Suppr超能文献

一氧化氮在肿瘤生长中的作用。

Roles of nitric oxide in tumor growth.

作者信息

Jenkins D C, Charles I G, Thomsen L L, Moss D W, Holmes L S, Baylis S A, Rhodes P, Westmore K, Emson P C, Moncada S

机构信息

Wellcome Research Laboratories, Beckenham, Kent, United Kingdom.

出版信息

Proc Natl Acad Sci U S A. 1995 May 9;92(10):4392-6. doi: 10.1073/pnas.92.10.4392.

Abstract

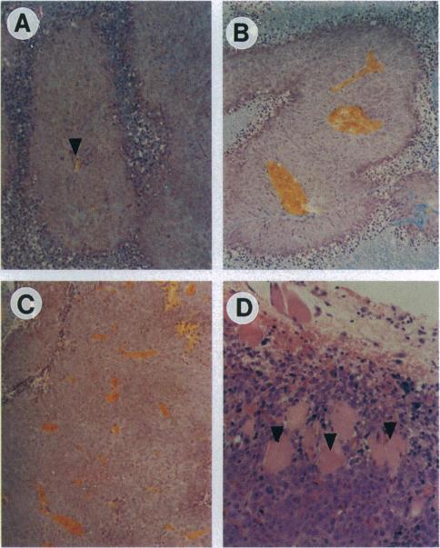
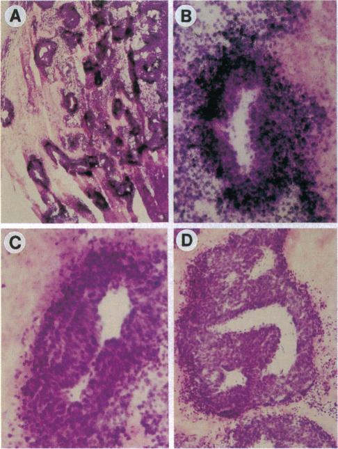
A subclone of the human colon adenocarcinoma cell line DLD-1, which grew reproducibly as subcutaneous tumors in nude mice, was isolated. Such cells, when engineered to generate nitric oxide (NO) continuously, grew more slowly in vitro than the wild-type parental cells. This growth retardation was reversed by the addition of N-iminoethyl-L-ornithine. In nude mice, however, the tumors from these cells grew faster than those derived from wild-type cells and were markedly more vascularized, suggesting that NO may act as part of a signaling cascade for neovascularization. Recent observations that the generation of NO in human breast and gynecological cancers correlates positively with tumor grade are consistent with this hypothesis. We suggest that NO may have a dual pro- and antitumor action, depending on the local concentration of the molecule.

摘要

分离出了人结肠腺癌细胞系DLD-1的一个亚克隆,该亚克隆在裸鼠体内可重复性地生长为皮下肿瘤。当对这些细胞进行基因改造使其持续产生一氧化氮(NO)时,它们在体外的生长速度比野生型亲代细胞慢。添加N-亚氨基乙基-L-鸟氨酸可逆转这种生长迟缓。然而,在裸鼠中,这些细胞形成的肿瘤比野生型细胞形成的肿瘤生长得更快,并且血管化程度明显更高,这表明NO可能作为新血管形成信号级联反应的一部分发挥作用。最近关于人类乳腺癌和妇科癌症中NO的产生与肿瘤分级呈正相关的观察结果与这一假设一致。我们认为,根据该分子的局部浓度,NO可能具有促肿瘤和抗肿瘤的双重作用。

https://cdn.ncbi.nlm.nih.gov/pmc/blobs/5fd6/41950/3b532e1db765/pnas01486-0331-a.jpg

文献检索

告别复杂PubMed语法,用中文像聊天一样搜索,搜遍4000万医学文献。AI智能推荐,让科研检索更轻松。

立即免费搜索

文件翻译

保留排版,准确专业,支持PDF/Word/PPT等文件格式,支持 12+语言互译。

免费翻译文档

深度研究

AI帮你快速写综述,25分钟生成高质量综述,智能提取关键信息,辅助科研写作。

立即免费体验