• 文献检索
  • 文档翻译
  • 深度研究
  • 学术资讯
  • Suppr Zotero 插件Zotero 插件
  • 邀请有礼
  • 套餐&价格
  • 历史记录
应用&插件
Suppr Zotero 插件Zotero 插件浏览器插件Mac 客户端Windows 客户端微信小程序
定价
高级版会员购买积分包购买API积分包
服务
文献检索文档翻译深度研究API 文档MCP 服务
关于我们
关于 Suppr公司介绍联系我们用户协议隐私条款
关注我们

Suppr 超能文献

核心技术专利:CN118964589B侵权必究
粤ICP备2023148730 号-1Suppr @ 2026

文献检索

告别复杂PubMed语法,用中文像聊天一样搜索,搜遍4000万医学文献。AI智能推荐,让科研检索更轻松。

立即免费搜索

文件翻译

保留排版,准确专业,支持PDF/Word/PPT等文件格式,支持 12+语言互译。

免费翻译文档

深度研究

AI帮你快速写综述,25分钟生成高质量综述,智能提取关键信息,辅助科研写作。

立即免费体验

Peroxisomes in the methylotrophic yeast Hansenula polymorpha do not necessarily derive from pre-existing organelles.

作者信息

Waterham H R, Titorenko V I, Swaving G J, Harder W, Veenhuis M

机构信息

Department of Microbiology, University of Groningen, Haren, The Netherlands.

出版信息

EMBO J. 1993 Dec;12(12):4785-94. doi: 10.1002/j.1460-2075.1993.tb06167.x.

DOI:10.1002/j.1460-2075.1993.tb06167.x
PMID:8223487
原文链接:https://pmc.ncbi.nlm.nih.gov/articles/PMC413925/
Abstract

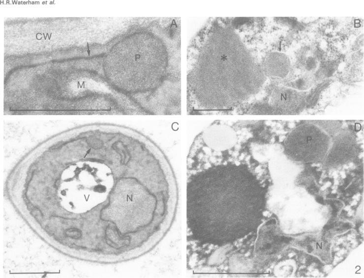
We have identified two temperature-sensitive peroxisome-deficient mutants of Hansenula polymorpha (ts6 and ts44) within a collection of ts mutants which are impaired for growth on methanol at 43 degrees C but grow well at 35 degrees C. In both strains peroxisomes were completely absent in cells grown at 43 degrees C; the major peroxisomal matrix enzymes alcohol oxidase, dihydroxyacetone synthase and catalase were synthesized normally but assembled into the active enzyme protein in the cytosol. As in wild-type cells, these enzymes were present in peroxisomes under permissive growth conditions (< or = 37 degrees C). However, at intermediate temperatures (38-42 degrees C) they were partly peroxisome-bound and partly resided in the cytosol. Genetic analysis revealed that both mutant phenotypes were due to monogenic recessive mutations mapped in the same gene, designated PER13. After a shift of per13-6ts cells from restrictive to permissive temperature, new peroxisomes were formed within 1 h. Initially one--or infrequently a few--small organelles developed which subsequently increased in size and multiplied by fission during prolonged permissive growth. Neither mature peroxisomal matrix nor membrane proteins, which were present in the cytosol prior to the temperature shift, were incorporated into the newly formed organelles. Instead, these proteins remained unaffected (and active) in the cytosol concomitant with further peroxisome development. Thus in H.polymorpha alternative mechanisms of peroxisome biogenesis may be possible in addition to multiplication by fission upon induction of the organelles by certain growth substrates.

