Suppr超能文献

Encephalitozoonosis (nosematosis) causing bilateral cataract in a rabbit.

作者信息

Ashton N, Cook C, Clegg F

出版信息

Br J Ophthalmol. 1976 Sep;60(9):618-31. doi: 10.1136/bjo.60.9.618.

Abstract

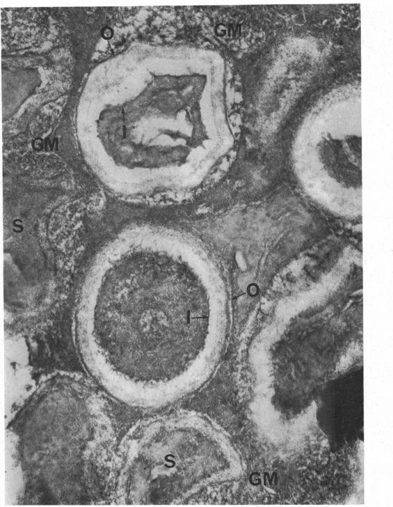
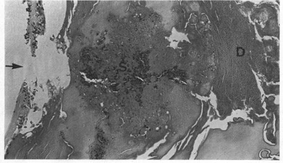
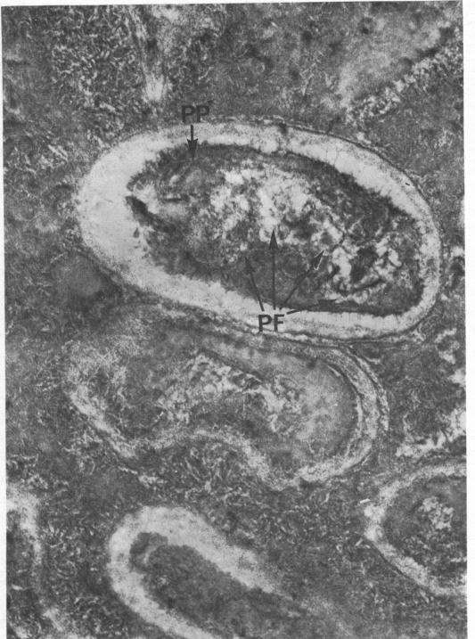
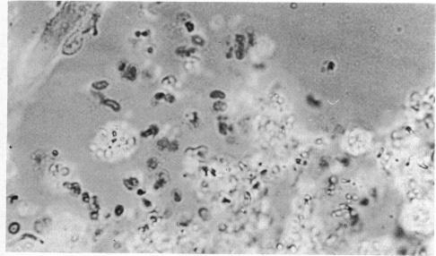
Bilateral cataract due to a microsporidan believed to be Encephalitozoon cuniculi (also called Nosema cuniculi) is described as an incidental finding in a laboratory rabbit. The route of infection and the significance of the findings are discussed. This is apparently the first report of cataract due to this cause.

摘要
https://cdn.ncbi.nlm.nih.gov/pmc/blobs/24ce/1042781/4381c276efb7/brjopthal00249-0016-a.jpg

文献AI研究员

20分钟写一篇综述,助力文献阅读效率提升50倍。

立即体验

用中文搜PubMed

大模型驱动的PubMed中文搜索引擎

马上搜索

文档翻译

学术文献翻译模型,支持多种主流文档格式。

立即体验