Digard P, Bebrin W R, Weisshart K, Coen D M
Department of Biological Chemistry and Molecular Pharmacology, Harvard Medical School, Boston, Massachusetts 02115.
J Virol. 1993 Jan;67(1):398-406. doi: 10.1128/JVI.67.1.398-406.1993.
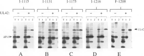
The herpes simplex virus DNA polymerase is composed of two subunits, a large catalytic subunit (Pol) and a smaller subunit (UL42) that increases the processivity of the holoenzyme. The interaction between the two polypeptides is of interest both for the mechanism by which it enables the enzyme to synthesize long stretches of DNA processively and as a possible target for the rational design of novel antiviral drugs. Here, we demonstrate through a combination of insertion and deletion mutagenesis that the carboxy-terminal 35 amino acids of Pol are crucial for binding UL42. The functional importance of the interaction was confirmed by the finding that a pol mutant defective for UL42 binding retained polymerase activity, but did not synthesize longer DNA products in the presence of UL42. Moreover, several association-incompetent mutants failed to complement the replication of a pol null mutant in a transient transfection assay, confirming that the Pol-UL42 interaction is necessary for virus replication in vivo and therefore a valid target for directed drug design.
单纯疱疹病毒DNA聚合酶由两个亚基组成,一个大的催化亚基(Pol)和一个较小的亚基(UL42),后者可提高全酶的持续合成能力。这两种多肽之间的相互作用,对于其使该酶能够持续合成长链DNA的机制以及作为新型抗病毒药物合理设计的可能靶点而言,都备受关注。在此,我们通过插入和缺失诱变相结合的方法证明,Pol的羧基末端35个氨基酸对于结合UL42至关重要。UL42结合缺陷的pol突变体保留了聚合酶活性,但在存在UL42的情况下不能合成更长的DNA产物,这一发现证实了这种相互作用的功能重要性。此外,几个无结合能力的突变体在瞬时转染试验中未能互补pol缺失突变体的复制,这证实了Pol-UL42相互作用对于体内病毒复制是必需的,因此是定向药物设计的有效靶点。