摘要
https://cdn.ncbi.nlm.nih.gov/pmc/blobs/2788/413925/39b97871645c/emboj00084-0326-a.jpg
https://cdn.ncbi.nlm.nih.gov/pmc/blobs/2788/413925/859d884cf184/emboj00084-0321-a.jpg
https://cdn.ncbi.nlm.nih.gov/pmc/blobs/2788/413925/4f7936a74824/emboj00084-0323-a.jpg
https://cdn.ncbi.nlm.nih.gov/pmc/blobs/2788/413925/aa9007dec23d/emboj00084-0324-a.jpg
https://cdn.ncbi.nlm.nih.gov/pmc/blobs/2788/413925/5bcaedd407bc/emboj00084-0324-b.jpg
https://cdn.ncbi.nlm.nih.gov/pmc/blobs/2788/413925/39f30da1c1dd/emboj00084-0324-c.jpg
https://cdn.ncbi.nlm.nih.gov/pmc/blobs/2788/413925/2664c2ae2582/emboj00084-0325-a.jpg
https://cdn.ncbi.nlm.nih.gov/pmc/blobs/2788/413925/39b97871645c/emboj00084-0326-a.jpg
https://cdn.ncbi.nlm.nih.gov/pmc/blobs/2788/413925/859d884cf184/emboj00084-0321-a.jpg
https://cdn.ncbi.nlm.nih.gov/pmc/blobs/2788/413925/4f7936a74824/emboj00084-0323-a.jpg
https://cdn.ncbi.nlm.nih.gov/pmc/blobs/2788/413925/aa9007dec23d/emboj00084-0324-a.jpg
https://cdn.ncbi.nlm.nih.gov/pmc/blobs/2788/413925/5bcaedd407bc/emboj00084-0324-b.jpg
https://cdn.ncbi.nlm.nih.gov/pmc/blobs/2788/413925/39f30da1c1dd/emboj00084-0324-c.jpg
https://cdn.ncbi.nlm.nih.gov/pmc/blobs/2788/413925/2664c2ae2582/emboj00084-0325-a.jpg
https://cdn.ncbi.nlm.nih.gov/pmc/blobs/2788/413925/39b97871645c/emboj00084-0326-a.jpg

相似文献

1
Peroxisomes in the methylotrophic yeast Hansenula polymorpha do not necessarily derive from pre-existing organelles.
EMBO J. 1993 Dec;12(12):4785-94. doi: 10.1002/j.1460-2075.1993.tb06167.x.
2
Restoration of peroxisome formation in two conditional peroxisome-deficient mutants of Hansenula polymorpha during growth of cells on specific organic nitrogen sources.
Yeast. 1995 Sep 30;11(12):1139-45. doi: 10.1002/yea.320111204.
3
Characterization of peroxisome-deficient mutants of Hansenula polymorpha.多形汉逊酵母过氧化物酶体缺陷型突变体的表征
Curr Genet. 1995 Aug;28(3):248-57. doi: 10.1007/BF00309784.
4
Expression and targeting of a 47 kDa integral peroxisomal membrane protein of Candida boidinii in wild type and a peroxisome-deficient mutant of Hansenula polymorpha.博伊丁假丝酵母47 kDa过氧化物酶体整合膜蛋白在多形汉逊酵母野生型和过氧化物酶体缺陷型突变体中的表达与靶向定位
FEBS Lett. 1993 Jan 11;315(3):211-6. doi: 10.1016/0014-5793(93)81166-w.
5
Deviant Pex3p levels affect normal peroxisome formation in Hansenula polymorpha: a sharp increase of the protein level induces the proliferation of numerous, small protein-import competent peroxisomes.异常的Pex3p水平影响多形汉逊酵母中正常过氧化物酶体的形成:该蛋白水平的急剧增加会诱导大量小的具有蛋白质输入能力的过氧化物酶体增殖。
Yeast. 1997 Dec;13(15):1449-63. doi: 10.1002/(SICI)1097-0061(199712)13:15<1449::AID-YEA191>3.0.CO;2-Q.
6
Peroxisome biogenesis in Hansenula polymorpha: different mutations in genes, essential for peroxisome biogenesis, cause different peroxisomal mutant phenotypes.多形汉逊酵母中的过氧化物酶体生物发生:对于过氧化物酶体生物发生至关重要的基因中的不同突变会导致不同的过氧化物酶体突变表型。
FEMS Microbiol Lett. 1992 Aug 15;74(2-3):143-8. doi: 10.1016/0378-1097(92)90420-s.
7
Synthesis and subcellular location of peroxisomal membrane proteins in a peroxisome-deficient mutant of the yeast Hansenula polymorpha.多形汉逊酵母过氧化物酶体缺陷型突变体中过氧化物酶体膜蛋白的合成及亚细胞定位
EMBO J. 1993 May;12(5):2205-10. doi: 10.1002/j.1460-2075.1993.tb05868.x.
8
The Hansenula polymorpha PEX14 gene encodes a novel peroxisomal membrane protein essential for peroxisome biogenesis.多形汉逊酵母PEX14基因编码一种对过氧化物酶体生物合成至关重要的新型过氧化物酶体膜蛋白。
EMBO J. 1997 Jan 2;16(1):44-53. doi: 10.1093/emboj/16.1.44.
9
Selective inactivation of alcohol oxidase in two peroxisome-deficient mutants of the yeast Hansenula polymorpha.在多形汉逊酵母的两个过氧化物酶体缺陷型突变体中酒精氧化酶的选择性失活
Yeast. 1991 Nov;7(8):813-21. doi: 10.1002/yea.320070806.
10
Peroxisomal remnants in peroxisome-deficient mutants of the yeast Hansenula polymorpha [corrected].多形汉逊酵母过氧化物酶体缺陷型突变体中的过氧化物酶体残余物[已修正]
FEBS Lett. 1996 Mar 25;383(1-2):114-8. doi: 10.1016/0014-5793(96)00220-7.

