Suppr超能文献

小鼠精母细胞减数分裂前间期的联会复合体。

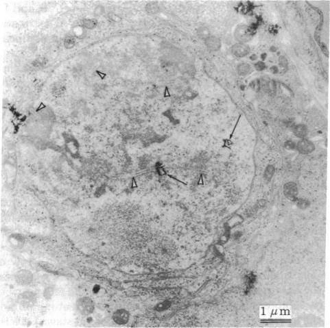
Synaptonemal complexes at premeiotic interphase in the mouse spermatocyte.

作者信息

Grell R F, Oakberg E F, Generoso E E

出版信息

Proc Natl Acad Sci U S A. 1980 Nov;77(11):6720-3. doi: 10.1073/pnas.77.11.6720.

Abstract

Male mice were injected intraperitoneally with 125 microCi (1 Ci = 3.7 X 10(10) becquerels) of [3H]thymidine at 1-hr intervals and killed 1 hr after the second injection. Testes were prepared for bright-field and electron microscopic autoradiography. Primary spermatocytes, identified by light microscopy to be at the premeiotic interphase stage, were found to be heavily labeled. Electron microscopic examination disclosed the coincidental occurrence of synaptonemal complexes and label within the nuclei of premeiotic interphase spermatocytes, indicating synapses of homologues had begun during the S phase. The significance of this finding for the traditional view of meiosis is discussed.

摘要

雄性小鼠每隔1小时腹腔注射125微居里(1居里 = 3.7×10¹⁰贝可勒尔)的[³H]胸腺嘧啶核苷,在第二次注射后1小时处死。制备睾丸用于明场和电子显微镜放射自显影。通过光学显微镜鉴定为处于减数分裂前间期阶段的初级精母细胞被发现有大量标记。电子显微镜检查显示,在减数分裂前间期精母细胞的细胞核内,联会复合体与标记同时出现,这表明同源染色体的联会在S期就已开始。本文讨论了这一发现对传统减数分裂观点的意义。

https://cdn.ncbi.nlm.nih.gov/pmc/blobs/10ae/350360/7a8ae3a10de9/pnas00498-0474-a.jpg

文献检索

告别复杂PubMed语法,用中文像聊天一样搜索,搜遍4000万医学文献。AI智能推荐,让科研检索更轻松。

立即免费搜索

文件翻译

保留排版,准确专业,支持PDF/Word/PPT等文件格式,支持 12+语言互译。

免费翻译文档

深度研究

AI帮你快速写综述,25分钟生成高质量综述,智能提取关键信息,辅助科研写作。

立即免费体验