Suppr超能文献

参与核糖体移码的逆转录病毒RNA假结的结构与功能研究:两个茎环连接处的核苷酸对有效的核糖体移码很重要。

Structural and functional studies of retroviral RNA pseudoknots involved in ribosomal frameshifting: nucleotides at the junction of the two stems are important for efficient ribosomal frameshifting.

作者信息

Chen X, Chamorro M, Lee S I, Shen L X, Hines J V, Tinoco I, Varmus H E

机构信息

Department of Chemistry, University of California, Berkeley 94720.

出版信息

EMBO J. 1995 Feb 15;14(4):842-52. doi: 10.1002/j.1460-2075.1995.tb07062.x.

Abstract

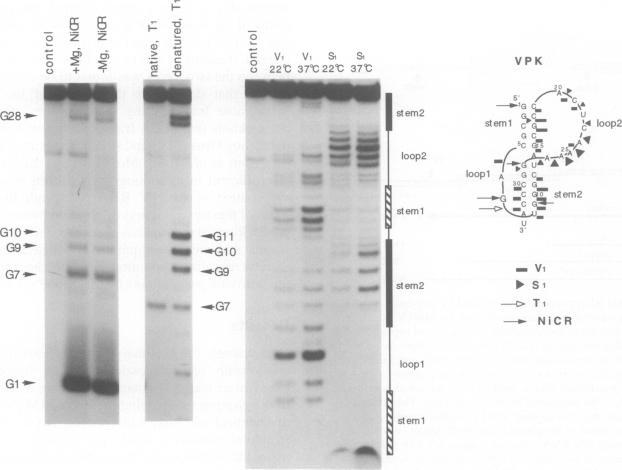
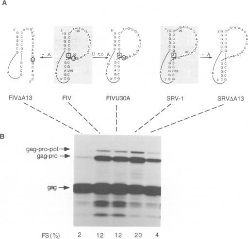
Ribosomal frameshifting, a translational mechanism used during retroviral replication, involves a directed change in reading frame at a specific site at a defined frequency. Such programmed frameshifting at the mouse mammary tumor virus (MMTV) gag-pro shift site requires two mRNA signals: a heptanucleotide shifty sequence and a pseudoknot structure positioned downstream. Using in vitro translation assays and enzymatic and chemical probes for RNA structure, we have defined features of the pseudoknot that promote efficient frameshifting. Heterologous RNA structures, e.g. a hairpin, a tRNA or a synthetic pseudoknot, substituted downstream of the shifty site fail to promote frameshifting, suggesting that specific features of the MMTV pseudoknot are important for function. Site-directed mutations of the MMTV pseudoknot indicate that the pseudoknot junction, including an unpaired adenine nucleotide between the two stems, provides a specific structural determinant for efficient frameshifting. Pseudoknots derived from other retroviruses (i.e. the feline immunodeficiency virus and the simian retrovirus type 1) also promote frameshifting at the MMTV gag-pro shift site, dependent on the same structure at the junction of the two stems.

摘要

核糖体移码是逆转录病毒复制过程中使用的一种翻译机制,涉及在特定频率下特定位点阅读框的定向改变。小鼠乳腺肿瘤病毒(MMTV)gag-pro移码位点处的这种程序性移码需要两个mRNA信号:一个七核苷酸移码序列和一个位于下游的假结结构。使用体外翻译分析以及针对RNA结构的酶学和化学探针,我们确定了促进有效移码的假结特征。在移码位点下游取代的异源RNA结构,如发夹、tRNA或合成假结,均不能促进移码,这表明MMTV假结的特定特征对其功能很重要。MMTV假结的定点突变表明,假结连接点,包括两个茎之间的一个未配对腺嘌呤核苷酸,为有效移码提供了一个特定的结构决定因素。源自其他逆转录病毒(即猫免疫缺陷病毒和猿猴逆转录病毒1型)的假结也能促进MMTV gag-pro移码位点处的移码,这取决于两个茎连接点处的相同结构。

https://cdn.ncbi.nlm.nih.gov/pmc/blobs/4b17/398151/09b7c99ad351/emboj00028-0223-a.jpg

文献检索

告别复杂PubMed语法,用中文像聊天一样搜索,搜遍4000万医学文献。AI智能推荐,让科研检索更轻松。

立即免费搜索

文件翻译

保留排版,准确专业,支持PDF/Word/PPT等文件格式,支持 12+语言互译。

免费翻译文档

深度研究

AI帮你快速写综述,25分钟生成高质量综述,智能提取关键信息,辅助科研写作。

立即免费体验