O'Driscoll S, O'Driscoll M
Ann Rheum Dis. 1980 Feb;39(1):1-6. doi: 10.1136/ard.39.1.1.
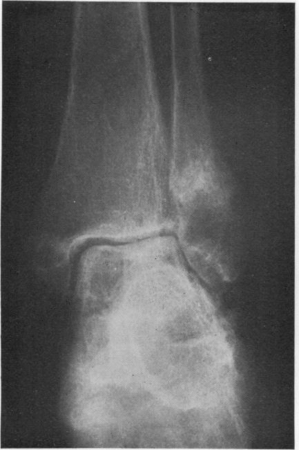
Fifty-four patients with rheumatoid arthritis and severe osteomalacia were found to have considerable bone and general deficiency problems. In 46 of them 14 stress fractures occurred and 32 minimal trauma fractures necessitating admission to hospital. Radiological abnormalities of absorption were found in nearly 25% of the total, implying that dietary factors alone are not always responsible for osteomalacia in patients with rheumatoid arthritis. A high index of suspicion is necessary in the diagnosis of osteomalacia in patients with rheumatoid arthritis, so they may benefit from treatment.