引用本文的文献

1
De novo peroxisome biogenesis: Evolving concepts and conundrums.从头开始的过氧化物酶体生物发生:不断发展的概念与难题
Biochim Biophys Acta. 2016 May;1863(5):892-901. doi: 10.1016/j.bbamcr.2015.09.014. Epub 2015 Sep 14.
2
Peroxisomes contribute to reactive oxygen species homeostasis and cell division induction in Arabidopsis protoplasts.过氧化物酶体有助于拟南芥原生质体中的活性氧稳态和细胞分裂诱导。
Front Plant Sci. 2015 Aug 26;6:658. doi: 10.3389/fpls.2015.00658. eCollection 2015.
3
The membrane remodeling protein Pex11p activates the GTPase Dnm1p during peroxisomal fission.

本文引用的文献

1
Synthesis and subcellular location of peroxisomal membrane proteins in a peroxisome-deficient mutant of the yeast Hansenula polymorpha.多形汉逊酵母过氧化物酶体缺陷型突变体中过氧化物酶体膜蛋白的合成及亚细胞定位
EMBO J. 1993 May;12(5):2205-10. doi: 10.1002/j.1460-2075.1993.tb05868.x.
2
Expression and targeting of a 47 kDa integral peroxisomal membrane protein of Candida boidinii in wild type and a peroxisome-deficient mutant of Hansenula polymorpha.博伊丁假丝酵母47 kDa过氧化物酶体整合膜蛋白在多形汉逊酵母野生型和过氧化物酶体缺陷型突变体中的表达与靶向定位
FEBS Lett. 1993 Jan 11;315(3):211-6. doi: 10.1016/0014-5793(93)81166-w.
3
Peroxisome biogenesis in the yeast Hansenula polymorpha is controlled by a complex set of interacting gene products.
膜重塑蛋白Pex11p在过氧化物酶体分裂过程中激活GTP酶Dnm1p。
Proc Natl Acad Sci U S A. 2015 May 19;112(20):6377-82. doi: 10.1073/pnas.1418736112. Epub 2015 May 4.
4
Lipid droplet autophagy in the yeast Saccharomyces cerevisiae.酿酒酵母中的脂滴自噬
Mol Biol Cell. 2014 Jan;25(2):290-301. doi: 10.1091/mbc.E13-08-0448. Epub 2013 Nov 20.
5
Potential use of sugar binding proteins in reactors for regeneration of CO2 fixation acceptor D-Ribulose-1,5-bisphosphate.糖结合蛋白在用于二氧化碳固定受体D-核酮糖-1,5-二磷酸再生的反应器中的潜在应用。
Microb Cell Fact. 2004 Jun 2;3(1):7. doi: 10.1186/1475-2859-3-7.
6
Routing of Hansenula polymorpha alcohol oxidase: an alternative peroxisomal protein-sorting machinery.多形汉逊酵母乙醇氧化酶的分选:一种替代的过氧化物酶体蛋白分选机制
Mol Biol Cell. 2004 Mar;15(3):1347-55. doi: 10.1091/mbc.e03-04-0258. Epub 2003 Dec 29.
7
Pyruvate carboxylase is an essential protein in the assembly of yeast peroxisomal oligomeric alcohol oxidase.丙酮酸羧化酶是酵母过氧化物酶体寡聚醇氧化酶组装过程中的一种必需蛋白质。
