• 文献检索
  • 文档翻译
  • 深度研究
  • 学术资讯
  • Suppr Zotero 插件Zotero 插件
  • 邀请有礼
  • 套餐&价格
  • 历史记录
应用&插件
Suppr Zotero 插件Zotero 插件浏览器插件Mac 客户端Windows 客户端微信小程序
定价
高级版会员购买积分包购买API积分包
服务
文献检索文档翻译深度研究API 文档MCP 服务
关于我们
关于 Suppr公司介绍联系我们用户协议隐私条款
关注我们

Suppr 超能文献

核心技术专利:CN118964589B侵权必究
粤ICP备2023148730 号-1Suppr @ 2026

文献检索

告别复杂PubMed语法,用中文像聊天一样搜索,搜遍4000万医学文献。AI智能推荐,让科研检索更轻松。

立即免费搜索

文件翻译

保留排版,准确专业,支持PDF/Word/PPT等文件格式,支持 12+语言互译。

免费翻译文档

深度研究

AI帮你快速写综述,25分钟生成高质量综述,智能提取关键信息,辅助科研写作。

立即免费体验

乙酰胆碱在调节肠道离子转运中作用的定位

Localization of the effect of acetylcholine in regulating intestinal ion transport.

作者信息

Browning J G, Hardcastle J, Hardcastle P T, Redfern J S

出版信息

J Physiol. 1978 Aug;281:15-27. doi: 10.1113/jphysiol.1978.sp012406.

DOI:10.1113/jphysiol.1978.sp012406
PMID:702364
原文链接:https://pmc.ncbi.nlm.nih.gov/articles/PMC1282681/
Abstract
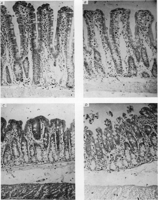
  1. The location of the site involved in the secretory response of rat jejunum and colon to ACh was investigated by selectively damaging either the villi of the jejunum and the surface epithelium of the colon or the crypts. 2. The secretory response induced by ACh was measured both in terms of changes in electrical activity and chloride fluxes. 3. Exposure of the mucosa to 2 M-Na2SO4 for 30 min selectively damaged the jejunal villi and colonic surface epithelium but did not reduce the increased potential difference and current generated by ACh. 4. When resistance changes were taken into account the colonic response was markedly increased after Na2SO4 treatment although the jejunal response was unchanged. Under control conditions ACh reduced net Na absorption and stimulated Cl secretion by the colon. After exposure to Na2SO4 only the Cl secretory component of the ACh response remained, thus accounting for the enhanced effect. 5. Cycloheximide, administered I.V. at a dose of 12 mg/kg, damaged the crypts after 2 hr without affecting the villi of the jejunum or the surface epithelium of the colon. After cycloheximide treatment the increased potential difference, current and net Cl secretion induced by ACh were significantly reduced. 6. The crypts therefore appear to be the site primarily involved in the secretory response of rat jejunum and colon to ACh, although in the colon an inhibitory effect on the Na transport process located in the surface epithelium was observed.
摘要
  1. 通过选择性损伤大鼠空肠绒毛和结肠表面上皮或隐窝,研究了大鼠空肠和结肠对乙酰胆碱分泌反应所涉及部位的位置。2. 根据电活动变化和氯离子通量来测量乙酰胆碱诱导的分泌反应。3. 将黏膜暴露于2M - Na2SO4 30分钟可选择性损伤空肠绒毛和结肠表面上皮,但不会降低乙酰胆碱产生的增加的电位差和电流。4. 考虑到电阻变化,尽管空肠反应未改变,但结肠反应在Na2SO4处理后明显增强。在对照条件下,乙酰胆碱减少结肠的净钠吸收并刺激氯分泌。暴露于Na2SO4后,乙酰胆碱反应中仅保留氯分泌成分,从而解释了增强的效应。5. 以12mg/kg的剂量静脉注射环己酰亚胺,2小时后损伤隐窝,而不影响空肠绒毛或结肠表面上皮。环己酰亚胺处理后,乙酰胆碱诱导的增加的电位差、电流和净氯分泌显著降低。6. 因此,隐窝似乎是大鼠空肠和结肠对乙酰胆碱分泌反应的主要涉及部位,尽管在结肠中观察到对位于表面上皮的钠转运过程有抑制作用。
https://cdn.ncbi.nlm.nih.gov/pmc/blobs/c08c/1282681/4c5ce0007d31/jphysiol00764-0036-a.jpg
https://cdn.ncbi.nlm.nih.gov/pmc/blobs/c08c/1282681/1f2d387920d9/jphysiol00764-0034-a.jpg
https://cdn.ncbi.nlm.nih.gov/pmc/blobs/c08c/1282681/69a3b97fab60/jphysiol00764-0035-a.jpg
https://cdn.ncbi.nlm.nih.gov/pmc/blobs/c08c/1282681/4c5ce0007d31/jphysiol00764-0036-a.jpg
https://cdn.ncbi.nlm.nih.gov/pmc/blobs/c08c/1282681/1f2d387920d9/jphysiol00764-0034-a.jpg
https://cdn.ncbi.nlm.nih.gov/pmc/blobs/c08c/1282681/69a3b97fab60/jphysiol00764-0035-a.jpg
https://cdn.ncbi.nlm.nih.gov/pmc/blobs/c08c/1282681/4c5ce0007d31/jphysiol00764-0036-a.jpg

