Suppr超能文献

日本鹌鹑(Coturnix coturnix japonica)的精子发生和精子释放

Spermiogenesis and spermiation in the Japanese quail (Coturnix coturnix japonica).

作者信息

Lin M, Jones R C

机构信息

Department of Biological Sciences, University of Newcastle, New South Wales, Australia.

出版信息

J Anat. 1993 Dec;183 ( Pt 3)(Pt 3):525-35.

Abstract

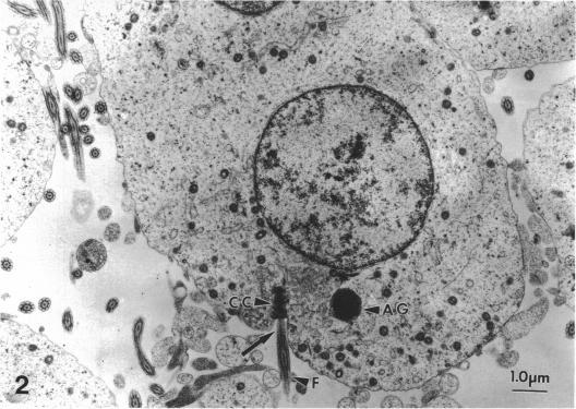
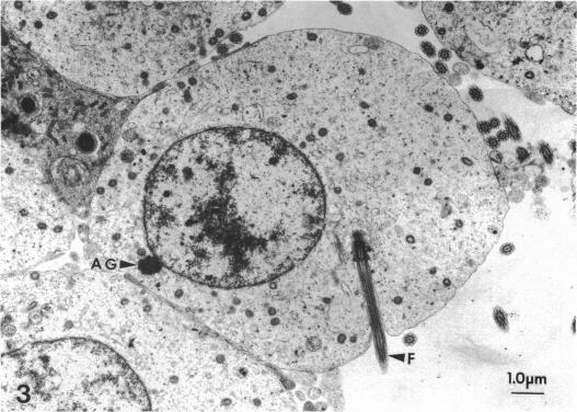
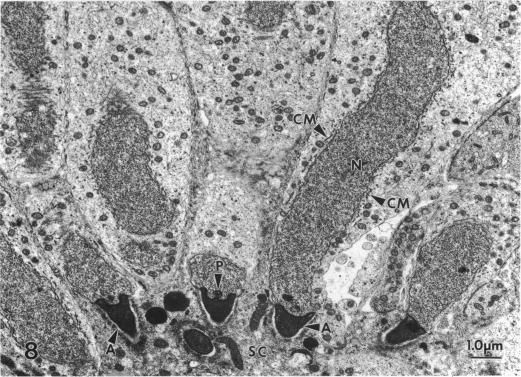
The ultrastructure of 12 steps of spermatid development and the process of spermiation are described for the Japanese quail in order to clarify the classification proposed for determining the stages of the cycle of the seminiferous epithelium (Lin et al. 1990) and to assess disagreements in the literature about sperm development in birds. It was concluded that acrosomal development involves the formation of proacrosomal granules which do not contain dense granules like the mammalian acrosome. Material which forms the perforatorium initially accumulates as a nuclear granule before appearing in the subacrosomal space. A circular and longitudinal manchette develop sequentially during nuclear elongation. Microtubules of the circular manchette initially form around several parts of the spherical nucleus of step 4 spermatids and subsequently occur most frequently around the narrowest regions of the elongating nucleus. Fibrous sheath development starts in step 2 spermatids indicating that it forms much earlier in the quail than in mammals. Spermiation differs from the process described in mammals in that the residual body is released from near the rostral end of the sperm nucleus leaving no cytoplasmic droplet in quail spermatozoa.

摘要

为了阐明为确定生精上皮周期阶段而提出的分类方法(Lin等人,1990年),并评估文献中关于鸟类精子发育的分歧,本文描述了日本鹌鹑精子细胞发育12个步骤的超微结构以及精子释放过程。研究得出结论,顶体发育涉及前顶体颗粒的形成,这些颗粒不像哺乳动物的顶体那样含有致密颗粒。形成穿孔器的物质最初作为核颗粒积累,然后出现在顶体下空间。在细胞核伸长过程中,圆形和纵向的袖套依次发育。圆形袖套的微管最初在第4步精子细胞的球形细胞核的几个部分周围形成,随后最频繁地出现在伸长细胞核最窄的区域周围。纤维鞘的发育始于第2步精子细胞,这表明它在鹌鹑中比在哺乳动物中形成得早得多。精子释放与哺乳动物中描述的过程不同,因为残余体从精子细胞核的前端附近释放,鹌鹑精子中没有留下细胞质滴。

https://cdn.ncbi.nlm.nih.gov/pmc/blobs/51ab/1259878/517ec83fb345/janat00143-0084-a.jpg

文献检索

告别复杂PubMed语法,用中文像聊天一样搜索,搜遍4000万医学文献。AI智能推荐,让科研检索更轻松。

立即免费搜索

文件翻译

保留排版,准确专业,支持PDF/Word/PPT等文件格式,支持 12+语言互译。

免费翻译文档

深度研究

AI帮你快速写综述,25分钟生成高质量综述,智能提取关键信息,辅助科研写作。

立即免费体验