• 文献检索
  • 文档翻译
  • 深度研究
  • 学术资讯
  • Suppr Zotero 插件Zotero 插件
  • 邀请有礼
  • 套餐&价格
  • 历史记录
应用&插件
Suppr Zotero 插件Zotero 插件浏览器插件Mac 客户端Windows 客户端微信小程序
定价
高级版会员购买积分包购买API积分包
服务
文献检索文档翻译深度研究API 文档MCP 服务
关于我们
关于 Suppr公司介绍联系我们用户协议隐私条款
关注我们

Suppr 超能文献

核心技术专利:CN118964589B侵权必究
粤ICP备2023148730 号-1Suppr @ 2026

文献检索

告别复杂PubMed语法,用中文像聊天一样搜索,搜遍4000万医学文献。AI智能推荐,让科研检索更轻松。

立即免费搜索

文件翻译

保留排版,准确专业,支持PDF/Word/PPT等文件格式,支持 12+语言互译。

免费翻译文档

深度研究

AI帮你快速写综述,25分钟生成高质量综述,智能提取关键信息,辅助科研写作。

立即免费体验

鸡中δ-晶状体蛋白基因的组织方式。

Organization of delta-crystallin genes in the chicken.

作者信息

Yasuda K, Kondoh H, Okada T S, Nakajima N, Shimura Y

出版信息

Nucleic Acids Res. 1982 May 11;10(9):2879-91. doi: 10.1093/nar/10.9.2879.

DOI:10.1093/nar/10.9.2879
PMID:6285314
原文链接:https://pmc.ncbi.nlm.nih.gov/articles/PMC320662/
Abstract

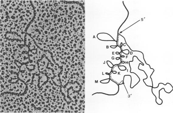
Double-stranded DNA was synthesized from delta-crystallin mRNA prepared from lens fibers of 15-day-old chick embryos and cloned at the Pst I site of the plasmid pBR322. Using the cloned cDNA and single-stranded cDNA as hybridization probes, a number of genomic DNA fragments containing delta-crystallin gene sequences have been cloned from the partial and complete EcoRI digests of chick brain DNA. One of the clones from the partial digests contains a DNA fragment that consists of four EcoRI fragments of 7.6 kb, 4.0 kb, 2.6 kb, and 0.8 kb. The gene sequences reside in the (5')7.6 kb - 0.8 kb - 4.0 kb (3') fragments. Electron microscopy has provided evidence that the cloned DNA fragment includes the entire gene sequences complementary to delta-crystallin mRNA except for the 3' terminal poly(A) tail, and that the delta-crystallin gene is interrupted by at least 13 intervening sequences. Another clone contains a genomic fragment that consists of two EcoRI fragments of 3.0 kb and 11 kb. The DNA fragment in the latter clone represents a different delta-crystallin gene, as judged by restriction endonuclease mapping and by electron microscopy.

摘要

双链DNA是由从15日龄鸡胚晶状体纤维制备的δ-晶体蛋白mRNA合成的,并克隆到质粒pBR322的Pst I位点。使用克隆的cDNA和单链cDNA作为杂交探针,从鸡脑DNA的部分和完全EcoRI消化物中克隆了许多含有δ-晶体蛋白基因序列的基因组DNA片段。部分消化物中的一个克隆包含一个DNA片段,该片段由7.6 kb、4.0 kb、2.6 kb和0.8 kb的四个EcoRI片段组成。基因序列位于(5')7.6 kb - 0.8 kb - 4.0 kb (3')片段中。电子显微镜提供了证据,表明克隆的DNA片段包含除3'末端聚(A)尾外与δ-晶体蛋白mRNA互补的整个基因序列,并且δ-晶体蛋白基因被至少13个间隔序列中断。另一个克隆包含一个基因组片段,该片段由3.0 kb和11 kb的两个EcoRI片段组成。通过限制性内切酶图谱分析和电子显微镜判断,后一个克隆中的DNA片段代表一个不同的δ-晶体蛋白基因。

