Suppr超能文献

一种具有包含2'-脱氧鸟苷和7-脱氮-2'-脱氧黄嘌呤核苷的寡脱氧核苷酸的反平行三螺旋基序。

An anti-parallel triple helix motif with oligodeoxynucleotides containing 2'-deoxyguanosine and 7-deaza-2'-deoxyxanthosine.

作者信息

Milligan J F, Krawczyk S H, Wadwani S, Matteucci M D

机构信息

Gilead Sciences, Foster City, CA 94404.

出版信息

Nucleic Acids Res. 1993 Jan 25;21(2):327-33. doi: 10.1093/nar/21.2.327.

Abstract

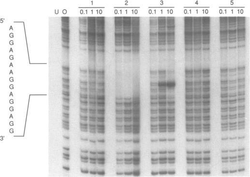
Triple helix formation of oligodeoxynucleotides (ODNs) with a 15 base pair poly-purine DNA target in the HER2 promoter was examined by footprinting analysis. 7-deaza-2'-deoxyxanthosine (dzaX) was identified as a purine analogue of thymidine (T) which forms dzaX:A-T triplets. ODNs containing 2'-deoxyguanosine (G) and dzaX were found to form triple helices in an anti-parallel orientation, with respect to the poly-purine strand of the target DNA. In comparative studies under physiological K+ and Mg++ concentrations and at pH 7.2, the ODNs containing G and dzaX showed high affinity to the target sequence while the ODNs containing G and T were not able to bind. In the absence of added monovalent salts both ODNs showed high affinity to the target sequence. The substitution of 7-deaza-2'-deoxyguanosine for G substantially decreased the capacity of the ODNs to form triple helices under physiological conditions, indicating that dzaX may be unique in its ability to enhance triple helix formation in the anti-parallel motif.

摘要

通过足迹分析研究了与HER2启动子中15个碱基对的多嘌呤DNA靶标形成寡脱氧核苷酸(ODN)三链螺旋的情况。7-脱氮-2'-脱氧黄苷(dzaX)被鉴定为胸腺嘧啶(T)的嘌呤类似物,可形成dzaX:A-T三联体。发现含有2'-脱氧鸟苷(G)和dzaX的ODN相对于靶标DNA的多嘌呤链以反平行方向形成三链螺旋。在生理K+和Mg++浓度以及pH 7.2的比较研究中,含有G和dzaX的ODN对靶标序列表现出高亲和力,而含有G和T的ODN则无法结合。在不添加单价盐的情况下,两种ODN对靶标序列均表现出高亲和力。用7-脱氮-2'-脱氧鸟苷替代G在生理条件下大大降低了ODN形成三链螺旋的能力,表明dzaX在增强反平行基序中三链螺旋形成的能力方面可能是独特的。

https://cdn.ncbi.nlm.nih.gov/pmc/blobs/5bef/309110/044528ad834b/nar00051-0153-a.jpg

文献检索

告别复杂PubMed语法,用中文像聊天一样搜索,搜遍4000万医学文献。AI智能推荐,让科研检索更轻松。

立即免费搜索

文件翻译

保留排版,准确专业,支持PDF/Word/PPT等文件格式,支持 12+语言互译。

免费翻译文档

深度研究

AI帮你快速写综述,25分钟生成高质量综述,智能提取关键信息,辅助科研写作。

立即免费体验