• 文献检索
  • 文档翻译
  • 深度研究
  • 学术资讯
  • Suppr Zotero 插件Zotero 插件
  • 邀请有礼
  • 套餐&价格
  • 历史记录
应用&插件
Suppr Zotero 插件Zotero 插件浏览器插件Mac 客户端Windows 客户端微信小程序
定价
高级版会员购买积分包购买API积分包
服务
文献检索文档翻译深度研究API 文档MCP 服务
关于我们
关于 Suppr公司介绍联系我们用户协议隐私条款
关注我们

Suppr 超能文献

核心技术专利:CN118964589B侵权必究
粤ICP备2023148730 号-1Suppr @ 2026

文献检索

告别复杂PubMed语法,用中文像聊天一样搜索,搜遍4000万医学文献。AI智能推荐,让科研检索更轻松。

立即免费搜索

文件翻译

保留排版,准确专业,支持PDF/Word/PPT等文件格式,支持 12+语言互译。

免费翻译文档

深度研究

AI帮你快速写综述,25分钟生成高质量综述,智能提取关键信息,辅助科研写作。

立即免费体验

流感病毒诱导的肺炎的发病机制:一氧化氮和氧自由基的参与

Pathogenesis of influenza virus-induced pneumonia: involvement of both nitric oxide and oxygen radicals.

作者信息

Akaike T, Noguchi Y, Ijiri S, Setoguchi K, Suga M, Zheng Y M, Dietzschold B, Maeda H

机构信息

Department of Microbiology, Kumamoto University School of Medicine, Japan.

出版信息

Proc Natl Acad Sci U S A. 1996 Mar 19;93(6):2448-53. doi: 10.1073/pnas.93.6.2448.

DOI:10.1073/pnas.93.6.2448
PMID:8637894
原文链接:https://pmc.ncbi.nlm.nih.gov/articles/PMC39817/
Abstract

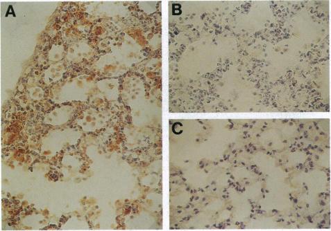
The role of nitric oxide (NO) in the pathogenesis of influenza virus-induced pneumonia in mice was investigated. Experimental influenza virus pneumonia was produced with influenza virus A/Kumamoto/Y5/67(H2N2). Both the enzyme activity of NO synthase (NOS) and mRNA expression of the inducible NOS were greatly increased in the mouse lungs; increases were mediated by interferon gamma. Excessive production of NO in the virus-infected lung was studied further by using electron spin resonance (ESR) spectroscopy. In vivo spin trapping with dithiocarbamate-iron complexes indicated that a significant amount of NO was generated in the virus-infected lung. Furthermore, an NO-hemoglobin ESR signal appeared in the virus-infected lung, and formation of NO-hemoglobin was significantly increased by treatment with superoxide dismutase and was inhibited by N(omega)-monomethyl-L-arginine (L-NMMA) administration. Immunohistochemistry with a specific anti-nitrotyrosine antibody showed intense staining of alveolar phagocytic cells such as macrophages and neutrophils and of intraalveolar exudate in the virus-infected lung. These results strongly suggest formation of peroxynitrite in the lung through the reaction of NO with O2-, which is generated by alveolar phagocytic cells and xanthine oxidase. In addition, administration of L-NMMA resulted in significant improvement in the survival rate of virus-infected mice without appreciable suppression of their antiviral defenses. On the basis of these data, we conclude that NO together with O2- which forms more reactive peroxynitrite may be the most important pathogenic factors in influenza virus-induced pneumonia in mice.