https://cdn.ncbi.nlm.nih.gov/pmc/blobs/5e9d/320662/6cd0cb4b76d1/nar00378-0127-a.jpg
https://cdn.ncbi.nlm.nih.gov/pmc/blobs/5e9d/320662/65e631678be2/nar00378-0123-a.jpg
https://cdn.ncbi.nlm.nih.gov/pmc/blobs/5e9d/320662/e087a3006fa4/nar00378-0124-a.jpg
https://cdn.ncbi.nlm.nih.gov/pmc/blobs/5e9d/320662/255ed79cd303/nar00378-0125-a.jpg
https://cdn.ncbi.nlm.nih.gov/pmc/blobs/5e9d/320662/6cd0cb4b76d1/nar00378-0127-a.jpg
https://cdn.ncbi.nlm.nih.gov/pmc/blobs/5e9d/320662/65e631678be2/nar00378-0123-a.jpg
https://cdn.ncbi.nlm.nih.gov/pmc/blobs/5e9d/320662/e087a3006fa4/nar00378-0124-a.jpg
https://cdn.ncbi.nlm.nih.gov/pmc/blobs/5e9d/320662/255ed79cd303/nar00378-0125-a.jpg
https://cdn.ncbi.nlm.nih.gov/pmc/blobs/5e9d/320662/6cd0cb4b76d1/nar00378-0127-a.jpg

相似文献

1
Organization of delta-crystallin genes in the chicken.鸡中δ-晶状体蛋白基因的组织方式。
Nucleic Acids Res. 1982 May 11;10(9):2879-91. doi: 10.1093/nar/10.9.2879.
2
Molecular cloning and partial characterization of delta-crystallin cDNA sequences in a bacterial plasmid.
Proc Natl Acad Sci U S A. 1979 Jul;76(7):3299-303. doi: 10.1073/pnas.76.7.3299.
3
Chicken lens crystallin DNA sequences show at least two delta-crystallin genes.鸡晶状体晶状体蛋白DNA序列显示至少有两个δ-晶状体蛋白基因。
Nature. 1980 Mar 20;284(5753):234-8. doi: 10.1038/284234a0.
4
Cytoplasmic RNA sequences complementary to cloned chick delta-crystallin cDNA show size heterogeneity.与克隆的鸡δ-晶体蛋白互补DNA的细胞质RNA序列呈现大小异质性。
Biochem J. 1982 Feb 1;201(2):339-44. doi: 10.1042/bj2010339.
5
Conservation of delta-crystallin gene structure between ducks and chickens.鸭和鸡之间δ-晶体蛋白基因结构的保守性。
J Mol Evol. 1987;25(4):308-17. doi: 10.1007/BF02603115.
6
Comparison of two delta-crystallin genes in the chicken.鸡体内两种δ-晶状体蛋白基因的比较。
Proc Natl Acad Sci U S A. 1980 Oct;77(10):5879-83. doi: 10.1073/pnas.77.10.5879.
7
Transcription and site-specific hypomethylation of the delta-crystallin genes in the embryonic chicken lens.胚胎期鸡晶状体中δ-晶体蛋白基因的转录及位点特异性低甲基化
J Biol Chem. 1981 Aug 10;256(15):8172-6.
8
Structural and functional similarities of delta-crystallin messenger ribonucleic acids from duck and chicken lenses.鸭和鸡晶状体中δ-晶状体蛋白信使核糖核酸的结构与功能相似性。
Biochemistry. 1981 Oct 27;20(22):6427-31. doi: 10.1021/bi00525a022.
9
Two delta-crystallin polypeptides are derived from a cloned delta 1-crystallin cDNA.
FEBS Lett. 1986 Sep 15;205(2):235-40. doi: 10.1016/0014-5793(86)80904-8.
10
Isolation and characterization of beta- and gamma-crystallin genes from rat genomic cosmid libraries.从大鼠基因组黏粒文库中分离并鉴定β-和γ-晶状体蛋白基因。
Gene. 1984 Jul-Aug;29(1-2):1-9. doi: 10.1016/0378-1119(84)90159-8.

引用本文的文献

1
Stimulation of crystallin synthesis in embryonic brain cells in culture.培养的胚胎脑细胞中晶状体蛋白合成的刺激。
Rouxs Arch Dev Biol. 1986 Jan;195(1):15-21. doi: 10.1007/BF00444037.
2
Sequence of a complete chicken delta-crystallin cDNA.完整鸡δ-晶体蛋白cDNA的序列
Proc Natl Acad Sci U S A. 1984 May;81(9):2611-5. doi: 10.1073/pnas.81.9.2611.
3
The nucleotide sequence of a complete chicken delta-crystallin cDNA.完整鸡δ-晶状体蛋白cDNA的核苷酸序列。

