Suppr超能文献

唾液腺受累作为韦格纳肉芽肿病的首发表现

Salivary gland involvement as initial presentation of Wegener's disease.

作者信息

Vanhauwaert B G, Roskams T A, Vanneste S B, Knockaert D C

机构信息

Department of Internal Medicine, University Hospital Gasthuisberg, Leuven, Belgium.

出版信息

Postgrad Med J. 1993 Aug;69(814):643-5. doi: 10.1136/pgmj.69.814.643.

Abstract

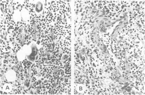
We describe a case of Wegener's disease with massive painful bilateral submandibular gland enlargement as the presenting symptom. The diagnosis was based on histologically documented nasal mucosa involvement, focal necrotizing glomerulonephritis, episcleritis and anti-neutrophil cytoplasmic antibody.

摘要

我们描述了一例以双侧下颌下腺无痛性肿大为首发症状的韦格纳肉芽肿病。诊断依据为组织学证实的鼻黏膜受累、局灶性坏死性肾小球肾炎、巩膜炎以及抗中性粒细胞胞浆抗体。

https://cdn.ncbi.nlm.nih.gov/pmc/blobs/485d/2399696/b350ef674161/postmedj00056-0049-a.jpg

文献检索

告别复杂PubMed语法,用中文像聊天一样搜索,搜遍4000万医学文献。AI智能推荐,让科研检索更轻松。

立即免费搜索

文件翻译

保留排版,准确专业,支持PDF/Word/PPT等文件格式,支持 12+语言互译。

免费翻译文档

深度研究

AI帮你快速写综述,25分钟生成高质量综述,智能提取关键信息,辅助科研写作。

立即免费体验