Suppr超能文献

肌分化蛋白1(MyoD1)启动子的自身调节由两个近端E盒介导。

MyoD1 promoter autoregulation is mediated by two proximal E-boxes.

作者信息

Zingg J M, Pedraza-Alva G, Jost J P

机构信息

Friedrich Miescher Institut, Basel, Switzerland.

出版信息

Nucleic Acids Res. 1994 Jun 25;22(12):2234-41. doi: 10.1093/nar/22.12.2234.

Abstract

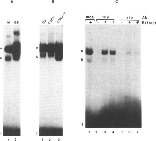
We show that in mouse myoblasts the MyoD1 promoter is highly stimulated by MyoD1 expression, suggesting that it is controlled by a positive feedback loop. Using deletion and mutation analyses, we identified the targets for MyoD1 promoter autoregulation as the two proximal E-boxes located close to the MyoD1 core promoter. Gel mobility shift competition assays with MyoD1 antibodies as competitor suggest that the MyoD1 protein is binding directly to these E-boxes. Autoregulation did not occur in fibroblasts cotransfected with the expression vector of MyoD1. It is assumed that autoregulation is controlled by the stoichiometry between the MyoD1 protein and negatively regulatory proteins like Id, which is known to be highly expressed in fibroblasts. When the MyoD1 promoter was methylated, autoregulation only occurred when the density of methylated sites was low. The density of DNA methylation, therefore, can determine the accessibility of the MyoD1 promoter to transcription factors and interfere with the auto- and crossregulatory loop. The MyoD1 promoter in vivo was found to be only partially methylated in all tissues tested except in skeletal muscle where it was demethylated. We propose that high level expression of the MyoD1 gene is a result of release from constraints such as negative regulatory factors and/or DNA methylation interfering with MyoD1 autoregulation.

摘要

我们发现,在小鼠成肌细胞中,MyoD1启动子受到MyoD1表达的高度刺激,这表明它受正反馈回路控制。通过缺失和突变分析,我们确定MyoD1启动子自调控的靶点是位于MyoD1核心启动子附近的两个近端E盒。以MyoD1抗体作为竞争者的凝胶迁移率变动竞争试验表明,MyoD1蛋白直接结合到这些E盒上。在用MyoD1表达载体共转染的成纤维细胞中未发生自调控。据推测,自调控受MyoD1蛋白与负调控蛋白(如Id)之间化学计量关系的控制,已知Id在成纤维细胞中高表达。当MyoD1启动子甲基化时,只有在甲基化位点密度较低时才会发生自调控。因此,DNA甲基化密度可以决定MyoD1启动子对转录因子的可及性,并干扰自调控和交叉调控回路。除骨骼肌中MyoD1启动子去甲基化外,在所有测试组织中,体内MyoD1启动子仅部分甲基化。我们提出,MyoD1基因的高水平表达是解除诸如负调控因子和/或干扰MyoD1自调控的DNA甲基化等限制的结果。

https://cdn.ncbi.nlm.nih.gov/pmc/blobs/008b/523679/cef9e1e8d87a/nar00036-0064-a.jpg

文献检索

告别复杂PubMed语法,用中文像聊天一样搜索,搜遍4000万医学文献。AI智能推荐,让科研检索更轻松。

立即免费搜索

文件翻译

保留排版,准确专业,支持PDF/Word/PPT等文件格式,支持 12+语言互译。

免费翻译文档

深度研究

AI帮你快速写综述,25分钟生成高质量综述,智能提取关键信息,辅助科研写作。

立即免费体验