Suppr超能文献

通过免疫过氧化物酶、免疫荧光和免疫电子显微镜对乳腺组织中的钙和HMFG2抗原进行定位。

Localisation of Ca and HMFG2 antigens in breast tissue by immunoperoxidase, immunofluorescence, and immunoelectron microscopy.

作者信息

Beckford U, Barbatis C, Beesley J E, Linsell J C, Chantler S M

出版信息

J Clin Pathol. 1985 May;38(5):512-20. doi: 10.1136/jcp.38.5.512.

Abstract

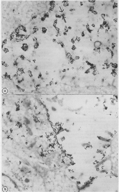
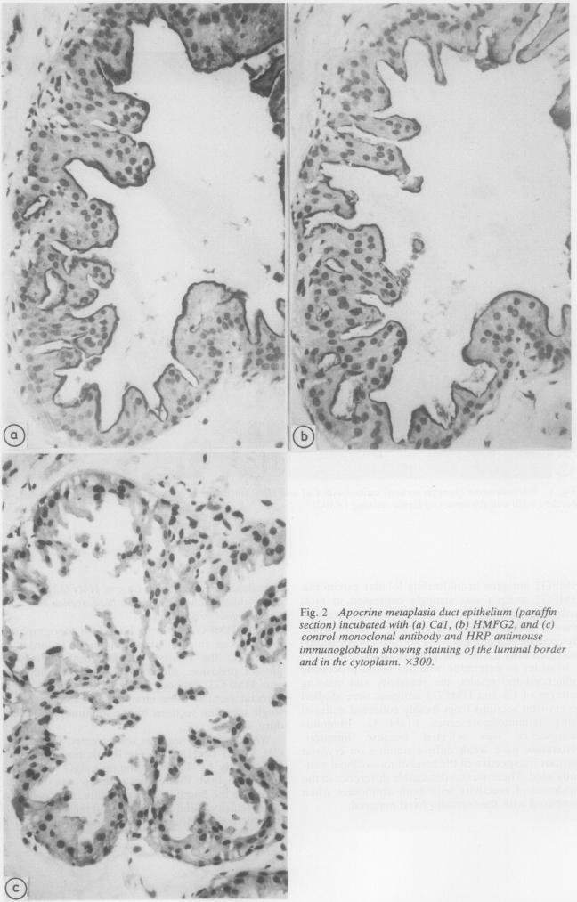
The reactivities of Ca1 and HMFG2 monoclonal antibodies were compared on paraffin wax embedded breast tissues using indirect immunoperoxidase. The expression of Ca antigen, like HMFG2, is not exclusive to malignancy: Ca was present in 41/53 (77%) and HMFG2 in 42/53 (79.2%) non-malignant conditions and both were present in 33/35 (94%) carcinomas. Similar results were obtained when cryostat sections were used. Both antigens showed striking similarities in their topographical distributions, although quantitative differences were seen. Their cellular and sub-cellular localisations were investigated by double labelling immunofluorescence and immunogold electron microscopy, which showed that the expression of Ca and HMFG2 antigens was closely associated on cell membranes but that the epitopes were distinct.

摘要

使用间接免疫过氧化物酶法,在石蜡包埋的乳腺组织上比较了Ca1和HMFG2单克隆抗体的反应性。与HMFG2一样,Ca抗原的表达并非恶性肿瘤所特有:在41/53(77%)的非恶性病变中存在Ca,在42/53(79.2%)的非恶性病变中存在HMFG2,在33/35(94%)的癌组织中两者均存在。当使用冰冻切片时也获得了类似结果。尽管存在数量差异,但两种抗原在其拓扑分布上显示出惊人的相似性。通过双重标记免疫荧光和免疫金电子显微镜研究了它们的细胞和亚细胞定位,结果表明Ca和HMFG2抗原的表达在细胞膜上密切相关,但表位是不同的。

https://cdn.ncbi.nlm.nih.gov/pmc/blobs/c909/499200/47e0b93ea6a4/jclinpath00188-0036-a.jpg

文献检索

告别复杂PubMed语法,用中文像聊天一样搜索,搜遍4000万医学文献。AI智能推荐,让科研检索更轻松。

立即免费搜索

文件翻译

保留排版,准确专业,支持PDF/Word/PPT等文件格式,支持 12+语言互译。

免费翻译文档

深度研究

AI帮你快速写综述,25分钟生成高质量综述,智能提取关键信息,辅助科研写作。

立即免费体验