Suppr超能文献

用巴西日圆线虫攻击致敏大鼠后黏膜肥大细胞蛋白酶的全身释放

Systemic release of mucosal mast-cell protease in primed rats challenged with Nippostrongylus brasiliensis.

作者信息

Miller H R, Woodbury R G, Huntley J F, Newlands G

出版信息

Immunology. 1983 Jul;49(3):471-9.

Abstract

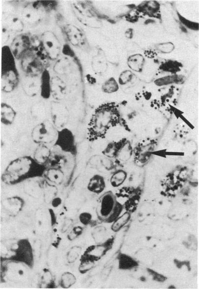
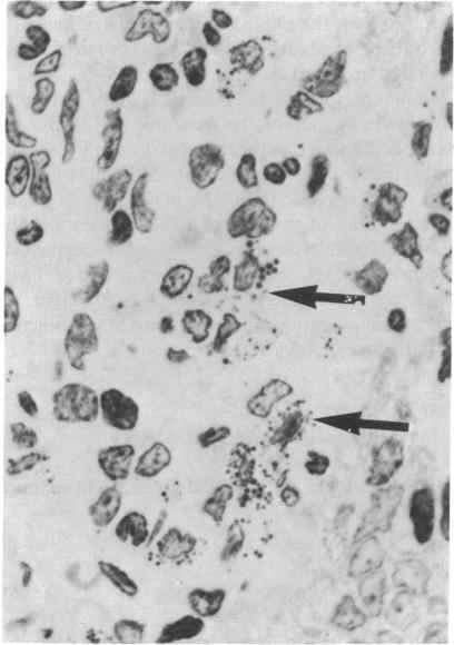
The systemic secretion of a serine protease, rat mast-cell protease II (RMCPII), a major product of rat mucosal mast cells (MMC), was measured by a sensitive enzyme-linked immunosorbent assay (ELISA) in the sera of naive and primed rats challenged with the nematode N. brasiliensis. The systemic secretion of RMCPII was both time- and dose-dependent in primed rats (1-3 micrograms RMCPII/ml serum, 1 hr after challenge). Systemic release of RMCPII was slower and less pronounced in naive rats following intraduodenal challenge with 5-day-old worms. No RMCPII was detected in the sera of naive rats challenged with 4-day-old N. brasiliensis. Soluble worm antigen had no effect in naive rats, but when it was given intraduodenally or intravenously to primed rats, the serum levels of RMCPII 1 hr later were 10.5 micrograms/ml and 122 micrograms/ml, respectively. Few morphological changes were detected in MMC following worm challenge and the jejunal content of RMCPII was unaltered. A substantial reduction in the number of MMC occurred following intravenous injection of worm antigen, and the remaining cells were vacuolated and pale-staining, although granule exocytosis was not observed. Significant reduction in the jejunal content of RMCPII was also evident. These results demonstrate, unequivocally, that MMC are activated in response to N. brasiliensis challenge infection or to parasite antigens. In addition, the ability to detect secreted RMCPII in the sera of test animals provides a highly sensitive and uniquely selective assay to determine the participation of MMC in pathological reactions at mucosal surfaces.

摘要

通过灵敏的酶联免疫吸附测定法(ELISA),检测了未致敏和已致敏大鼠感染巴西日圆线虫后血清中大鼠肥大细胞蛋白酶II(RMCPII)的全身分泌情况。RMCPII是大鼠黏膜肥大细胞(MMC)的主要产物。在已致敏大鼠中,RMCPII的全身分泌具有时间和剂量依赖性(攻击后1小时,血清中RMCPII为1 - 3微克/毫升)。用5日龄幼虫经十二指肠攻击后,未致敏大鼠中RMCPII的全身释放较慢且不明显。用4日龄巴西日圆线虫攻击未致敏大鼠,其血清中未检测到RMCPII。可溶性虫抗原对未致敏大鼠无影响,但经十二指肠或静脉给予已致敏大鼠时,1小时后血清中RMCPII水平分别为10.5微克/毫升和122微克/毫升。蠕虫攻击后,MMC几乎未检测到形态变化,空肠中RMCPII含量未改变。静脉注射蠕虫抗原后,MMC数量大幅减少,剩余细胞出现空泡化且染色变淡,尽管未观察到颗粒胞吐现象。空肠中RMCPII含量也明显降低。这些结果明确表明,MMC在应对巴西日圆线虫攻击感染或寄生虫抗原时被激活。此外,检测受试动物血清中分泌的RMCPII的能力,为确定MMC在黏膜表面病理反应中的参与情况提供了一种高度灵敏且独特的选择性检测方法。

https://cdn.ncbi.nlm.nih.gov/pmc/blobs/74dc/1454277/e7f136a30617/immunology00216-0060-a.jpg

文献检索

告别复杂PubMed语法,用中文像聊天一样搜索,搜遍4000万医学文献。AI智能推荐,让科研检索更轻松。

立即免费搜索

文件翻译

保留排版,准确专业,支持PDF/Word/PPT等文件格式,支持 12+语言互译。

免费翻译文档

深度研究

AI帮你快速写综述,25分钟生成高质量综述,智能提取关键信息,辅助科研写作。

立即免费体验