• 文献检索
  • 文档翻译
  • 深度研究
  • 学术资讯
  • Suppr Zotero 插件Zotero 插件
  • 邀请有礼
  • 套餐&价格
  • 历史记录
应用&插件
Suppr Zotero 插件Zotero 插件浏览器插件Mac 客户端Windows 客户端微信小程序
定价
高级版会员购买积分包购买API积分包
服务
文献检索文档翻译深度研究API 文档MCP 服务
关于我们
关于 Suppr公司介绍联系我们用户协议隐私条款
关注我们

Suppr 超能文献

核心技术专利:CN118964589B侵权必究
粤ICP备2023148730 号-1Suppr @ 2026

文献检索

告别复杂PubMed语法,用中文像聊天一样搜索,搜遍4000万医学文献。AI智能推荐,让科研检索更轻松。

立即免费搜索

文件翻译

保留排版,准确专业,支持PDF/Word/PPT等文件格式,支持 12+语言互译。

免费翻译文档

深度研究

AI帮你快速写综述,25分钟生成高质量综述,智能提取关键信息,辅助科研写作。

立即免费体验

暗瘠叶猴(Presbytis obscura)的卵巢形态:卵泡发育与闭锁

Ovarian morphology of the dusky leaf monkey (Presbytis obscura): follicular development and atresia.

作者信息

Burton G J

出版信息

J Anat. 1981 Oct;133(Pt 3):443-58.

PMID:7328049
原文链接:https://pmc.ncbi.nlm.nih.gov/articles/PMC1167615/
Abstract

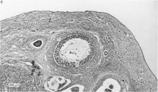
The ovarian morphology and the pattern of follicular development and atresia have been described for the dusky leaf monkey, Presbytis obscura, on the basis of a study of material from 44 female monkeys collected at various stages of the menstrual cycle, pregnancy and lactation. Marked differences were found in the dimensions of many ovarian components between this monkey and the other species of langur previously described. During follicular development the oocyte increased in diameter from 28 micrometer in the primordial follicle to a maximum of 85 micrometer in a pre-ovulatory follicle measuring 8.0 x 4.0 x 7.0 mm. The majority of developing follicles, however, underwent atresia with the theca interna transforming into interstitial tissue. Although present in the follicular phase of the menstrual cycle, this tissue was most pronounced during early pregnancy, at a time when lutealisation also occurred, resulting in the formation of corpora lutea atretica. These findings have been discussed in relation to other catarrhine primates.

摘要

基于对44只处于月经周期、怀孕和哺乳期不同阶段的雌性叶猴的研究材料,已对黑叶猴(Presbytis obscura)的卵巢形态、卵泡发育和闭锁模式进行了描述。在该叶猴与先前描述的其他叶猴物种之间,发现许多卵巢成分的尺寸存在明显差异。在卵泡发育过程中,卵母细胞直径从原始卵泡中的28微米增加到排卵前卵泡(直径8.0×4.0×7.0毫米)中的最大85微米。然而,大多数发育中的卵泡会发生闭锁,卵泡内膜转化为间质组织。尽管该组织存在于月经周期的卵泡期,但在妊娠早期最为明显,此时也会发生黄体化,导致闭锁黄体的形成。已结合其他狭鼻猴灵长类动物对这些发现进行了讨论。