摘要

研究了一氧化氮(NO)在小鼠流感病毒诱导性肺炎发病机制中的作用。用甲型流感病毒A/熊本/Y5/67(H2N2)诱发实验性流感病毒肺炎。小鼠肺组织中一氧化氮合酶(NOS)的酶活性和诱导型NOS的mRNA表达均显著增加;这些增加是由γ干扰素介导的。通过电子自旋共振(ESR)光谱进一步研究了病毒感染肺组织中NO的过量产生。用二硫代氨基甲酸盐-铁络合物进行体内自旋捕获表明,病毒感染的肺组织中产生了大量NO。此外,病毒感染的肺组织中出现了NO-血红蛋白ESR信号,超氧化物歧化酶处理可显著增加NO-血红蛋白的形成,而N(ω)-单甲基-L-精氨酸(L-NMMA)给药可抑制其形成。用特异性抗硝基酪氨酸抗体进行免疫组织化学分析显示,病毒感染的肺组织中肺泡吞噬细胞如巨噬细胞和中性粒细胞以及肺泡内渗出物有强烈染色。这些结果有力地表明,肺组织中通过NO与O2-反应形成过氧亚硝酸盐,O2-由肺泡吞噬细胞和黄嘌呤氧化酶产生。此外,给予L-NMMA可显著提高病毒感染小鼠的存活率,而对其抗病毒防御无明显抑制作用。基于这些数据,我们得出结论,NO与形成更具反应性的过氧亚硝酸盐的O2-一起可能是小鼠流感病毒诱导性肺炎中最重要的致病因素。

https://cdn.ncbi.nlm.nih.gov/pmc/blobs/942a/39817/94a07e72e445/pnas01510-0222-a.jpg
https://cdn.ncbi.nlm.nih.gov/pmc/blobs/942a/39817/b4c973d8923b/pnas01510-0220-a.jpg
https://cdn.ncbi.nlm.nih.gov/pmc/blobs/942a/39817/94a07e72e445/pnas01510-0222-a.jpg
https://cdn.ncbi.nlm.nih.gov/pmc/blobs/942a/39817/b4c973d8923b/pnas01510-0220-a.jpg
https://cdn.ncbi.nlm.nih.gov/pmc/blobs/942a/39817/94a07e72e445/pnas01510-0222-a.jpg

相似文献

1
Pathogenesis of influenza virus-induced pneumonia: involvement of both nitric oxide and oxygen radicals.流感病毒诱导的肺炎的发病机制:一氧化氮和氧自由基的参与
Proc Natl Acad Sci U S A. 1996 Mar 19;93(6):2448-53. doi: 10.1073/pnas.93.6.2448.
2
Suppression of herpes simplex virus type 1 (HSV-1)-induced pneumonia in mice by inhibition of inducible nitric oxide synthase (iNOS, NOS2).通过抑制诱导型一氧化氮合酶(iNOS,NOS2)抑制小鼠单纯疱疹病毒1型(HSV-1)诱导的肺炎。
J Exp Med. 1997 May 5;185(9):1533-40. doi: 10.1084/jem.185.9.1533.
3
Therapeutic effect of erythromycin on influenza virus-induced lung injury in mice.红霉素对流感病毒诱导的小鼠肺损伤的治疗作用。
Am J Respir Crit Care Med. 1998 Mar;157(3 Pt 1):853-7. doi: 10.1164/ajrccm.157.3.9703098.
4
Osteoclast radical interactions: NADPH causes pulsatile release of NO and stimulates superoxide production.破骨细胞自由基相互作用:烟酰胺腺嘌呤二核苷酸磷酸(NADPH)引起一氧化氮(NO)的脉冲式释放并刺激超氧化物的产生。
Endocrinology. 1995 Nov;136(11):5244-7. doi: 10.1210/endo.136.11.7588266.
5
Nitric oxide synthase inhibitors decrease human polymorphonuclear leukocyte luminol-dependent chemiluminescence.一氧化氮合酶抑制剂可降低人多形核白细胞鲁米诺依赖性化学发光。
Free Radic Biol Med. 1995 Dec;19(6):741-8. doi: 10.1016/0891-5849(95)00065-6.
6
Nitric oxide synthase inhibitors affect nitric oxide synthesis in normoxic but not in ischemic organs during intestinal ischemia and early reperfusion.一氧化氮合酶抑制剂在肠缺血和早期再灌注期间影响正常氧合器官而非缺血器官中的一氧化氮合成。
J Lab Clin Med. 2002 Nov;140(5):303-11. doi: 10.1067/mlc.2002.128180.
7
Spin trapping agent, phenyl N-tert-butyl nitrone, inhibits induction of nitric oxide synthase in endotoxin-induced shock in mice.自旋捕捉剂苯基 N-叔丁基硝酮可抑制小鼠内毒素诱导性休克中一氧化氮合酶的诱导。
Biochem Biophys Res Commun. 1995 Oct 4;215(1):114-21. doi: 10.1006/bbrc.1995.2440.
8
Management of the virulent influenza virus infection by oral formulation of nonhydrolized carnosine and isopeptide of carnosine attenuating proinflammatory cytokine-induced nitric oxide production.通过口服非水解肌肽和肌肽异肽制剂来管理毒力流感病毒感染,减轻促炎细胞因子诱导的一氧化氮产生。
Am J Ther. 2012 Jan;19(1):e25-47. doi: 10.1097/MJT.0b013e3181dcf589.
9
Involvement of the perferryl complex of nitric oxide synthase in the catalysis of secondary free radical formation.
Biochim Biophys Acta. 2001 Apr 3;1526(1):95-104. doi: 10.1016/s0304-4165(01)00114-3.
10
Nitric oxide preserves the glomerular protein permeability barrier by antagonizing superoxide.一氧化氮通过对抗超氧化物来维持肾小球蛋白质通透屏障。
Kidney Int. 2005 Dec;68(6):2735-44. doi: 10.1111/j.1523-1755.2005.00744.x.

