• 文献检索
  • 文档翻译
  • 深度研究
  • 学术资讯
  • Suppr Zotero 插件Zotero 插件
  • 邀请有礼
  • 套餐&价格
  • 历史记录
应用&插件
Suppr Zotero 插件Zotero 插件浏览器插件Mac 客户端Windows 客户端微信小程序
定价
高级版会员购买积分包购买API积分包
服务
文献检索文档翻译深度研究API 文档MCP 服务
关于我们
关于 Suppr公司介绍联系我们用户协议隐私条款
关注我们

Suppr 超能文献

核心技术专利:CN118964589B侵权必究
粤ICP备2023148730 号-1Suppr @ 2026

文献检索

告别复杂PubMed语法,用中文像聊天一样搜索,搜遍4000万医学文献。AI智能推荐,让科研检索更轻松。

立即免费搜索

文件翻译

保留排版,准确专业,支持PDF/Word/PPT等文件格式,支持 12+语言互译。

免费翻译文档

深度研究

AI帮你快速写综述,25分钟生成高质量综述,智能提取关键信息,辅助科研写作。

立即免费体验

大鼠降结肠隐窝中荧光染料的浓度极化:隐窝液吸收的证据。

Concentration polarization of fluorescent dyes in rat descending colonic crypts: evidence of crypt fluid absorption.

作者信息

Naftalin R J, Zammit P S, Pedley K C

机构信息

Division of Biomedical Sciences, King's College London, Strand, UK.

出版信息

J Physiol. 1995 Sep 1;487 ( Pt 2)(Pt 2):479-95. doi: 10.1113/jphysiol.1995.sp020894.

