• 文献检索
  • 文档翻译
  • 深度研究
  • 学术资讯
  • Suppr Zotero 插件Zotero 插件
  • 邀请有礼
  • 套餐&价格
  • 历史记录
应用&插件
Suppr Zotero 插件Zotero 插件浏览器插件Mac 客户端Windows 客户端微信小程序
定价
高级版会员购买积分包购买API积分包
服务
文献检索文档翻译深度研究API 文档MCP 服务
关于我们
关于 Suppr公司介绍联系我们用户协议隐私条款
关注我们

Suppr 超能文献

核心技术专利:CN118964589B侵权必究
粤ICP备2023148730 号-1Suppr @ 2026

文献检索

告别复杂PubMed语法,用中文像聊天一样搜索,搜遍4000万医学文献。AI智能推荐,让科研检索更轻松。

立即免费搜索

文件翻译

保留排版,准确专业,支持PDF/Word/PPT等文件格式,支持 12+语言互译。

免费翻译文档

深度研究

AI帮你快速写综述,25分钟生成高质量综述,智能提取关键信息,辅助科研写作。

立即免费体验

DNA测序:由六聚体或五聚体文库组装而成的模块化引物。

DNA sequencing: modular primers assembled from a library of hexamers or pentamers.

作者信息

Kotler L E, Zevin-Sonkin D, Sobolev I A, Beskin A D, Ulanovsky L E

机构信息

Department of Structural Biology, Weizmann Institute of Science, Rehovot, Israel.

出版信息

Proc Natl Acad Sci U S A. 1993 May 1;90(9):4241-5. doi: 10.1073/pnas.90.9.4241.

DOI:10.1073/pnas.90.9.4241
PMID:8483939
原文链接:https://pmc.ncbi.nlm.nih.gov/articles/PMC46482/
Abstract

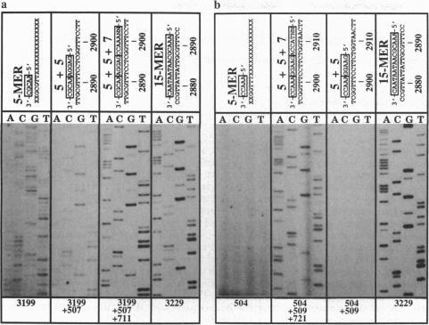
Here we report a striking effect displayed by "modular primers," which consist of hexamer or pentamer oligonucleotide modules base-stacked to each other upon annealing to a DNA template. Such a combination of modules is found to prime DNA sequencing reactions uniquely, unlike either of the modules alone. We attribute this effect in part to the increase in the affinity of an oligonucleotide for the template in the presence of an adjacent module. All possible pentamer (or hexamer) sequences total 1024 (or 4096) samples, a manageable size for a presynthesized library. This approach can replace the synthesis of primers, which is the current bottleneck in time and cost of the primer walking sequencing, and can allow full automation of the closed cycle of walking.

摘要

在此,我们报告了“模块化引物”所展现的一种显著效应,这些引物由六聚体或五聚体寡核苷酸模块组成,在与DNA模板退火时彼此碱基堆积。发现这种模块组合能独特地引发DNA测序反应,这与单独的任何一个模块都不同。我们将这种效应部分归因于在相邻模块存在时寡核苷酸与模板亲和力的增加。所有可能的五聚体(或六聚体)序列总计1024(或4096)个样本,对于预合成文库来说规模可控。这种方法可以取代引物的合成,而引物合成是目前引物步移测序在时间和成本方面的瓶颈,并且可以实现步移闭环的完全自动化。

https://cdn.ncbi.nlm.nih.gov/pmc/blobs/3332/46482/2f38a6fd2f96/pnas01468-0478-a.jpg
https://cdn.ncbi.nlm.nih.gov/pmc/blobs/3332/46482/e33385296c38/pnas01468-0475-a.jpg
https://cdn.ncbi.nlm.nih.gov/pmc/blobs/3332/46482/1cf1e3b85520/pnas01468-0476-a.jpg
https://cdn.ncbi.nlm.nih.gov/pmc/blobs/3332/46482/03eef8d01200/pnas01468-0477-a.jpg
https://cdn.ncbi.nlm.nih.gov/pmc/blobs/3332/46482/2f38a6fd2f96/pnas01468-0478-a.jpg
https://cdn.ncbi.nlm.nih.gov/pmc/blobs/3332/46482/e33385296c38/pnas01468-0475-a.jpg
https://cdn.ncbi.nlm.nih.gov/pmc/blobs/3332/46482/1cf1e3b85520/pnas01468-0476-a.jpg
https://cdn.ncbi.nlm.nih.gov/pmc/blobs/3332/46482/03eef8d01200/pnas01468-0477-a.jpg
https://cdn.ncbi.nlm.nih.gov/pmc/blobs/3332/46482/2f38a6fd2f96/pnas01468-0478-a.jpg

