Suppr超能文献

腺泡内肺静脉的超微结构变化。与3-甲基吲哚诱导的牛急性肺水肿及肺动脉变化的关系。

Ultrastructural changes in intraacinar pulmonary veins. Relationship to 3-methylindole-induced acute pulmonary edema and pulmonary arterial changes in cattle.

作者信息

Atwal O S, Persofsky M S

出版信息

Am J Pathol. 1984 Mar;114(3):472-86.

Abstract

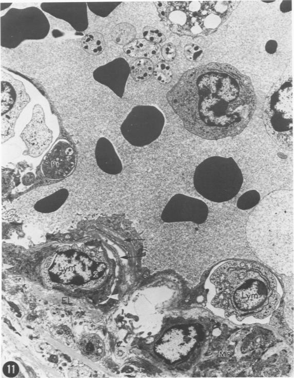
In 3-methylindole (3MI)-treated cattle electron-microscopic examination of intrapulmonary arteries showed changes of an arteritis which could be related to pulmonary hypertension. To further elaborate on this concept, the present study describes the ultrastructural pathology of intraacinar pulmonary veins in cattle 72 hours after oral administration of 3MI. The changes include significant thickening of the muscular pads of the media, massive glycogen accumulation in the venous smooth muscle cells, proliferation of the myointimal cells, focal protrusion of cytoplasmic portion of a smooth muscle cell into an adjacent cell body suggestive of vasoconstriction and emigration of lymphocytes and platelets through the vascular wall. The experimental data are discussed in relation to the ultrastructural pathology of intraacinar pulmonary arteries and acute pulmonary edema. The authors further present evidence that 3MI acute pneumotoxicosis is also associated with drastic vascular changes which may signify sudden elevation in arterial and venous pressures in the pulmonary system of cattle.

摘要

在3-甲基吲哚(3MI)处理的牛中,肺内动脉的电子显微镜检查显示出一种动脉炎的变化,这可能与肺动脉高压有关。为了进一步阐述这一概念,本研究描述了口服3MI 72小时后牛腺泡内肺静脉的超微结构病理学。这些变化包括中膜肌垫显著增厚、静脉平滑肌细胞大量糖原积累、肌内膜细胞增殖、平滑肌细胞胞质部分向相邻细胞体的局灶性突出提示血管收缩以及淋巴细胞和血小板通过血管壁移出。结合腺泡内肺动脉的超微结构病理学和急性肺水肿对实验数据进行了讨论。作者进一步提供证据表明,3MI急性肺中毒也与剧烈的血管变化有关,这可能意味着牛肺系统中动脉和静脉压力的突然升高。

https://cdn.ncbi.nlm.nih.gov/pmc/blobs/ebe4/1900427/44c3ecaa582c/amjpathol00186-0130-a.jpg

文献AI研究员

20分钟写一篇综述,助力文献阅读效率提升50倍。

立即体验

用中文搜PubMed

大模型驱动的PubMed中文搜索引擎

马上搜索

文档翻译

学术文献翻译模型,支持多种主流文档格式。

立即体验