https://cdn.ncbi.nlm.nih.gov/pmc/blobs/a32a/1167615/7cfc75328485/janat00223-0130-c.jpg
https://cdn.ncbi.nlm.nih.gov/pmc/blobs/a32a/1167615/0e4025e0cec6/janat00223-0126-a.jpg
https://cdn.ncbi.nlm.nih.gov/pmc/blobs/a32a/1167615/afe6c6cc64e4/janat00223-0126-b.jpg
https://cdn.ncbi.nlm.nih.gov/pmc/blobs/a32a/1167615/dffa5accab3e/janat00223-0126-c.jpg
https://cdn.ncbi.nlm.nih.gov/pmc/blobs/a32a/1167615/c25373df5bfc/janat00223-0126-d.jpg
https://cdn.ncbi.nlm.nih.gov/pmc/blobs/a32a/1167615/ba74a132829b/janat00223-0128-a.jpg
https://cdn.ncbi.nlm.nih.gov/pmc/blobs/a32a/1167615/69a85b5dc953/janat00223-0128-b.jpg
https://cdn.ncbi.nlm.nih.gov/pmc/blobs/a32a/1167615/697a59794299/janat00223-0128-c.jpg
https://cdn.ncbi.nlm.nih.gov/pmc/blobs/a32a/1167615/c81e39346486/janat00223-0130-a.jpg
https://cdn.ncbi.nlm.nih.gov/pmc/blobs/a32a/1167615/79e30a172314/janat00223-0130-b.jpg
https://cdn.ncbi.nlm.nih.gov/pmc/blobs/a32a/1167615/7cfc75328485/janat00223-0130-c.jpg
https://cdn.ncbi.nlm.nih.gov/pmc/blobs/a32a/1167615/0e4025e0cec6/janat00223-0126-a.jpg
https://cdn.ncbi.nlm.nih.gov/pmc/blobs/a32a/1167615/afe6c6cc64e4/janat00223-0126-b.jpg
https://cdn.ncbi.nlm.nih.gov/pmc/blobs/a32a/1167615/dffa5accab3e/janat00223-0126-c.jpg
https://cdn.ncbi.nlm.nih.gov/pmc/blobs/a32a/1167615/c25373df5bfc/janat00223-0126-d.jpg
https://cdn.ncbi.nlm.nih.gov/pmc/blobs/a32a/1167615/ba74a132829b/janat00223-0128-a.jpg
https://cdn.ncbi.nlm.nih.gov/pmc/blobs/a32a/1167615/69a85b5dc953/janat00223-0128-b.jpg
https://cdn.ncbi.nlm.nih.gov/pmc/blobs/a32a/1167615/697a59794299/janat00223-0128-c.jpg
https://cdn.ncbi.nlm.nih.gov/pmc/blobs/a32a/1167615/c81e39346486/janat00223-0130-a.jpg
https://cdn.ncbi.nlm.nih.gov/pmc/blobs/a32a/1167615/79e30a172314/janat00223-0130-b.jpg
https://cdn.ncbi.nlm.nih.gov/pmc/blobs/a32a/1167615/7cfc75328485/janat00223-0130-c.jpg