Mol Biol Cell. 2003 Feb;14(2):786-97. doi: 10.1091/mbc.e02-07-0417.
8
The peroxisome biogenesis factors pex4p, pex22p, pex1p, and pex6p act in the terminal steps of peroxisomal matrix protein import.过氧化物酶体生物发生因子pex4p、pex22p、pex1p和pex6p在过氧化物酶体基质蛋白导入的终末步骤中发挥作用。
Mol Cell Biol. 2000 Oct;20(20):7516-26. doi: 10.1128/MCB.20.20.7516-7526.2000.
9
Disorders related to peroxisomal membranes.与过氧化物酶体膜相关的疾病。
J Inherit Metab Dis. 2000 May;23(3):264-72. doi: 10.1023/a:1005636113499.
10
The surprising complexity of peroxisome biogenesis.过氧化物酶体生物发生的惊人复杂性。
Plant Mol Biol. 1998 Sep;38(1-2):163-89.
多形汉逊酵母中的过氧化物酶体生物合成受一组复杂的相互作用基因产物的控制。
Proc Natl Acad Sci U S A. 1993 Aug 15;90(16):7470-4. doi: 10.1073/pnas.90.16.7470.
4
Electroblotting of multiple gels: a simple apparatus without buffer tank for rapid transfer of proteins from polyacrylamide to nitrocellulose.多凝胶的电转印:一种无需缓冲槽的简易装置,用于将蛋白质从聚丙烯酰胺快速转移至硝酸纤维素膜。
J Biochem Biophys Methods. 1984 Dec;10(3-4):203-9. doi: 10.1016/0165-022x(84)90040-x.
5
The significance of peroxisomes in the metabolism of one-carbon compounds in yeasts.过氧化物酶体在酵母中一碳化合物代谢中的意义。
Adv Microb Physiol. 1983;24:1-82. doi: 10.1016/s0065-2911(08)60384-7.
6
Cleavage of structural proteins during the assembly of the head of bacteriophage T4.在噬菌体T4头部组装过程中结构蛋白的切割
Nature. 1970 Aug 15;227(5259):680-5. doi: 10.1038/227680a0.
7
Biogenesis of peroxisomes.过氧化物酶体的生物发生
Annu Rev Cell Biol. 1985;1:489-530. doi: 10.1146/annurev.cb.01.110185.002421.
8
The membrane proteins of the methanol-induced peroxisome of Candida boidinii. Initial characterization and generation of monoclonal antibodies.博伊丁假丝酵母甲醇诱导过氧化物酶体的膜蛋白。初步表征及单克隆抗体的产生。
J Biol Chem. 1986 Mar 5;261(7):3464-8.
9
Kinetics of the assembly of peroxisomes after fusion of complementary cell lines from patients with the cerebro-hepato-renal (Zellweger) syndrome and related disorders.
Biochem Biophys Res Commun. 1988 May 16;152(3):1083-9. doi: 10.1016/s0006-291x(88)80395-4.
10
Peroxisomal integral membrane proteins in control and Zellweger fibroblasts.对照和泽尔韦格综合征成纤维细胞中的过氧化物酶体整合膜蛋白
J Biol Chem. 1988 Jul 25;263(21):10502-9.