Suppr超能文献

Evaluation of the Ca 1 antibody in the diagnosis of invasive breast cancer.

作者信息

Clough D G, Coghill G R, Holley M P

出版信息

J Clin Pathol. 1984 Jan;37(1):10-3. doi: 10.1136/jcp.37.1.10.

Abstract

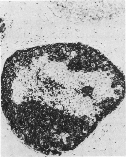
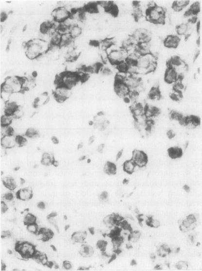
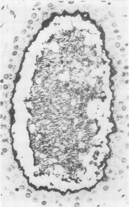
An evaluation of Ca 1 antibody staining was performed on paraffin sections from 136 breast lesions (64 benign and 72 malignant). Although cytoplasmic staining was encountered significantly more often in malignant lesions, the false negative rate was 6.9% and the false positive rate 56.2%. Benign lesions which showed positive staining included gynaecomastia, cystic mastopathy and fibroadenomata. Various other monoclonal antibodies showed staining similar to Ca 1 antibody. Ca 1 antibody was observed to bind to epithelial membrane antigen-coated sepharose beads.

摘要
https://cdn.ncbi.nlm.nih.gov/pmc/blobs/c957/498609/b2f0cf6b198b/jclinpath00172-0020-a.jpg

相似文献

1
Evaluation of the Ca 1 antibody in the diagnosis of invasive breast cancer.
J Clin Pathol. 1984 Jan;37(1):10-3. doi: 10.1136/jcp.37.1.10.
5
Hybridoma antibody to breast cancer immune complexes.
Hybridoma. 1982;1(3):275-82. doi: 10.1089/hyb.1.1982.1.275.

文献AI研究员

20分钟写一篇综述,助力文献阅读效率提升50倍。

立即体验

用中文搜PubMed

大模型驱动的PubMed中文搜索引擎

马上搜索

文档翻译

学术文献翻译模型,支持多种主流文档格式。

立即体验