相似文献

1
Ovarian morphology of the dusky leaf monkey (Presbytis obscura): follicular development and atresia.暗瘠叶猴(Presbytis obscura)的卵巢形态:卵泡发育与闭锁
J Anat. 1981 Oct;133(Pt 3):443-58.
2
Morphology and histochemistry of ovarian changes in the field rat, Millardia meltada.野生大鼠(Millardia meltada)卵巢变化的形态学与组织化学
Z Mikrosk Anat Forsch. 1979;93(5):959-73.
3
Preantral follicle development during the menstrual cycle in the Macaca mulatta ovary.猕猴卵巢月经周期中的窦前卵泡发育。
Am J Anat. 1983 Apr;166(4):429-43. doi: 10.1002/aja.1001660405.
4
A morphological and immunohistochemical study of healthy and atretic follicles in the ovary of the sexually immature ostrich (Struthio camelus).对未成熟鸵鸟(鸵鸟属)卵巢中健康卵泡和闭锁卵泡的形态学及免疫组织化学研究。
Anat Histol Embryol. 2006 Aug;35(4):253-8. doi: 10.1111/j.1439-0264.2005.00675.x.
5
Changes in ovarian, follicular, and oocyte morphology immediately after the onset of puberty are not accompanied by an increase in oocyte developmental competence in the pig.在猪中,青春期开始后卵巢、卵泡和卵母细胞形态的变化并未伴随着卵母细胞发育能力的提高。
Theriogenology. 2004 Sep 15;62(6):1003-11. doi: 10.1016/j.theriogenology.2003.12.028.
6
Folliculogenesis in the ovary of the mature mouse: a radioautographic study.成熟小鼠卵巢中的卵泡发生:一项放射自显影研究。
Anat Rec. 1976 Apr;184(4):699-709. doi: 10.1002/ar.1091840409.
7
Ovarian histology of the placentotrophic Mabuya mabouya (Squamata, Scincidae).胎盘滋养性马氏 Mabuya mabouya(有鳞目,石龙子科)的卵巢组织学
J Morphol. 2004 Jan;259(1):90-105. doi: 10.1002/jmor.10170.
8
Expression of follicle stimulating hormone and luteinizing hormone receptors during follicular growth in the domestic cat ovary.家猫卵巢卵泡生长过程中促卵泡激素和促黄体生成素受体的表达
Mol Reprod Dev. 2007 Aug;74(8):989-96. doi: 10.1002/mrd.20676.
9
Theca interna: the other side of bovine follicular atresia.卵泡内膜:牛卵泡闭锁的另一面。
Biol Reprod. 2004 Oct;71(4):1071-8. doi: 10.1095/biolreprod.104.029652. Epub 2004 Jun 2.
10
Dynamics of follicular growth and atresia of large follicles during the ovarian cycle of the guinea pig: fate of the degenerating follicles, a quantitative study.豚鼠卵巢周期中大型卵泡的卵泡生长与闭锁动态:退化卵泡的命运,一项定量研究。
Anat Rec. 1995 Sep;243(1):37-48. doi: 10.1002/ar.1092430106.

引用本文的文献

1
Effect of High dose Gonadotropin Stimulation on Follicular Atresia through Light Chain 3B and Voltage Dependent Anion Channel 2.高剂量促性腺激素刺激通过轻链3B和电压依赖性阴离子通道2对卵泡闭锁的影响。
J Hum Reprod Sci. 2022 Oct-Dec;15(4):343-350. doi: 10.4103/jhrs.jhrs_143_22. Epub 2022 Dec 30.
2
The role of FSH and TGF-β superfamily in follicle atresia.促卵泡生成素(FSH)和转化生长因子-β(TGF-β)超家族在卵泡闭锁中的作用。
Aging (Albany NY). 2018 Mar 2;10(3):305-321. doi: 10.18632/aging.101391.

本文引用的文献

1
A QUANTITATIVE AND CYTOLOGICAL STUDY OF GERM CELLS IN HUMAN OVARIES.人类卵巢生殖细胞的定量与细胞学研究。
Proc R Soc Lond B Biol Sci. 1963 Oct 22;158:417-33. doi: 10.1098/rspb.1963.0055.
2
Light microscopy of the endometrium of the dusky leaf-monkey (Presbytis obscura).黑叶猴(Presbytis obscura)子宫内膜的光学显微镜检查。
J Reprod Fertil. 1980 May;59(1):107-11. doi: 10.1530/jrf.0.0590107.
3
Reproductive systems of the North Indian langur (Presbytis entellus entellus Dufresne).
J Morphol. 1971 Sep;135(1):99-129. doi: 10.1002/jmor.1051350107.
4
Studies on menstrual cycles and other related phenomena in the langur (Presbytis entellus entellus).叶猴(长尾叶猴指名亚种)月经周期及其他相关现象的研究。
Folia Primatol (Basel). 1969;11(4):300-14. doi: 10.1159/000155277.
5
Cyclic changes in ovarian morphology during the menstrual cycle in Macaca mulatta.恒河猴月经周期中卵巢形态的周期性变化。
Am J Anat. 1969 Sep;126(1):73-101. doi: 10.1002/aja.1001260107.
6
A quantitative and cytological study of oogenesis in the rhesus monkey.恒河猴卵子发生的定量与细胞学研究
J Anat. 1966 Oct;100(Pt 4):761-76.
7
Comparative morphology of the primate ovary.灵长类动物卵巢的比较形态学
Contrib Primatol. 1974;3:38-81.