Bishop P N, Crossman M V, McLeod D, Ayad S
School of Biological Sciences, University of Manchester, U.K.
Biochem J. 1994 Apr 15;299 ( Pt 2)(Pt 2):497-505. doi: 10.1042/bj2990497.
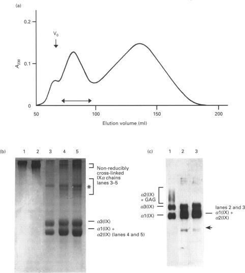
We report for the first time that, after centrifugation of adult bovine vitreous, the hyaluronan-rich supernatant contains collagens which can be isolated in their intact forms by precipitation with 4.5 M NaCl. This precipitate constituted approx. 4% of the total vitreous collagen and comprised collagen types IX and II (in the approximate ratio of 4:1) with negligible amounts of type-V/XI collagen. Type-II collagen was present partly in a pro-alpha 1(II) form, suggesting that there is active synthesis of type-II collagen into the matrix of adult bovine vitreous. Type-IX collagen was purified (2-2.5 mg/l of vitreous) and its glycosaminoglycan chain composition was analysed. Bovine vitreous type-IX collagen always possessed a glycosaminoglycan chain of comparatively low M(r) that was predominantly 4-sulphated, with chondroitin 6-sulphate representing a more minor component. By contrast, chick vitreous has been shown to contain type-IX collagen which always possesses a high-M(r) chondroitin sulphate chain that is predominantly 6-sulphated. The functional significance of these different glycosaminoglycan chain lengths and sulphation patterns is discussed.
我们首次报告,成年牛玻璃体离心后,富含透明质酸的上清液中含有胶原蛋白,这些胶原蛋白可通过用4.5M氯化钠沉淀以完整形式分离出来。该沉淀物约占玻璃体总胶原蛋白的4%,由IX型和II型胶原蛋白组成(比例约为4:1),V/XI型胶原蛋白含量可忽略不计。II型胶原蛋白部分以原α1(II)形式存在,这表明成年牛玻璃体基质中有II型胶原蛋白的活跃合成。IX型胶原蛋白被纯化(每升玻璃体2 - 2.5毫克)并分析了其糖胺聚糖链组成。牛玻璃体IX型胶原蛋白总是具有相对低分子量的糖胺聚糖链,主要为4 - 硫酸化,硫酸软骨素6 - 硫酸酯是次要成分。相比之下,已表明鸡玻璃体含有IX型胶原蛋白,其总是具有高分子量的硫酸软骨素链,主要为6 - 硫酸化。讨论了这些不同糖胺聚糖链长度和硫酸化模式的功能意义。