Johnson L K, Baxter J D, Vlodavsky I, Gospodarowicz D
Proc Natl Acad Sci U S A. 1980 Jan;77(1):394-8. doi: 10.1073/pnas.77.1.394.
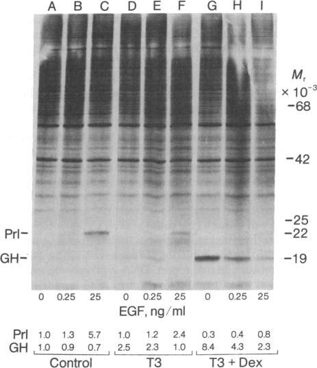
Cultured rat pituitary tumor cells, GH3/D6, which synthesize both growth hormone and prolactin, have cell-surface epidermal growth factor (EGF) receptor sites (34,000 per cell) that bind 125I-labeled EGF with a high affinity (Kd approximately 1 nM). Prolonged treatment of the cells with EGF did not stimulate cell division but did inhibit thyroid hormone-stimulated cell growth. In addition, EGF altered the morphology of the cells from a rounded to an elongated conformation. EGF also induced a perturbation of chromatin structure in GH3 cell nuclei that was detected by an increase (40%) in the number of rifampicin-resistant initiation sites for bacterial RNA polymerase. This was accompanied by an increased synthesis of prolactin and an inhibition of synthesis of growth hormone. In the presence of EGF, the synthesis of growth hormone was no longer inducible by thyroid hormone, but it remained responsive to glucocorticoids. The results demonstrate that EGF can elicit major effects on the cellular phenotype and expression of specific genes in the absence of a proliferative response. This suggests that EGF can also regulate differentiated cellular functions.
培养的大鼠垂体瘤细胞GH3/D6能合成生长激素和催乳素,其细胞表面有表皮生长因子(EGF)受体位点(每个细胞34,000个),可高亲和力(解离常数约1 nM)结合125I标记的EGF。用EGF长时间处理这些细胞不会刺激细胞分裂,但会抑制甲状腺激素刺激的细胞生长。此外,EGF使细胞形态从圆形变为细长形。EGF还诱导了GH3细胞核中染色质结构的扰动,这可通过细菌RNA聚合酶的利福平抗性起始位点数量增加(40%)检测到。这伴随着催乳素合成增加和生长激素合成受到抑制。在EGF存在的情况下,生长激素的合成不再受甲状腺激素诱导,但仍对糖皮质激素有反应。结果表明,在没有增殖反应的情况下,EGF可对细胞表型和特定基因的表达产生重大影响。这表明EGF也可调节分化的细胞功能。