相似文献

1
Localization of the effect of acetylcholine in regulating intestinal ion transport.乙酰胆碱在调节肠道离子转运中作用的定位
J Physiol. 1978 Aug;281:15-27. doi: 10.1113/jphysiol.1978.sp012406.
2
Effects of sugar and amino acid transport on transepithelial fluxes of sodium and chloride of short circuited rat jejunum.糖和氨基酸转运对短路大鼠空肠钠和氯跨上皮通量的影响。
J Physiol. 1972 Jun;223(3):699-717. doi: 10.1113/jphysiol.1972.sp009870.
3
Effect of sorbin on electrolyte transport in rat and human intestine.山梨醇对大鼠和人体肠道电解质转运的影响。
Am J Physiol. 1999 Jan;276(1):G107-14. doi: 10.1152/ajpgi.1999.276.1.G107.
4
The role of acetylcholine in the regulation of ion transport by rat colon mucosa.乙酰胆碱在大鼠结肠黏膜离子转运调节中的作用。
J Physiol. 1977 Nov;272(3):737-54. doi: 10.1113/jphysiol.1977.sp012070.
5
Origin of cAMP-dependent Cl- secretion from both crypts and surface epithelia of rat intestine.大鼠肠道隐窝和表面上皮细胞中环磷酸腺苷(cAMP)依赖性氯离子分泌的起源。
Am J Physiol. 1993 May;264(5 Pt 1):C1294-301. doi: 10.1152/ajpcell.1993.264.5.C1294.
6
Cholera toxin-induced small intestinal secretion has a secretory effect on the colon of the rat.霍乱毒素诱导的小肠分泌对大鼠结肠有分泌作用。
Gastroenterology. 1995 Jan;108(1):34-9. doi: 10.1016/0016-5085(95)90005-5.
7
Fasting alters basal and stimulated ion transport in piglet jejunum.禁食会改变仔猪空肠的基础离子转运和刺激后的离子转运。
Am J Physiol. 1994 Jul;267(1 Pt 2):R156-63. doi: 10.1152/ajpregu.1994.267.1.R156.
8
Muscarinic cholinergic regulation of electrogenic chloride secretion in porcine proximal jejunum.毒蕈碱型胆碱能对猪空肠近端电生性氯分泌的调节
J Pharmacol Exp Ther. 1991 May;257(2):908-17.
9
Effect of Senokot on rat intestinal electrolyte transport. Evidence of Ca++ dependence.番泻叶对大鼠肠道电解质转运的影响。钙离子依赖性的证据。
Gastroenterology. 1984 Sep;87(3):503-12.
10
Abolition of Ca2+-mediated intestinal anion secretion and increased stool dehydration in mice lacking the intermediate conductance Ca2+-dependent K+ channel Kcnn4.缺乏中电导钙依赖性钾通道Kcnn4的小鼠中,钙介导的肠道阴离子分泌被消除,粪便脱水增加。
J Physiol. 2007 Sep 1;583(Pt 2):705-17. doi: 10.1113/jphysiol.2007.134387. Epub 2007 Jun 21.