相似文献

1
DNA sequencing: modular primers assembled from a library of hexamers or pentamers.DNA测序:由六聚体或五聚体文库组装而成的模块化引物。
Proc Natl Acad Sci U S A. 1993 May 1;90(9):4241-5. doi: 10.1073/pnas.90.9.4241.
2
On the mechanism of the modular primer effect.关于模块化引物效应的机制。
Nucleic Acids Res. 1995 Aug 11;23(15):2881-5. doi: 10.1093/nar/23.15.2881.
3
DNA sequencing by primer walking with strings of contiguous hexamers.通过使用连续六聚体序列进行引物步移法进行DNA测序。
Science. 1992 Dec 11;258(5089):1787-91. doi: 10.1126/science.1465615.
4
DNA sequencing: modular primers for automated walking.DNA测序:用于自动步移的模块化引物
Biotechniques. 1994 Sep;17(3):554-9.
5
High-quality automated DNA sequencing primed with hexamer strings.以六聚体序列为引物的高质量自动化DNA测序。
Genome Res. 1996 Jan;6(1):10-8. doi: 10.1101/gr.6.1.10.
6
Quantitative investigation of the modular primer effect for DNA and peptide nucleic acid hexamers.DNA和肽核酸六聚体的模块化引物效应的定量研究。
Anal Biochem. 1999 Apr 10;269(1):155-61. doi: 10.1006/abio.1999.4000.
7
Deletion mutagenesis in M13 by polymerase chain reaction using universal sequencing primers.利用通用测序引物通过聚合酶链反应在M13中进行缺失诱变。
Anal Biochem. 1990 Aug 1;188(2):255-8. doi: 10.1016/0003-2697(90)90602-6.
8
Factors affecting the priming efficiency of short contiguous oligonucleotide strings in the primer walking strategy of DNA sequencing.影响DNA测序引物步移策略中短连续寡核苷酸串引发效率的因素。
DNA Seq. 1996;6(4):211-6. doi: 10.3109/10425179609008445.
9
Ligation of hexamers on hexamer templates to produce primers for cycle sequencing or the polymerase chain reaction.将六聚体连接到六聚体模板上,以产生用于循环测序或聚合酶链反应的引物。
Anal Biochem. 1995 Jun 10;228(1):91-100. doi: 10.1006/abio.1995.1319.
10
Octamer-primed sequencing technology: effects of dNTP supplementation.八聚体引发测序技术:脱氧核苷三磷酸补充的影响
Nucleic Acids Res. 2001 May 15;29(10):E48. doi: 10.1093/nar/29.10.e48.

引用本文的文献

1
DNA ligase-mediated translation of DNA into densely functionalized nucleic acid polymers.DNA 连接酶介导的 DNA 向高密度功能化核酸聚合物的转化。
J Am Chem Soc. 2013 Jan 9;135(1):98-101. doi: 10.1021/ja311331m. Epub 2012 Dec 26.
2
Oxytricha as a modern analog of ancient genome evolution.纤毛虫奥氏拟甲作为古老基因组进化的现代模拟。
Trends Genet. 2012 Aug;28(8):382-8. doi: 10.1016/j.tig.2012.03.010. Epub 2012 May 21.
3
Primer fabrication using polymerase mediated oligonucleotide synthesis.使用聚合酶介导的寡核苷酸合成进行引物制备。

