Suppr超能文献

肾间充质肿瘤细胞及二甲基亚硝胺注射大鼠的转化细胞中与平滑肌相关的收缩蛋白

Smooth-muscle-associated contractile protein in renal mesenchymal tumour cells and in transformed cells from DMN-injected rats.

作者信息

Toh B H, Hard G C, Cauchi M N, Muller H K

出版信息

Br J Cancer. 1976 Nov;34(5):533-45. doi: 10.1038/bjc.1976.208.

Abstract

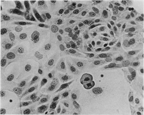
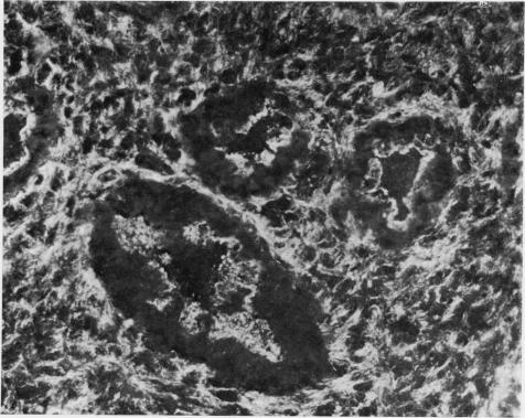
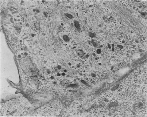
Cryostat sections and established in vitro cultures of dimethylnitrosamine(DMN)-induced renal mesenchymal tumours and monolayer cultures of transformed kidney cells derived from rats treated with a carcinogenic dose of DMN were examined by indirect immunofluorescence with human serum containing smooth muscle antibody. Eight mesenchymal tumours examined showed filamentous cytoplasmic staining of spindle cells infiltrating between renal tubules, whilst in normal kidneys interstitial cells were only weakly positive. In established in vitro cultures from 6 mesenchymal tumours, different patterns of staining were observed in morphologically different cell forms, ranging from fine filamentous staining in giant cells to diffuse cytoplasmic fluorescence in small bipolar cells, and cell outline staining in polygonal cells. In addition filamentous staining of microvillous projections and nucleolar staining were observed in some tumour cells. Monolayer cultures of transformed kidney cells showed strong staining of coarse, randomly-orientated cytoplasmic filaments, whilst fibroblasts cultured from normal rat kidney demonstrated an ordered array of fine, parallel filaments. Specificity of the immunofluorescent staining reaction was established by failure to obtain staining with normal serum, with smooth muscle antibody serum neutralized by homogenates of smooth muscle or extracts containing actin derived from smooth muscle. These results indicate that there is an apparent increase of actin-like contractile microfilaments in transformed cells and in renal mesenchymal tumours. The cytoplasmic contracile microfilaments in these cells may play a role in tumour cell mobility and invasion.

摘要

采用含平滑肌抗体的人血清通过间接免疫荧光法检测了二甲基亚硝胺(DMN)诱导的大鼠肾间充质肿瘤的低温切片和体外培养物,以及用致癌剂量的DMN处理的大鼠来源的转化肾细胞的单层培养物。所检测的8个间充质肿瘤显示,浸润于肾小管之间的梭形细胞的胞质呈丝状染色,而在正常肾脏中,间质细胞仅呈弱阳性。在来自6个间充质肿瘤的体外培养物中,在形态不同的细胞形态中观察到了不同的染色模式,从巨细胞中的细丝状染色到小双极细胞中的弥漫性胞质荧光,以及多角形细胞中的细胞轮廓染色。此外,在一些肿瘤细胞中还观察到微绒毛突起的丝状染色和核仁染色。转化肾细胞的单层培养物显示出粗大、随机排列的胞质细丝的强染色,而从正常大鼠肾脏培养的成纤维细胞则显示出排列有序的细平行细丝。通过用正常血清、被平滑肌匀浆或含平滑肌肌动蛋白提取物中和的平滑肌抗体血清未能获得染色,确定了免疫荧光染色反应的特异性。这些结果表明,在转化细胞和肾间充质肿瘤中,肌动蛋白样收缩微丝明显增加。这些细胞中的胞质收缩微丝可能在肿瘤细胞的迁移和侵袭中起作用。

https://cdn.ncbi.nlm.nih.gov/pmc/blobs/6757/2025212/3c7eadbd948d/brjcancer00308-0072-a.jpg

文献检索

告别复杂PubMed语法,用中文像聊天一样搜索,搜遍4000万医学文献。AI智能推荐,让科研检索更轻松。

立即免费搜索

文件翻译

保留排版,准确专业,支持PDF/Word/PPT等文件格式,支持 12+语言互译。

免费翻译文档

深度研究

AI帮你快速写综述,25分钟生成高质量综述,智能提取关键信息,辅助科研写作。

立即免费体验