引用本文的文献

1
Tuft cell-derived acetylcholine promotes epithelial chloride secretion and intestinal helminth clearance.微绒毛细胞衍生的乙酰胆碱促进上皮氯离子分泌和肠道寄生虫清除。
Immunity. 2024 Jun 11;57(6):1243-1259.e8. doi: 10.1016/j.immuni.2024.03.023. Epub 2024 May 13.
2
Tuft cell-derived acetylcholine regulates epithelial fluid secretion.簇状细胞衍生的乙酰胆碱调节上皮液体分泌。
bioRxiv. 2023 Mar 22:2023.03.17.533208. doi: 10.1101/2023.03.17.533208.
3
Cholinergic signaling inhibits oxalate transport by human intestinal T84 cells.胆碱能信号抑制人肠道 T84 细胞的草酸盐转运。

本文引用的文献

1
Effect of cycloheximide on the cell cycle of the crypts of the small intestine of the rat.放线菌酮对大鼠小肠隐窝细胞周期的影响。
J Cell Biol. 1967 Dec;35(3):649-58. doi: 10.1083/jcb.35.3.649.
2
Water and solute movement in the small intestine of patients with sprue.口炎性腹泻患者小肠内水和溶质的移动
J Clin Invest. 1967 Mar;46(3):287-98. doi: 10.1172/JCI105531.
3
Short-circuit current and solute transfer by rat jejunum.大鼠空肠的短路电流与溶质转运
Am J Physiol Cell Physiol. 2012 Jan 1;302(1):C46-58. doi: 10.1152/ajpcell.00075.2011. Epub 2011 Sep 28.
4
Muscarinic receptors and ligands in cancer.癌症中的毒蕈碱受体与配体
Am J Physiol Cell Physiol. 2009 Feb;296(2):C221-32. doi: 10.1152/ajpcell.00514.2008. Epub 2008 Nov 26.
5
Cholinergic regulation of epithelial ion transport in the mammalian intestine.哺乳动物肠道上皮离子转运的胆碱能调节。
Br J Pharmacol. 2006 Nov;149(5):463-79. doi: 10.1038/sj.bjp.0706889. Epub 2006 Sep 18.
6
Ion fluxes and electrical characteristics of the short-circuited rat colon in vitro.体外短路大鼠结肠的离子通量和电特性
Pflugers Arch. 1982 Jul;394(1):32-7. doi: 10.1007/BF01108305.
7
In vivo identification of muscarinic receptors on rat colonic epithelial cells. Binding of [3H]-quinuclidinyl benzilate.大鼠结肠上皮细胞毒蕈碱受体的体内鉴定。[3H] - 喹核醇基苯甲酸酯的结合
Naunyn Schmiedebergs Arch Pharmacol. 1982 Apr;319(1):18-21. doi: 10.1007/BF00491472.
8
Hormonal regulation of electrolyte and water transport in the colon.结肠中电解质和水转运的激素调节。
Klin Wochenschr. 1984 Jun 15;62(12):555-63. doi: 10.1007/BF01728173.
9
The effect of barium chloride on intestinal secretion in the rat.氯化钡对大鼠肠道分泌的影响。
J Physiol. 1983 Nov;344:69-80. doi: 10.1113/jphysiol.1983.sp014924.
10
Studies on rat intestinal epithelial cell receptors for serotonin and opiates.大鼠肠道上皮细胞中血清素和阿片受体的研究。
J Physiol. 1983 Feb;335:101-11. doi: 10.1113/jphysiol.1983.sp014522.
J Physiol. 1965 Nov;181(2):410-31. doi: 10.1113/jphysiol.1965.sp007770.
4
Inhibition of cholera toxin action in the rabbit by cycloheximide.放线菌酮对兔霍乱毒素作用的抑制
Gastroenterology. 1969 Mar;56(3):506-11.
5
Electrical potential and short circuit current of an in vitro preparation of rat colon mucosa.大鼠结肠黏膜体外制备物的电势和短路电流
J Physiol. 1968 Feb;194(2):479-94. doi: 10.1113/jphysiol.1968.sp008419.
6
Effects of inhibitors of protein synthesis on structure and function of the crypts of the small intestine.蛋白质合成抑制剂对小肠隐窝结构和功能的影响。
Exp Cell Res. 1971 Mar;65(1):81-93. doi: 10.1016/s0014-4827(71)80052-6.
7
Effect of cycloheximide on unidirectional sodium fluxes in the jejunum after cholera exotoxin exposure.放线菌酮对霍乱毒素暴露后空肠单向钠通量的影响。
Gastroenterology. 1970 Jun;58(6):815-9.
8
Reversal of cholera exotoxin-induced jejunal secretion by cycloheximide.环己酰亚胺对霍乱毒素诱导的空肠分泌的逆转作用。
Johns Hopkins Med J. 1970 May;126(5):258-66.
9
Rabbit cholera: effects of cycloheximide on net water and ion fluxes and transmural electric potentials.兔霍乱:放线菌酮对净水和离子通量及跨壁电势的影响。
Gastroenterology. 1972 Jul;63(1):76-82.
10
[Sensitivity of the intestinal mucosa to circulatory insufficiency].
Schweiz Rundsch Med Prax. 1972 Feb 15;61(7):217-9.