引用本文的文献

1
Age Matters: Key Contributors to Interferon Toxicity in Infants During Influenza Virus Infection.年龄很重要:流感病毒感染期间婴儿干扰素毒性的关键促成因素
Viruses. 2025 Jul 17;17(7):1002. doi: 10.3390/v17071002.
2
Antioxidant Response as a Candidate Prognostic Factor for Dengue Hypotensive and Hemorrhagic Complications: Results from a Nested Case-Control Study in Colombia.抗氧化反应作为登革热低血压和出血并发症的候选预后因素:哥伦比亚一项巢式病例对照研究的结果
Trop Med Infect Dis. 2025 Jan 4;10(1):14. doi: 10.3390/tropicalmed10010014.
3
Acute Chikungunya Infection Induces Vascular Dysfunction by Directly Disrupting Redox Signaling in Endothelial Cells.

本文引用的文献

1
Effect of neurotropic virus infection on neuronal and inducible nitric oxide synthase activity in rat brain.嗜神经病毒感染对大鼠脑内神经元型和诱导型一氧化氮合酶活性的影响。
J Neurovirol. 1995 Mar;1(1):118-25. doi: 10.3109/13550289509111016.
2
The reaction of no with superoxide.一氧化氮与超氧化物的反应。
Free Radic Res Commun. 1993;18(4):195-9. doi: 10.3109/10715769309145868.
3
A redox-based mechanism for the neuroprotective and neurodestructive effects of nitric oxide and related nitroso-compounds.一种基于氧化还原的机制,用于解释一氧化氮及相关亚硝基化合物的神经保护和神经破坏作用。
急性基孔肯雅热感染通过直接破坏内皮细胞中的氧化还原信号诱导血管功能障碍。
Cells. 2024 Oct 25;13(21):1770. doi: 10.3390/cells13211770.
4
C G composition in transposon-derived genes is increased in FXD with perturbed immune system.在免疫系统受到干扰的脆性X相关障碍(FXD)中,转座子衍生基因中的CG含量增加。
NAR Mol Med. 2024 Oct 10;1(4):ugae015. doi: 10.1093/narmme/ugae015. eCollection 2024 Oct.
5
Nitric Oxide Signaling and Sensing in Age-Related Diseases.一氧化氮在衰老相关疾病中的信号传导与感知
Antioxidants (Basel). 2024 Oct 9;13(10):1213. doi: 10.3390/antiox13101213.
6
Role of aryl hydrocarbon receptors in infection and inflammation.芳基烃受体在感染和炎症中的作用。
Front Immunol. 2024 Apr 12;15:1367734. doi: 10.3389/fimmu.2024.1367734. eCollection 2024.
7
Nitric oxide and viral infection: Recent developments in antiviral therapies and platforms.一氧化氮与病毒感染:抗病毒疗法及平台的最新进展
Appl Mater Today. 2021 Mar;22:100887. doi: 10.1016/j.apmt.2020.100887. Epub 2020 Dec 5.
8
