Suppr超能文献

类风湿关节炎患者滑膜中细胞凋亡的定位及凋亡相关蛋白的表达

Localisation of apoptosis and expression of apoptosis related proteins in the synovium of patients with rheumatoid arthritis.

作者信息

Sugiyama M, Tsukazaki T, Yonekura A, Matsuzaki S, Yamashita S, Iwasaki K

机构信息

Department of Orthopaedic Surgery, Nagasaki University School of Medicine, Japan.

出版信息

Ann Rheum Dis. 1996 Jul;55(7):442-9. doi: 10.1136/ard.55.7.442.

Abstract

OBJECTIVES

To investigate whether apoptosis occurs in the synovium of rheumatoid arthritis (RA), and the intermediate molecules operating in this process.

METHODS

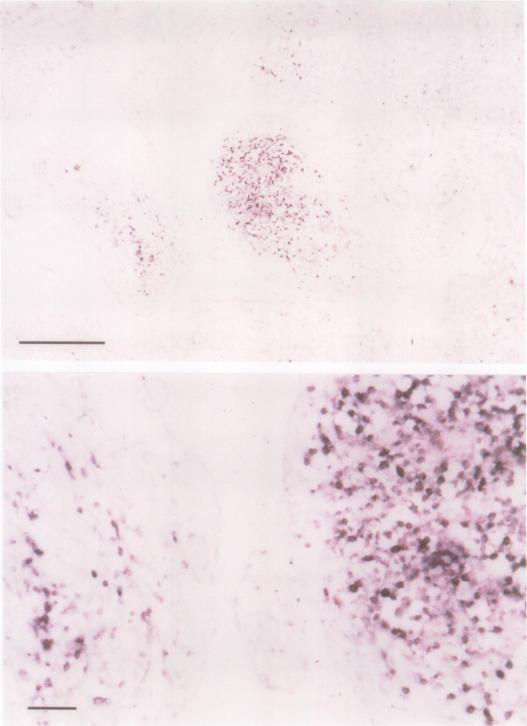
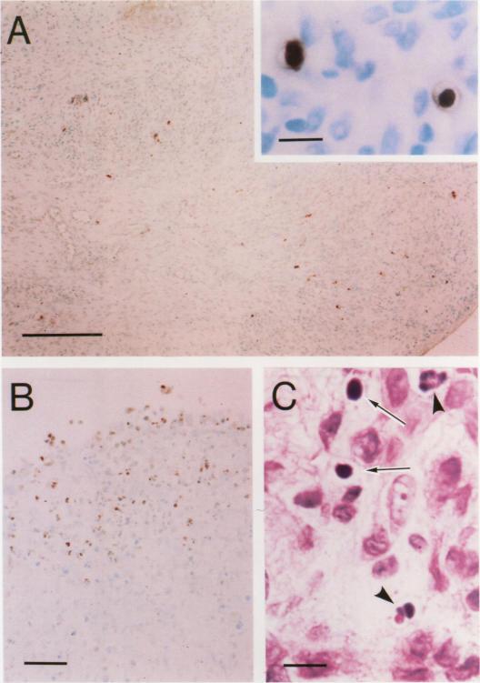
DNA fragmentation was detected by in situ nick end labelling (ISNEL) in the synovium of patients with RA (n = 11) and control patients with femoral neck fracture (n = 5). The expression of proteins p53, p21WAFI/CIPI, c-myc, proliferating cell nuclear antigen (PCNA), and Bcl-2 was also examined by immunohistochemistry.

RESULTS

ISNEL positive synovial cells with apoptosis specific morphology were detected in extremely limited areas in only two RA synovial tissue specimens. Proteins p53, p21WAFI/CIPI, and c-myc, known inducers of apoptosis or cell cycle arrest or both, were expressed in the sublining cells independent of ISNEL positive cells. PCNA, a marker for cell proliferation, was observed in the synovial lining cells. Bcl-2, an inhibitor of apoptosis, was expressed mainly in infiltrated lymphocytes and in parts of the sublining layer cells of RA; it also did not correspond with ISNEL staining.

CONCLUSIONS

Our findings indicate that RA synovial cells undergo apoptosis in addition to cell proliferation, but the frequency of apoptosis was very low. We suspect that the apoptotic process in the RA synovium may be suppressed by over-expression of Bcl-2. Although expressed proteins p53, p21WAFI/CIPI, and c-myc were present in the RA synovium, these protooncogenes are probably not implicated in the apoptotic process.

摘要

目的

研究类风湿关节炎(RA)滑膜中是否发生细胞凋亡以及在此过程中起作用的中间分子。

方法

采用原位缺口末端标记法(ISNEL)检测11例RA患者和5例股骨颈骨折对照患者滑膜中的DNA片段化情况。同时采用免疫组织化学法检测p53、p21WAFI/CIPI、c-myc、增殖细胞核抗原(PCNA)和Bcl-2蛋白的表达。

结果

仅在两份RA滑膜组织标本的极有限区域检测到具有凋亡特异性形态的ISNEL阳性滑膜细胞。已知的凋亡诱导剂或细胞周期阻滞剂或两者兼有的p53、p21WAFI/CIPI和c-myc蛋白在滑膜下层细胞中表达,与ISNEL阳性细胞无关。细胞增殖标志物PCNA在滑膜衬里细胞中观察到。凋亡抑制剂Bcl-2主要在浸润淋巴细胞和RA滑膜下层部分细胞中表达;它也与ISNEL染色不对应。

结论

我们的研究结果表明,RA滑膜细胞除了细胞增殖外还会发生凋亡,但凋亡频率非常低。我们怀疑RA滑膜中的凋亡过程可能被Bcl-2的过度表达所抑制。虽然RA滑膜中存在p53、p21WAFI/CIPI和c-myc蛋白,但这些原癌基因可能与凋亡过程无关。

https://cdn.ncbi.nlm.nih.gov/pmc/blobs/d210/1010207/247c19627ad2/annrheumd00352-0043-a.jpg

文献检索

告别复杂PubMed语法,用中文像聊天一样搜索,搜遍4000万医学文献。AI智能推荐,让科研检索更轻松。

立即免费搜索

文件翻译

保留排版,准确专业,支持PDF/Word/PPT等文件格式,支持 12+语言互译。

免费翻译文档

深度研究

AI帮你快速写综述,25分钟生成高质量综述,智能提取关键信息,辅助科研写作。

立即免费体验