DOI:10.1113/jphysiol.1995.sp020894
PMID:8558478
原文链接:https://pmc.ncbi.nlm.nih.gov/articles/PMC1156587/
Abstract
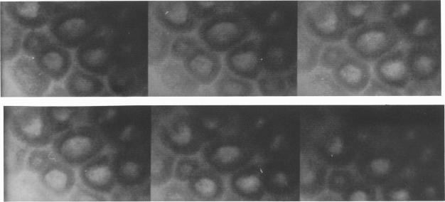
  1. Using confocal microscopy, the rate of fluid absorption into isolated perifused descending rat colonic crypt lumens is estimated from the concentration polarization and distribution of fluorescein sulphonate (FS) and fluorescein isothiocyanate-dextran (FITC-dextran; molecular weight, 10,000) within the crypt lumens and pericryptal fluid. 2. The probe dyes enter the crypt via the luminal opening, are concentrated in the lumen, then escape into the pericryptal space via the paracellular spaces spanning the crypt wall. 3. FITC-dextran is maximally accumulated at a luminal depth of 60 microns to 5 times the concentration at the crypt opening (p < 0.001) and penetrates 150-200 microns along the lumen. FS is maximally accumulated within crypt lumen close to the opening. At crypt luminal depths 10-60 microns from the opening FS is accumulated by a factor of 1.5-2.0 above that found in HgCl2-treated tissue (p < 0.001). 4. Dye enters the crypt lumen slowly from the basal side, but from this side does not accumulate above the bathing solution concentration. 5. HgCl2 (20 microM) or theophylline (10 mM) completely inhibit concentrative accumulation of FITC-dextran and FS within the crypts and pericryptal space (p < 0.001). 6. Computer simulation of the dye uptake indicates that the rate of water flow into the crypt luminal opening is 1 x 10(-3) cm s-1 which is equivalent to 15 microliters (cm mucosa)-2 h-1. Approximately 75% of the fluid entering the crypt is abosrbed across the proximal 50 microns of crypt wall as a consequence of the large osmotic pressure gradient between the pericryptal and crypt luminal solutions. A pericryptal diffusion barrier with lower permeability than that across the crypt wall is required to simulate dye accumulation in the pericryptal space. Differences between FITC-dextran and FS accumulation are explained by the lower diffusion coefficient within the crypt lumen, and lower crypt wall permeability of FITC-dextran.
摘要
  1. 使用共聚焦显微镜,通过荧光素磺酸盐(FS)和异硫氰酸荧光素 - 葡聚糖(FITC - 葡聚糖;分子量10,000)在隐窝腔和隐窝周围液体中的浓度极化和分布,估算液体进入分离的经外周灌注的大鼠降结肠隐窝腔的吸收速率。2. 探针染料通过腔开口进入隐窝,在腔内浓缩,然后通过跨越隐窝壁的细胞旁间隙逸出到隐窝周围空间。3. FITC - 葡聚糖在腔深度60微米处积累到最大值,是隐窝开口处浓度的5倍(p <0.001),并沿腔穿透150 - 200微米。FS在靠近开口的隐窝腔内积累到最大值。在距开口10 - 60微米的隐窝腔深度处,FS的积累量比在HgCl2处理的组织中高1.5 - 2.0倍(p <0.001)。4. 染料从基底侧缓慢进入隐窝腔,但从这一侧不会在高于浴液浓度的情况下积累。5. HgCl2(20 microM)或茶碱(10 mM)完全抑制FITC - 葡聚糖和FS在隐窝和隐窝周围空间的浓缩积累(p <0.001)。6. 染料摄取的计算机模拟表明,水流进入隐窝腔开口的速率为1×10^(-3) cm s-1,相当于15微升(cm黏膜)-2 h-1。由于隐窝周围和隐窝腔溶液之间的大渗透压梯度,进入隐窝的液体中约75%在隐窝壁近端50微米处被吸收。需要一个渗透率低于穿过隐窝壁的隐窝周围扩散屏障来模拟染料在隐窝周围空间的积累。FITC - 葡聚糖和FS积累之间的差异是由隐窝腔内较低的扩散系数以及FITC - 葡聚糖较低的隐窝壁渗透率来解释的。
https://cdn.ncbi.nlm.nih.gov/pmc/blobs/a704/1156587/1720dc26f3f1/jphysiol00312-0207-a.jpg
https://cdn.ncbi.nlm.nih.gov/pmc/blobs/a704/1156587/7ea5768a3239/jphysiol00312-0196-a.jpg
https://cdn.ncbi.nlm.nih.gov/pmc/blobs/a704/1156587/5eb45b708e95/jphysiol00312-0197-a.jpg
https://cdn.ncbi.nlm.nih.gov/pmc/blobs/a704/1156587/67af85a81cb1/jphysiol00312-0198-a.jpg
https://cdn.ncbi.nlm.nih.gov/pmc/blobs/a704/1156587/c8ec9be7ed18/jphysiol00312-0198-b.jpg
https://cdn.ncbi.nlm.nih.gov/pmc/blobs/a704/1156587/929c47e88a86/jphysiol00312-0201-a.jpg
https://cdn.ncbi.nlm.nih.gov/pmc/blobs/a704/1156587/2687c7ebc937/jphysiol00312-0202-a.jpg
https://cdn.ncbi.nlm.nih.gov/pmc/blobs/a704/1156587/12c4f59414e6/jphysiol00312-0204-a.jpg
https://cdn.ncbi.nlm.nih.gov/pmc/blobs/a704/1156587/1720dc26f3f1/jphysiol00312-0207-a.jpg
https://cdn.ncbi.nlm.nih.gov/pmc/blobs/a704/1156587/7ea5768a3239/jphysiol00312-0196-a.jpg
https://cdn.ncbi.nlm.nih.gov/pmc/blobs/a704/1156587/5eb45b708e95/jphysiol00312-0197-a.jpg
https://cdn.ncbi.nlm.nih.gov/pmc/blobs/a704/1156587/67af85a81cb1/jphysiol00312-0198-a.jpg
https://cdn.ncbi.nlm.nih.gov/pmc/blobs/a704/1156587/c8ec9be7ed18/jphysiol00312-0198-b.jpg
https://cdn.ncbi.nlm.nih.gov/pmc/blobs/a704/1156587/929c47e88a86/jphysiol00312-0201-a.jpg
https://cdn.ncbi.nlm.nih.gov/pmc/blobs/a704/1156587/2687c7ebc937/jphysiol00312-0202-a.jpg
https://cdn.ncbi.nlm.nih.gov/pmc/blobs/a704/1156587/12c4f59414e6/jphysiol00312-0204-a.jpg
https://cdn.ncbi.nlm.nih.gov/pmc/blobs/a704/1156587/1720dc26f3f1/jphysiol00312-0207-a.jpg

