Suppr超能文献

Skeletal muscle pathology in chronic heart block.

作者信息

Lambert C D, Fairfax A J

出版信息

J Clin Pathol. 1977 May;30(5):467-72. doi: 10.1136/jcp.30.5.467.

Abstract

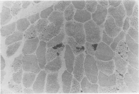
Skeletal muscle samples, mainly from the deltoid, were studied morphologically and histochemically in 35 patients with chronic heart block and from nine elderly control subject. The average age of the first group was 67-7 (range 11-94) years. Abnormalities were present in 20 cases, no difference being found between patients with idiopathic and secondary heart block. In 15 samples there was increased oxidative enzyme activity in some muscle fibres, and in six there was fibre type grouping. Six had unexplained type 11 fibre atrophy and two had a predominance of type 1 fibres. Tubular aggregates were conspicuous in one biopsy specimen, and in another, rod bodies were found. Minor abnormalities were also seen in the control group. In the absence of any consistent pattern many of these changes were attributed to ageing.

摘要
https://cdn.ncbi.nlm.nih.gov/pmc/blobs/c6af/476442/c84340f43880/jclinpath00163-0075-a.jpg

相似文献

1
Skeletal muscle pathology in chronic heart block.
J Clin Pathol. 1977 May;30(5):467-72. doi: 10.1136/jcp.30.5.467.
2
Arthrogryposis multiplex congenita. 2. Muscle pathology and pathogenesis.
J Neurol Neurosurg Psychiatry. 1972 Aug;35(4):435-50. doi: 10.1136/jnnp.35.4.435.
3
Neurogenic muscle involvement in myasthenia gravis. A clinical and histopathological study.
J Neurol Neurosurg Psychiatry. 1973 Apr;36(2):244-54. doi: 10.1136/jnnp.36.2.244.

本文引用的文献

1
The specificity of the histochemical method for adenosine triphosphatase.
J Histochem Cytochem. 1955 May;3(3):170-95. doi: 10.1177/3.3.170.
2
Histochemical detection of phosphorylase in animal tissues.
J Histochem Cytochem. 1955 May;3(3):153-60. doi: 10.1177/3.3.153.
3
ETIOLOGY AND PATHOLOGY OF BILATERAL BUNDLE BRANCH BLOCK IN RELATION TO COMPLETE HEART BLOCK.
Prog Cardiovasc Dis. 1964 Mar;6:409-44. doi: 10.1016/s0033-0620(64)80001-3.
4
NEMALINE MYOPATHY. A NEW CONGENITAL MYOPATHY.
Brain. 1963 Dec;86:793-810. doi: 10.1093/brain/86.4.793.
6
Mitochondrial localization of oxidative enzymes: staining results with two tetrazolium salts.
J Biophys Biochem Cytol. 1961 Jan;9(1):47-61. doi: 10.1083/jcb.9.1.47.
9
A-V dissociation in dystrophia myotonica.
Br Heart J. 1953 Jul;15(3):357-9. doi: 10.1136/hrt.15.3.357.
10
Ophthalmoplegia plus. The neurodegenerative disorders associated with progressive external ophthalmoplegia.
Arch Neurol. 1968 Jun;18(6):654-74. doi: 10.1001/archneur.1968.00470360076008.

文献AI研究员

20分钟写一篇综述,助力文献阅读效率提升50倍。

立即体验

用中文搜PubMed

大模型驱动的PubMed中文搜索引擎

马上搜索

文档翻译

学术文献翻译模型,支持多种主流文档格式。

立即体验