• 文献检索
  • 文档翻译
  • 深度研究
  • 学术资讯
  • Suppr Zotero 插件Zotero 插件
  • 邀请有礼
  • 套餐&价格
  • 历史记录
应用&插件
Suppr Zotero 插件Zotero 插件浏览器插件Mac 客户端Windows 客户端微信小程序
定价
高级版会员购买积分包购买API积分包
服务
文献检索文档翻译深度研究API 文档MCP 服务
关于我们
关于 Suppr公司介绍联系我们用户协议隐私条款
关注我们

Suppr 超能文献

核心技术专利:CN118964589B侵权必究
粤ICP备2023148730 号-1Suppr @ 2026

文献检索

告别复杂PubMed语法,用中文像聊天一样搜索,搜遍4000万医学文献。AI智能推荐,让科研检索更轻松。

立即免费搜索

文件翻译

保留排版,准确专业,支持PDF/Word/PPT等文件格式,支持 12+语言互译。

免费翻译文档

深度研究

AI帮你快速写综述,25分钟生成高质量综述,智能提取关键信息,辅助科研写作。

立即免费体验

支气管迪厄拉富瓦病

Dieulafoy's disease of the bronchus.

作者信息

Sweerts M, Nicholson A G, Goldstraw P, Corrin B

机构信息

Department of Histopathology, Royal Brompton Hospital, London, UK.

出版信息

Thorax. 1995 Jun;50(6):697-8. doi: 10.1136/thx.50.6.697.

DOI:10.1136/thx.50.6.697
PMID:7638820
原文链接:https://pmc.ncbi.nlm.nih.gov/articles/PMC1021280/
Abstract

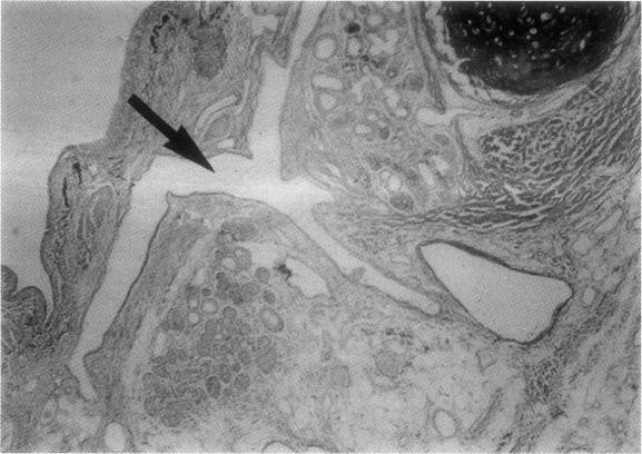
Dieulafoy's vascular malformation has not been described outside the gastrointestinal tract. Two cases are reported in which this vascular abnormality arose in right lower lobe bronchi, both of which presented with massive haemoptysis.

摘要

胃黏膜下恒径动脉破裂出血畸形尚未见发生于胃肠道以外部位的报道。本文报告两例发生于右下叶支气管的该血管异常病例,均表现为大量咯血。

https://cdn.ncbi.nlm.nih.gov/pmc/blobs/4481/1021280/2d6024b1056c/thorax00311-0120-b.jpg
https://cdn.ncbi.nlm.nih.gov/pmc/blobs/4481/1021280/3b242348f9ec/thorax00311-0120-a.jpg
https://cdn.ncbi.nlm.nih.gov/pmc/blobs/4481/1021280/2d6024b1056c/thorax00311-0120-b.jpg
https://cdn.ncbi.nlm.nih.gov/pmc/blobs/4481/1021280/3b242348f9ec/thorax00311-0120-a.jpg
https://cdn.ncbi.nlm.nih.gov/pmc/blobs/4481/1021280/2d6024b1056c/thorax00311-0120-b.jpg