本文引用的文献

1
A strategy for high-volume sequencing of cosmid DNAs: random and directed priming with a library of oligonucleotides.一种用于黏粒DNA高通量测序的策略:使用寡核苷酸文库进行随机和定向引物延伸。
Proc Natl Acad Sci U S A. 1989 Sep;86(18):6917-21. doi: 10.1073/pnas.86.18.6917.
2
Use of EDTA derivatization to characterize interactions between oligodeoxyribonucleoside methylphosphonates and nucleic acids.使用乙二胺四乙酸(EDTA)衍生化来表征寡脱氧核糖核苷甲基膦酸酯与核酸之间的相互作用。
Biochemistry. 1989 Feb 7;28(3):1054-61. doi: 10.1021/bi00429a020.
3
Proposal for sequencing DNA using ligation of hexamers to generate sequential elongation primers (SPEL-6).
BMC Genomics. 2009 Jul 31;10:344. doi: 10.1186/1471-2164-10-344.
4
Labeling of unique sequences in double-stranded DNA at sites of vicinal nicks generated by nicking endonucleases.在切口内切酶产生的相邻切口位点对双链DNA中的独特序列进行标记。
Nucleic Acids Res. 2008 Apr;36(7):e40. doi: 10.1093/nar/gkn107. Epub 2008 Mar 15.
5
Base-stacking and base-pairing contributions into thermal stability of the DNA double helix.碱基堆积和碱基配对对DNA双螺旋热稳定性的贡献。
Nucleic Acids Res. 2006 Jan 31;34(2):564-74. doi: 10.1093/nar/gkj454. Print 2006.
6
Tandem oligonucleotide synthesis using linker phosphoramidites.使用连接亚磷酰胺进行串联寡核苷酸合成。
Nucleic Acids Res. 2005 Apr 6;33(6):1940-8. doi: 10.1093/nar/gki333. Print 2005.
7
LNA-enhanced detection of single nucleotide polymorphisms in the apolipoprotein E.锁核酸增强检测载脂蛋白E中的单核苷酸多态性
Nucleic Acids Res. 2002 Oct 1;30(19):e100. doi: 10.1093/nar/gnf099.
8
Mutation detection by stacking hybridization on genosensor arrays.基于基因传感器阵列的堆叠杂交进行突变检测。
Mol Biotechnol. 1999 Feb;11(1):13-25. doi: 10.1007/BF02789173.
9
Hybridization of glass-tethered oligonucleotide probes to target strands preannealed with labeled auxiliary oligonucleotides.玻璃连接的寡核苷酸探针与用标记的辅助寡核苷酸预退火的靶链杂交。
Mol Biotechnol. 1999 Feb;11(1):1-12. doi: 10.1007/BF02789172.
10
A novel method for making nested deletions and its application for sequencing of a 300 kb region of human APP locus.一种制备嵌套缺失的新方法及其在人类APP基因座300 kb区域测序中的应用。
Nucleic Acids Res. 1997 May 1;25(9):1802-8. doi: 10.1093/nar/25.9.1802.
利用六聚体连接生成序列延伸引物(SPEL-6)进行DNA测序的提案。
Gene. 1990 May 31;90(1):177-8. doi: 10.1016/0378-1119(90)90458-4.
4
Separation and analysis of DNA sequence reaction products by capillary gel electrophoresis.通过毛细管凝胶电泳对DNA序列反应产物进行分离和分析。
J Chromatogr. 1990 Sep 7;516(1):49-60. doi: 10.1016/s0021-9673(01)90203-1.
5
Structure-function analysis of mononucleotides and short oligonucleotides in the priming of enzymatic DNA synthesis.单核苷酸和短寡核苷酸在酶促DNA合成引发过程中的结构-功能分析
Biochemistry. 1990 Feb 6;29(5):1200-7. doi: 10.1021/bi00457a016.
6
High speed on-line DNA sequencing on ultrathin slab gels.超薄平板凝胶上的高速在线DNA测序
Nucleic Acids Res. 1991 Feb 11;19(3):675-6. doi: 10.1093/nar/19.3.675.
7
High-speed DNA sequencing by capillary gel electrophoresis.通过毛细管凝胶电泳进行的高速DNA测序。
Nature. 1991 Feb 28;349(6312):812-3. doi: 10.1038/349812a0.
8
Rapid DNA sequencing by horizontal ultrathin gel electrophoresis.通过水平超薄凝胶电泳进行快速DNA测序。
Nucleic Acids Res. 1991 Aug 11;19(15):4121-6. doi: 10.1093/nar/19.15.4121.
9
DNA sequencing by primer walking with strings of contiguous hexamers.通过使用连续六聚体序列进行引物步移法进行DNA测序。
Science. 1992 Dec 11;258(5089):1787-91. doi: 10.1126/science.1465615.
10
High speed automated DNA sequencing in ultrathin slab gels.超薄平板凝胶中的高速自动化DNA测序
Biotechnology (N Y). 1992 Jan;10(1):78-81. doi: 10.1038/nbt0192-78.