Suppr超能文献

由硕大利什曼原虫引起的人类皮肤利什曼病中的抗原呈递细胞

Antigen-presenting cells in human cutaneous leishmaniasis due to Leishmania major.

作者信息

ElHassan A M, Gaafar A, Theander T G

机构信息

Institute of Endemic Diseases, University of Khartoum, Sudan.

出版信息

Clin Exp Immunol. 1995 Mar;99(3):445-53. doi: 10.1111/j.1365-2249.1995.tb05571.x.

Abstract

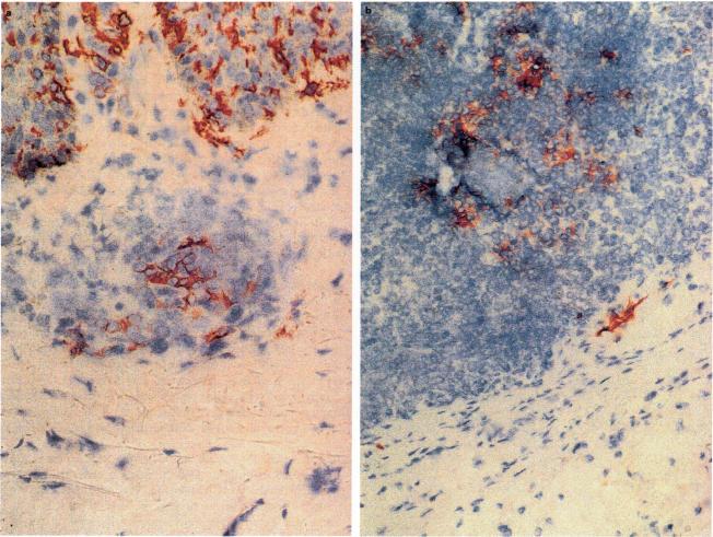
In this study biopsies from skin lesions and draining lymph nodes of patients suffering from cutaneous leishmaniasis caused by Leishmania major were examined by immunohistochemistry, and by light and electron microscopy to identify the types of antigen-presenting cells (APC) and their location. APC, identified morphologically and by their expression of specific cell markers, included Langerhans cells, macrophages, follicular dendritic cells, and interdigitating reticulum cells of the paracortex of lymph nodes. These cells expressed MHC class II antigens and contained Leishmania antigen. Since some keratinocytes and endothelial cells also showed these characteristics, they may also act as APC. By examining tissue samples from skin lesions and draining lymph nodes it was possible to follow the probable route of trafficking of various inflammatory cells between the skin lesion and lymph nodes. Leishmania antigen containing Langerhans cells were found in the epidermis, dermis and the regional lymph nodes. We believe these cells translocate from the epidermis to the dermis, where they take up antigen and migrate to the paracortex of the regional lymph nodes. There they are intimately associated with cells of the paracortex, and could be involved in the generation of Leishmania-specific T memory cells. LFA-1-positive T cells of the CD45RO phenotype were found in the skin lesion. Venular endothelium in the skin lesions expressed intercellular adhesion molecule-1 (ICAM-1), which is the ligand for LFA-1. The migration of lymphocytes from the vascular lumen to the site of inflammation is possibly a result of the interaction of these two adhesion molecules.

摘要

在本研究中,对由硕大利什曼原虫引起的皮肤利什曼病患者的皮肤病变和引流淋巴结活检组织进行了免疫组织化学检查,并通过光镜和电镜来确定抗原呈递细胞(APC)的类型及其位置。通过形态学鉴定和特定细胞标志物的表达来确定的APC包括朗格汉斯细胞、巨噬细胞、滤泡树突状细胞以及淋巴结副皮质区的交错突网状细胞。这些细胞表达MHCⅡ类抗原并含有利什曼原虫抗原。由于一些角质形成细胞和内皮细胞也表现出这些特征,它们也可能充当APC。通过检查皮肤病变和引流淋巴结的组织样本,有可能追踪各种炎症细胞在皮肤病变和淋巴结之间可能的游走途径。在表皮、真皮和区域淋巴结中发现了含有利什曼原虫抗原的朗格汉斯细胞。我们认为这些细胞从表皮转移至真皮,在那里摄取抗原并迁移至区域淋巴结的副皮质区。在那里它们与副皮质区的细胞密切相关,并可能参与利什曼原虫特异性T记忆细胞的产生。在皮肤病变中发现了CD45RO表型的LFA-1阳性T细胞。皮肤病变中的小静脉内皮表达细胞间黏附分子-1(ICAM-1),它是LFA-1的配体。淋巴细胞从血管腔迁移至炎症部位可能是这两种黏附分子相互作用的结果。

https://cdn.ncbi.nlm.nih.gov/pmc/blobs/3c18/1534205/c4cafed86fbf/clinexpimmunol00013-0139-a.jpg

文献AI研究员

20分钟写一篇综述,助力文献阅读效率提升50倍。

立即体验

用中文搜PubMed

大模型驱动的PubMed中文搜索引擎

马上搜索

文档翻译

学术文献翻译模型,支持多种主流文档格式。

立即体验