相似文献

1
Dieulafoy's disease of the bronchus.支气管迪厄拉富瓦病
Thorax. 1995 Jun;50(6):697-8. doi: 10.1136/thx.50.6.697.
2
Dieulafoy's disease: a cause of massive hemoptysis that is probably underdiagnosed.迪厄拉富瓦病:一种可能未被充分诊断的大量咯血病因。
Ann Thorac Surg. 2005 Sep;80(3):1126-8. doi: 10.1016/j.athoracsur.2004.02.118.
3
Recurrent Hemoptysis: A Bronchial Dieulafoy's Lesion in a Pediatric Patient.复发性咯血:小儿患者的支气管 Dieulafoy 病变。
Ann Otol Rhinol Laryngol. 2021 May;130(5):528-531. doi: 10.1177/0003489420962132. Epub 2020 Oct 7.
4
A rare and fatal respiratory disease: bronchial Dieulafoy's disease.一种罕见且致命的呼吸系统疾病:支气管黏膜下恒径动脉破裂。
Ther Adv Respir Dis. 2020 Jan-Dec;14:1753466620929236. doi: 10.1177/1753466620929236.
5
Dieulafoy's disease of the bronchus: rare but potentially fatal: a case report and a review of literature.支气管黏膜下恒径动脉破裂(Dieulafoy 病):罕见但潜在致命——1 例病例报告及文献复习
J Cardiothorac Surg. 2023 Jul 4;18(1):207. doi: 10.1186/s13019-023-02242-0.
6
[Dieulafoy's disease of the bronchus: a case report and review of the literature].[支气管迪厄拉富瓦病:一例报告并文献复习]
Zhonghua Jie He He Hu Xi Za Zhi. 2006 Dec;29(12):801-3.
7
Dieulafoy's disease of the bronchus in association with a paravertebral neurilemoma.支气管迪厄拉富瓦病合并椎旁神经鞘瘤
Chest. 2001 Jan;119(1):292-4. doi: 10.1378/chest.119.1.292.
8
Fatal haemorrhage from Dieulafoy's disease of the bronchus.支气管迪厄拉富瓦病导致的致命性出血
Thorax. 1999 Feb;54(2):184-5. doi: 10.1136/thx.54.2.184.
9
A case of massive hemoptysis related to a smoking-history: an acquired form of the Dieulafoy's disease?一例与吸烟史相关的大量咯血病例:一种后天性的Dieulafoy病?
Rev Port Pneumol (2006). 2015 Sep-Oct;21(5):276-9. doi: 10.1016/j.rppnen.2015.06.010. Epub 2015 Jul 27.
10
A case report and review of literature of Dieulafoy's disease of bronchus: A rare life-threatening pathologic vascular condition.支气管迪厄拉富瓦病的病例报告及文献综述:一种罕见的危及生命的病理性血管疾病。
Medicine (Baltimore). 2019 Feb;98(7):e14471. doi: 10.1097/MD.0000000000014471.

引用本文的文献

1
Uncovering the culprit of recurrent hemoptysis: A case report of bronchial Dieulafoy disease.揭示反复咯血的元凶:一例支气管迪厄拉富瓦病病例报告
Medicine (Baltimore). 2025 Mar 14;104(11):e41787. doi: 10.1097/MD.0000000000041787.
2
Hemoptysis caused by bronchial artery-pulmonary artery fistula complicated with Dieulafoy disease: A case report.支气管动脉-肺动脉瘘合并迪厄拉富瓦病所致咯血:一例报告
Respirol Case Rep. 2024 Dec 3;12(12):e70075. doi: 10.1002/rcr2.70075. eCollection 2024 Dec.
3
Bronchial Dieulafoy's disease: A series of seven cases with review of the literature.

本文引用的文献

1
The caliber persistent artery of the stomach: a unifying approach to gastric aneurysm, Dieulafoy's lesion, and submucosal arterial malformation.
Hum Pathol. 1988 Aug;19(8):914-21. doi: 10.1016/s0046-8177(88)80006-6.
2
Dieulafoy's vascular malformation as a cause of large intestinal bleeding.杜氏血管畸形作为大肠出血的一个病因。
J Clin Pathol. 1992 Apr;45(4):363-6. doi: 10.1136/jcp.45.4.363.
支气管迪厄拉富瓦病:七例病例系列并文献复习
Respirol Case Rep. 2024 Jun 24;12(6):e01411. doi: 10.1002/rcr2.1411. eCollection 2024 Jun.
4
Massive hemoptysis in pregnancy treated by ECMO combined with electronic bronchoscopy: A case report.体外膜肺氧合联合电子支气管镜治疗妊娠合并大量咯血:一例报告
Heliyon. 2023 Dec 14;10(1):e23702. doi: 10.1016/j.heliyon.2023.e23702. eCollection 2024 Jan 15.
5
Dieulafoy's disease of the bronchus: rare but potentially fatal: a case report and a review of literature.支气管黏膜下恒径动脉破裂(Dieulafoy 病):罕见但潜在致命——1 例病例报告及文献复习
J Cardiothorac Surg. 2023 Jul 4;18(1):207. doi: 10.1186/s13019-023-02242-0.
6
A case of bronchial Dieulafoy disease and literature review.支气管黏膜下恒径动脉破裂出血 1 例并文献复习
J Cardiothorac Surg. 2023 Jun 27;18(1):197. doi: 10.1186/s13019-023-02279-1.
7
Pediatric bronchial Dieulafoy's disease with bronchial artery embolization: two case reports.小儿支气管迪厄拉富瓦病行支气管动脉栓塞术:两例报告
Transl Pediatr. 2023 Jan 31;12(1):79-85. doi: 10.21037/tp-22-294. Epub 2023 Jan 11.
8
Hemorrhage in a patient with Bronchial Dieulafoy's disease and associated pulmonary fibrosis: A case report.支气管迪厄拉富瓦病合并肺纤维化患者出血:一例报告。
Respir Med Case Rep. 2022 Oct 25;40:101756. doi: 10.1016/j.rmcr.2022.101756. eCollection 2022.
9
Research advances in Dieulafoy's disease of the bronchus (Review).支气管迪厄拉富瓦病的研究进展(综述)
Exp Ther Med. 2022 Jan;23(1):100. doi: 10.3892/etm.2021.11023. Epub 2021 Dec 1.
10
Case Report: A Case of Infant Bronchial Dieulafoy's Disease and Article Review.病例报告:一例婴儿支气管迪厄拉富瓦病及文献综述
Front Pediatr. 2021 Sep 15;9:674509. doi: 10.3389/fped.2021.674509. eCollection 2021.