Suppr超能文献

法布里病的光镜和电镜组织化学

Light- and electron-microscopic histochemistry of Fabry's disease.

作者信息

Faraggiana T, Churg J, Grishman E, Strauss L, Prado A, Bishop D F, Schuchman E, Desnick R J

出版信息

Am J Pathol. 1981 May;103(2):247-62.

Abstract

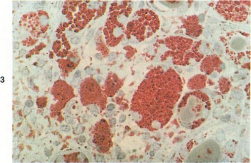
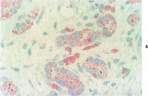
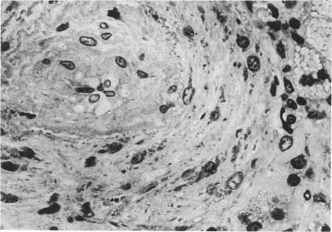
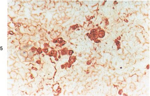
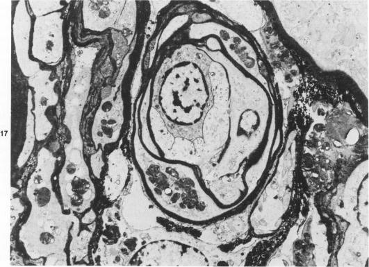
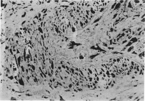
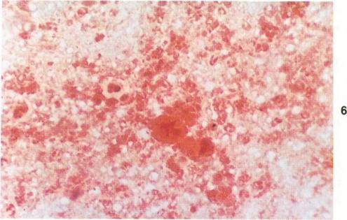
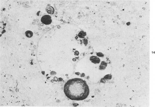
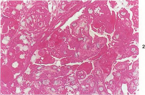
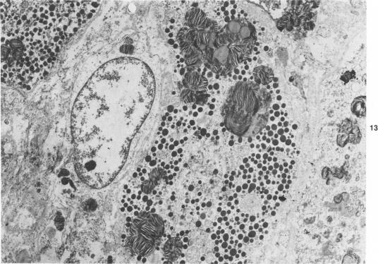
A histochemical study was performed on light- and electron-microscopic level in a case of Fabry's disease. The patient underwent kidney transplantation for renal failure and died of heart failure 6 months later. Patient's tissues were studied at the light- and electron-microscopic levels with various embedding and staining techniques for lipids and carbohydrates. Two peroxidase-labeled lectins (from Ricinus communis and from Bandeiraea simplicifolia) known to have affinity for alpha- and beta-D-galactose, were strongly reactive with the storage material on frozen sections. The ultrahistochemical and extraction tests showed that the typical granules had a variable reactivity and morphologic characteristics in different cells, probably reflecting different composition. A small number of typical deposits were also observed in the transplanted kidney. This is the first reported case of recurrence of the storage disease in the allograft. Of interest was also the fact that the patient's blood inhibited normal alpha-galactosidase activity, suggesting a possible inhibitor-related mechanism in the pathogenesis of the recurrence.

摘要

对一例法布里病患者进行了光镜和电镜水平的组织化学研究。该患者因肾衰竭接受了肾移植,6个月后死于心力衰竭。采用多种脂质和碳水化合物包埋及染色技术,在光镜和电镜水平对患者组织进行研究。两种已知对α-和β-D-半乳糖有亲和力的过氧化物酶标记凝集素(来自蓖麻和单叶豆),在冰冻切片上与储存物质有强烈反应。超组织化学和提取试验表明,典型颗粒在不同细胞中有可变的反应性和形态特征,可能反映了不同的组成。在移植肾中也观察到少量典型沉积物。这是首次报道的同种异体移植中储存疾病复发的病例。同样有趣的是,患者血液抑制了正常的α-半乳糖苷酶活性,提示复发发病机制中可能存在与抑制剂相关的机制。

https://cdn.ncbi.nlm.nih.gov/pmc/blobs/5f58/1903824/a909dc71e182/amjpathol00218-0092-a.jpg

文献检索

告别复杂PubMed语法,用中文像聊天一样搜索,搜遍4000万医学文献。AI智能推荐,让科研检索更轻松。

立即免费搜索

文件翻译

保留排版,准确专业,支持PDF/Word/PPT等文件格式,支持 12+语言互译。

免费翻译文档

深度研究

AI帮你快速写综述,25分钟生成高质量综述,智能提取关键信息,辅助科研写作。

立即免费体验