相似文献

1
Concentration polarization of fluorescent dyes in rat descending colonic crypts: evidence of crypt fluid absorption.大鼠降结肠隐窝中荧光染料的浓度极化:隐窝液吸收的证据。
J Physiol. 1995 Sep 1;487 ( Pt 2)(Pt 2):479-95. doi: 10.1113/jphysiol.1995.sp020894.
2
Evidence of amiloride-sensitive fluid absorption in rat descending colonic crypts from fluorescence recovery of FITC-labelled dextran after photobleaching.光漂白后FITC标记葡聚糖荧光恢复显示大鼠降结肠隐窝中存在氨氯地平敏感的液体吸收证据。
J Physiol. 2001 Oct 15;536(Pt 2):541-53. doi: 10.1111/j.1469-7793.2001.0541c.xd.
3
In vivo fluorescence measurement of Na(+) concentration in the pericryptal space of mouse descending colon.小鼠降结肠隐窝周围空间中钠离子浓度的体内荧光测量。
Am J Physiol Cell Physiol. 2001 Dec;281(6):C1898-903. doi: 10.1152/ajpcell.2001.281.6.C1898.
4
Evidence from fluorescence microscopy and comparative studies that rat, ovine and bovine colonic crypts are absorptive.来自荧光显微镜检查和比较研究的证据表明,大鼠、绵羊和牛的结肠隐窝具有吸收功能。
J Physiol. 1993 Jan;460:525-47. doi: 10.1113/jphysiol.1993.sp019485.
5
Radiation induced cytochrome c release causes loss of rat colonic fluid absorption by damage to crypts and pericryptal myofibroblasts.辐射诱导的细胞色素c释放通过损伤隐窝和隐窝周围肌成纤维细胞导致大鼠结肠液体吸收功能丧失。
Gut. 2000 Nov;47(5):675-84. doi: 10.1136/gut.47.5.675.
6
Regional differences in rat large intestinal crypt function in relation to dehydrating capacity in vivo.大鼠大肠隐窝功能的区域差异与体内脱水能力的关系
J Physiol. 1999 Jan 1;514 ( Pt 1)(Pt 1):201-10. doi: 10.1111/j.1469-7793.1999.201af.x.
7
Regional crypt function in rat large intestine in relation to fluid absorption and growth of the pericryptal sheath.大鼠大肠局部隐窝功能与液体吸收及隐窝周围鞘生长的关系
J Physiol. 1999 Jan 1;514 ( Pt 1)(Pt 1):211-27. doi: 10.1111/j.1469-7793.1999.211af.x.
8
Alterations in colonic barrier function caused by a low sodium diet or ionizing radiation.低钠饮食或电离辐射引起的结肠屏障功能改变。
J Environ Pathol Toxicol Oncol. 2004;23(2):79-97. doi: 10.1615/jenvpathtoxoncol.v23.i2.10.
9
Role of vasopressin in rat distal colon function.血管加压素在大鼠远端结肠功能中的作用。
J Physiol. 2007 Jan 15;578(Pt 2):413-24. doi: 10.1113/jphysiol.2006.118315. Epub 2006 Nov 2.
10
The dehydrating function of the descending colon in relationship to crypt function.降结肠的脱水功能与隐窝功能的关系。
Physiol Res. 1994;43(2):65-73.

引用本文的文献

1
I, 2. Physiology and pathophysiology of the gut in relation to viral diarrhea.I, 2. 肠道与病毒性腹泻相关的生理学和病理生理学。
Perspect Med Virol. 2003;9:23-50. doi: 10.1016/S0168-7069(03)09003-7. Epub 2004 Sep 14.
2
HDAC-4 regulates claudin-2 expression in EGFR-ERK1/2 dependent manner to regulate colonic epithelial cell differentiation.组蛋白去乙酰化酶4以依赖表皮生长因子受体-细胞外信号调节激酶1/2的方式调控紧密连接蛋白2的表达,进而调节结肠上皮细胞分化。
Oncotarget. 2017 Sep 23;8(50):87718-87736. doi: 10.18632/oncotarget.21190. eCollection 2017 Oct 20.
3
Convective washout reduces the antidiarrheal efficacy of enterocyte surface-targeted antisecretory drugs.

