Kohno K, Palha J A, Miyakawa K, Saraiva M J, Ito S, Mabuchi T, Blaner W S, Iijima H, Tsukahara S, Episkopou V, Gottesman M E, Shimada K, Takahashi K, Yamamura K, Maeda S
Department of Biochemistry, Yamanashi Medical University, Yamanashi, Japan.
Am J Pathol. 1997 Apr;150(4):1497-508.
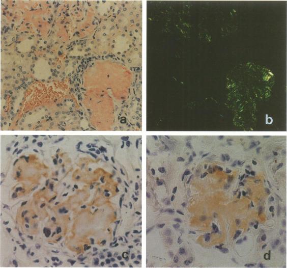
Amyloid fibrils derived from the Japanese, Portuguese, and Swedish types of familial amyloidotic polyneuropathy all consist of a variant transthyretin (TTR) with a substitution of methionine for valine at position 30 (TTR Met 30). In an attempt to establish an animal model of TTR Met-30-associated homozygous familial amyloidotic polyneuropathy and to study the structural and functional properties of human TTR Met 30, we generated a mouse line carrying a null mutation at the endogenous ttr locus (ttr-/-) and the human mutant ttr gene (6.0-hMet 30) as a transgene. In these mice, human TTR Met-30-derived amyloid deposits were first observed in the esophagus and stomach when the mice were 11 months of age. With advancing age, amyloid deposits extended to various other tissues. Because no significant difference was detected in the onset, progression, and tissue distribution of amyloid deposition between the ttr-/- and ttr+/+ transgenic mice expressing 6.0-hMet 30, endogenous normal mouse TTR probably does not affect the deposition of human TTR Met-30-derived amyloid in mice. TTR is a tetramer composed of four identical subunits that binds thyroxine (T4) and plasma retinol-binding protein. The introduction of 6.0-hMet 30 into the ttr-/- mice significantly increased their depressed serum levels of T4 and retinol-binding protein, suggesting that human TTR Met 30 binds T4 and retinol-binding protein in vivo. The T4-binding ability of human TTR Met 30 was confirmed by the analysis of T4-binding proteins in the sera of ttr-/- transgenic mice expressing 6.0-hMet 30. The T4-binding studies also demonstrated the presence of hybrid tetramers between mouse and human TTR subunits in the ttr+/+ transgenic mice expressing 6.0-hMet 30.
源自日本、葡萄牙和瑞典型家族性淀粉样多发性神经病的淀粉样纤维均由一种变体转甲状腺素蛋白(TTR)组成,该变体在第30位氨基酸处缬氨酸被甲硫氨酸取代(TTR Met 30)。为了建立与TTR Met-30相关的纯合家族性淀粉样多发性神经病的动物模型,并研究人TTR Met 30的结构和功能特性,我们构建了一个小鼠品系,其内源ttr基因座存在无效突变(ttr-/-),并将人突变ttr基因(6.0-hMet 30)作为转基因携带。在这些小鼠中,当小鼠11个月大时,首次在食管和胃中观察到源自人TTR Met-30的淀粉样沉积物。随着年龄增长,淀粉样沉积物扩展到其他各种组织。由于在表达6.0-hMet 30的ttr-/-和ttr+/+转基因小鼠之间,淀粉样沉积的发病、进展和组织分布未检测到显著差异,内源性正常小鼠TTR可能不影响人TTR Met-30衍生的淀粉样物质在小鼠中的沉积。TTR是一种由四个相同亚基组成的四聚体,可结合甲状腺素(T4)和血浆视黄醇结合蛋白。将6.0-hMet 30导入ttr-/-小鼠显著提高了其降低的血清T4和视黄醇结合蛋白水平,表明人TTR Met 30在体内可结合T4和视黄醇结合蛋白。通过对表达6.0-hMet 30的ttr-/-转基因小鼠血清中T4结合蛋白的分析,证实了人TTR Met 30的T4结合能力。T4结合研究还表明,在表达6.0-hMet 30的ttr+/+转基因小鼠中存在小鼠和人TTR亚基之间的杂交四聚体。