epithelial cells at various times in the menstrual cycle.
Infect Immun. 1981 Apr;32(1):194-7. doi: 10.1128/iai.32.1.194-197.1981.
3
Modulation of Candida albicans attachment to human epithelial cells by bacteria and carbohydrates.
Infect Immun. 1983 Mar;39(3):1354-60. doi: 10.1128/iai.39.3.1354-1360.1983.
4
Adherence of human vaginal lactobacilli to vaginal epithelial cells and interaction with uropathogens.
Infect Immun. 1998 May;66(5):1985-9. doi: 10.1128/IAI.66.5.1985-1989.1998.
5
Adherence of Candida albicans to human vaginal and buccal epithelial cells.
J Infect Dis. 1981 Jan;143(1):76-82. doi: 10.1093/infdis/143.1.76.
6
Epithelial differentiation promotes the adherence of type 1-piliated Escherichia coli to human vaginal cells.
J Infect Dis. 2002 Dec 1;186(11):1631-8. doi: 10.1086/345557. Epub 2002 Nov 11.

引用本文的文献

1
Antifungals: need to search for a new molecular target.
Indian J Pharm Sci. 2008 Jul-Aug;70(4):423-30. doi: 10.4103/0250-474X.44588.
3
Mechanisms of antibacterial immunity of mucous membranes.
Folia Microbiol (Praha). 1984;29(5):375-84. doi: 10.1007/BF02887765.
4
Inhibition by sugars of Candida albicans adherence to human buccal mucosal cells and corneocytes in vitro.
Infect Immun. 1984 Dec;46(3):831-4. doi: 10.1128/iai.46.3.831-834.1984.
5
Modulation of Candida albicans attachment to human epithelial cells by bacteria and carbohydrates.
Infect Immun. 1983 Mar;39(3):1354-60. doi: 10.1128/iai.39.3.1354-1360.1983.
8
Factors influencing the interaction of Candida albicans with fibroblast cell cultures.
Infect Immun. 1988 Apr;56(4):792-801. doi: 10.1128/iai.56.4.792-801.1988.
9
Characteristics of Candida albicans adherence to mouse tissues.
Infect Immun. 1990 Jun;58(6):1902-8. doi: 10.1128/iai.58.6.1902-1908.1990.
10
Adherence and receptor relationships of Candida albicans.
Microbiol Rev. 1991 Mar;55(1):1-20. doi: 10.1128/mr.55.1.1-20.1991.

本文引用的文献

1
Selective bacterial adherence to oral epithelial surfaces and its role as an ecological determinant.
Infect Immun. 1971 Apr;3(4):567-73. doi: 10.1128/iai.3.4.567-573.1971.
2
Adherence of bacteria to vaginal epithelial cells at various times in the menstrual cycle.
Infect Immun. 1981 Apr;32(1):194-7. doi: 10.1128/iai.32.1.194-197.1981.
4
Adherence of oral streptococci to keratinized and nonkeratinized human oral epithelial cells.
Infect Immun. 1980 Feb;27(2):686-9. doi: 10.1128/iai.27.2.686-689.1980.
5
Growth of mouse vaginal epithelial cells in vitro.
In Vitro. 1973 Nov-Dec;9(3):194-201. doi: 10.1007/BF02618437.
6
Ciliated respiratory epithelial monolayers: new model for Mycoplasma pneumoniae infection.
Infect Immun. 1978 Jul;21(1):333-6. doi: 10.1128/iai.21.1.333-336.1978.
7
Bacterial adherence to virus-infected cells: a cell culture model of bacterial superinfection.
J Infect Dis. 1978 Feb;137(2):176-81. doi: 10.1093/infdis/137.2.176.
8
Human vaginal epithelial multilayer tissue culture.
In Vitro. 1979 Dec;15(12):993-1000. doi: 10.1007/BF02619158.

文献AI研究员

20分钟写一篇综述,助力文献阅读效率提升50倍。

立即体验

用中文搜PubMed

大模型驱动的PubMed中文搜索引擎

马上搜索

文档翻译

学术文献翻译模型,支持多种主流文档格式。

立即体验