本文引用的文献

1
Electrogenic Na+ absorption of rat distal colon is confined to surface epithelium: a voltage-scanning study.大鼠远端结肠的电生性钠吸收局限于表面上皮:一项电压扫描研究。
Am J Physiol. 1993 May;264(5 Pt 1):C1285-93. doi: 10.1152/ajpcell.1993.264.5.C1285.
2
Evidence from fluorescence microscopy and comparative studies that rat, ovine and bovine colonic crypts are absorptive.来自荧光显微镜检查和比较研究的证据表明,大鼠、绵羊和牛的结肠隐窝具有吸收功能。
J Physiol. 1993 Jan;460:525-47. doi: 10.1113/jphysiol.1993.sp019485.
3
Effects on fluid and Na+ flux of varying luminal hydraulic resistance in rat colon in vivo.
对流清除会降低肠上皮细胞表面靶向抗分泌药物的止泻疗效。
J Gen Physiol. 2013 Feb;141(2):261-72. doi: 10.1085/jgp.201210885.
4
Pericryptal myofibroblast growth in rat descending colon induced by low-sodium diets is mediated by aldosterone and not by angiotensin II.低钠饮食诱导的大鼠降结肠隐窝周围肌成纤维细胞生长是由醛固酮介导的,而非由血管紧张素II介导。
J Membr Biol. 2005 Jul;206(1):53-9. doi: 10.1007/s00232-005-0773-4.
5
The hormonal control of uterine luminal fluid secretion and absorption.子宫腔液分泌与吸收的激素调控
J Membr Biol. 2005 Jul;206(1):17-28. doi: 10.1007/s00232-005-0770-7.
6
Evidence of amiloride-sensitive fluid absorption in rat descending colonic crypts from fluorescence recovery of FITC-labelled dextran after photobleaching.光漂白后FITC标记葡聚糖荧光恢复显示大鼠降结肠隐窝中存在氨氯地平敏感的液体吸收证据。
J Physiol. 2001 Oct 15;536(Pt 2):541-53. doi: 10.1111/j.1469-7793.2001.0541c.xd.
7
Radiation induced cytochrome c release causes loss of rat colonic fluid absorption by damage to crypts and pericryptal myofibroblasts.辐射诱导的细胞色素c释放通过损伤隐窝和隐窝周围肌成纤维细胞导致大鼠结肠液体吸收功能丧失。
Gut. 2000 Nov;47(5):675-84. doi: 10.1136/gut.47.5.675.
8
Comparison of cattle and sheep colonic permeabilities to horseradish peroxidase and hamster scrapie prion protein in vitro.牛和羊结肠对辣根过氧化物酶和仓鼠瘙痒病朊病毒蛋白的体外通透性比较。
Gut. 1999 Dec;45(6):879-88. doi: 10.1136/gut.45.6.879.
9
Regional crypt function in rat large intestine in relation to fluid absorption and growth of the pericryptal sheath.大鼠大肠局部隐窝功能与液体吸收及隐窝周围鞘生长的关系
J Physiol. 1999 Jan 1;514 ( Pt 1)(Pt 1):211-27. doi: 10.1111/j.1469-7793.1999.211af.x.
10
Regional differences in rat large intestinal crypt function in relation to dehydrating capacity in vivo.大鼠大肠隐窝功能的区域差异与体内脱水能力的关系
J Physiol. 1999 Jan 1;514 ( Pt 1)(Pt 1):201-10. doi: 10.1111/j.1469-7793.1999.201af.x.
体内大鼠结肠中不同管腔水力阻力对液体和钠离子通量的影响。
J Physiol. 1994 Jun 15;477 ( Pt 3)(Pt 3):539-48. doi: 10.1113/jphysiol.1994.sp020214.
4
Effect of somatostatin on cell volume, Cl- currents, and transepithelial Cl- transport in rat distal colon.生长抑素对大鼠远端结肠细胞体积、氯离子电流及跨上皮氯离子转运的影响
Am J Physiol. 1994 Jun;266(6 Pt 1):G1043-52. doi: 10.1152/ajpgi.1994.266.6.G1043.
5
Aquaporin CHIP: the archetypal molecular water channel.水通道蛋白CHIP:典型的分子水通道
Am J Physiol. 1993 Oct;265(4 Pt 2):F463-76. doi: 10.1152/ajprenal.1993.265.4.F463.
6
Extrarenal tissue distribution of CHIP28 water channels by in situ hybridization and antibody staining.通过原位杂交和抗体染色检测CHIP28水通道蛋白的肾外组织分布。
Am J Physiol. 1994 Apr;266(4 Pt 1):C893-903. doi: 10.1152/ajpcell.1994.266.4.C893.
7
Effects of unstirred layers on membrane phenomena.未搅拌层对膜现象的影响。
Physiol Rev. 1984 Jul;64(3):763-872. doi: 10.1152/physrev.1984.64.3.763.
8
Crypts are the site of intestinal fluid and electrolyte secretion.肠腺是肠道分泌液体和电解质的部位。
Science. 1982 Dec 17;218(4578):1219-21. doi: 10.1126/science.6293054.
9
Morphologic and biochemical evidence for a contractile cell network within the rat intestinal mucosa.大鼠肠黏膜内收缩细胞网络的形态学和生化证据。
Gastroenterology. 1987 Jan;92(1):68-81. doi: 10.1016/0016-5085(87)90841-9.
10
Rabbit distal colon epithelium: I. Isolation and characterization of basolateral plasma membrane vesicles from surface and crypt cells.兔远端结肠上皮:I. 从表面细胞和隐窝细胞中分离和鉴定基底外侧质膜囊泡。
J Membr Biol. 1989 Sep;110(2):147-62. doi: 10.1007/BF01869470.