Saying no to SARS-CoV-2: the potential of nitric oxide in the treatment of COVID-19 pneumonia.拒绝 SARS-CoV-2:一氧化氮在治疗 COVID-19 肺炎中的潜力。
Med Gas Res. 2024 Apr-Jun;14(2):39-47. doi: 10.4103/2045-9912.385414.
9
Supersulphides provide airway protection in viral and chronic lung diseases.过硫化物为病毒和慢性肺部疾病提供气道保护。
Nat Commun. 2023 Jul 25;14(1):4476. doi: 10.1038/s41467-023-40182-4.
10
Overexpression of TRIM16 Reduces the Titer of H5N1 Highly Pathogenic Avian Influenza Virus and Promotes the Expression of Antioxidant Genes through Regulating the SQSTM1-NRF2-KEAP1 Axis.TRIM16 过表达通过调控 SQSTM1-NRF2-KEAP1 轴降低 H5N1 高致病性禽流感病毒滴度并促进抗氧化基因的表达。
Viruses. 2023 Jan 30;15(2):391. doi: 10.3390/v15020391.
Nature. 1993 Aug 12;364(6438):626-32. doi: 10.1038/364626a0.
4
Evidence for antiviral effect of nitric oxide. Inhibition of herpes simplex virus type 1 replication.一氧化氮抗病毒作用的证据。对单纯疱疹病毒1型复制的抑制。
J Clin Invest. 1993 Jun;91(6):2446-52. doi: 10.1172/JCI116479.
5
In vivo spin trapping of nitric oxide in mice.小鼠体内一氧化氮的自旋捕获
Biochem Biophys Res Commun. 1993 Sep 30;195(3):1191-8. doi: 10.1006/bbrc.1993.2170.
6
Extensive nitration of protein tyrosines in human atherosclerosis detected by immunohistochemistry.通过免疫组织化学检测人类动脉粥样硬化中蛋白质酪氨酸的广泛硝化作用。
Biol Chem Hoppe Seyler. 1994 Feb;375(2):81-8. doi: 10.1515/bchm3.1994.375.2.81.
7
Epr evidence of nitric oxide production by the regenerating rat liver.再生大鼠肝脏产生一氧化氮的epr证据。
Biochem Biophys Res Commun. 1994 Jul 15;202(1):571-6. doi: 10.1006/bbrc.1994.1966.
8
Therapeutic effects of imidazolineoxyl N-oxide against endotoxin shock through its direct nitric oxide-scavenging activity.咪唑啉氧基氮氧化物通过其直接清除一氧化氮的活性对内毒素休克的治疗作用。
Biochem Biophys Res Commun. 1994 Jul 29;202(2):923-30. doi: 10.1006/bbrc.1994.2018.
9
Multiple functions of nitric oxide in pathophysiology and microbiology: analysis by a new nitric oxide scavenger.一氧化氮在病理生理学和微生物学中的多种功能:用一种新型一氧化氮清除剂进行分析
J Leukoc Biol. 1994 Nov;56(5):588-92. doi: 10.1002/jlb.56.5.588.
10
Oxidative stress, glutamate, and neurodegenerative disorders.氧化应激、谷氨酸与神经退行性疾病。
Science. 1993 Oct 29;262(5134):689-95. doi: 10.1126/science.7901908.