本文引用的文献

1
Structural organization of a 17 KB segment of the alpha 2 collagen gene: evaluation by R loop mapping.α2胶原蛋白基因17千碱基片段的结构组织:通过R环作图进行评估。
Nucleic Acids Res. 1980 May 24;8(10):2241-53. doi: 10.1093/nar/8.10.2241.
2
Chicken lens crystallin DNA sequences show at least two delta-crystallin genes.鸡晶状体晶状体蛋白DNA序列显示至少有两个δ-晶状体蛋白基因。
Nature. 1980 Mar 20;284(5753):234-8. doi: 10.1038/284234a0.
3
Transcription and site-specific hypomethylation of the delta-crystallin genes in the embryonic chicken lens.
EMBO J. 1984 Jun;3(6):1397-402. doi: 10.1002/j.1460-2075.1984.tb01983.x.
4
Delta crystallins and their nucleic acids.δ-晶体蛋白及其核酸。
Mol Cell Biochem. 1984;59(1-2):33-56. doi: 10.1007/BF00231304.
5
Differentiation-dependent expression of the chicken delta-crystallin gene introduced into mouse teratocarcinoma stem cells.
EMBO J. 1984 Sep;3(9):2009-14. doi: 10.1002/j.1460-2075.1984.tb02083.x.
6
Structural and functional evidence for differential promoter activity of the two linked delta-crystallin genes in the chicken.鸡体内两个相连的δ-晶状体蛋白基因启动子活性差异的结构和功能证据。
EMBO J. 1985 Feb;4(2):445-52. doi: 10.1002/j.1460-2075.1985.tb03649.x.
7
Gene sharing by delta-crystallin and argininosuccinate lyase.δ-晶状体蛋白与精氨琥珀酸裂解酶的基因共享
Proc Natl Acad Sci U S A. 1988 May;85(10):3479-83. doi: 10.1073/pnas.85.10.3479.
8
Tissue-specific regulation of a chicken delta-crystallin gene in mouse cells: involvement of the 5' end region.鸡δ-晶体蛋白基因在小鼠细胞中的组织特异性调控:5'端区域的作用
EMBO J. 1985 Sep;4(9):2201-7. doi: 10.1002/j.1460-2075.1985.tb03915.x.
9
Nucleotide sequence of a chicken delta-crystallin gene.鸡δ-晶体蛋白基因的核苷酸序列。
Nucleic Acids Res. 1985 Mar 11;13(5):1593-606. doi: 10.1093/nar/13.5.1593.
10
Conservation of delta-crystallin gene structure between ducks and chickens.鸭和鸡之间δ-晶体蛋白基因结构的保守性。
J Mol Evol. 1987;25(4):308-17. doi: 10.1007/BF02603115.
胚胎期鸡晶状体中δ-晶体蛋白基因的转录及位点特异性低甲基化
J Biol Chem. 1981 Aug 10;256(15):8172-6.
4
Comparison of two delta-crystallin genes in the chicken.鸡体内两种δ-晶状体蛋白基因的比较。
Proc Natl Acad Sci U S A. 1980 Oct;77(10):5879-83. doi: 10.1073/pnas.77.10.5879.
5
Organization and structure of an E. coli tRNA operon containing seven tRNA genes.包含七个tRNA基因的大肠杆菌tRNA操纵子的组织与结构。
Cell. 1981 Jan;23(1):239-49. doi: 10.1016/0092-8674(81)90288-9.
6
Changes in chick lens proteins with aging.雏鸡晶状体蛋白质随衰老的变化。
Exp Eye Res. 1968 Oct;7(4):593-602. doi: 10.1016/s0014-4835(68)80014-4.
7
Cleavage of structural proteins during the assembly of the head of bacteriophage T4.在噬菌体T4头部组装过程中结构蛋白的切割
Nature. 1970 Aug 15;227(5259):680-5. doi: 10.1038/227680a0.
8
Macromolecular events during differentiation of the chicken lens.鸡晶状体分化过程中的大分子事件。
Exp Eye Res. 1968 Apr;7(2):301-11. doi: 10.1016/s0014-4835(68)80081-8.
9
Detection of specific sequences among DNA fragments separated by gel electrophoresis.在通过凝胶电泳分离的DNA片段中检测特定序列。
J Mol Biol. 1975 Nov 5;98(3):503-17. doi: 10.1016/s0022-2836(75)80083-0.
10
Colony hybridization: a method for the isolation of cloned DNAs that contain a specific gene.菌落杂交:一种分离含有特定基因的克隆DNA的方法。
Proc Natl Acad Sci U S A. 1975 Oct;72(10):3961-5. doi: 10.1073/pnas.72.10.3961.