• 文献检索
  • 文档翻译
  • 深度研究
  • 学术资讯
  • Suppr Zotero 插件Zotero 插件
  • 邀请有礼
  • 套餐&价格
  • 历史记录
应用&插件
Suppr Zotero 插件Zotero 插件浏览器插件Mac 客户端Windows 客户端微信小程序
定价
高级版会员购买积分包购买API积分包
服务
文献检索文档翻译深度研究API 文档MCP 服务
关于我们
关于 Suppr公司介绍联系我们用户协议隐私条款
关注我们

Suppr 超能文献

核心技术专利:CN118964589B侵权必究
粤ICP备2023148730 号-1Suppr @ 2026

文献检索

告别复杂PubMed语法,用中文像聊天一样搜索,搜遍4000万医学文献。AI智能推荐,让科研检索更轻松。

立即免费搜索

文件翻译

保留排版,准确专业,支持PDF/Word/PPT等文件格式,支持 12+语言互译。

免费翻译文档

深度研究

AI帮你快速写综述,25分钟生成高质量综述,智能提取关键信息,辅助科研写作。

立即免费体验

无骨水泥型马洛里-黑德初次全髋关节置换术的结果:5至7年的回顾

Results of the cementless Mallory-Head primary total hip arthroplasty: a 5 to 7 year review.

作者信息

Mulliken B D, Bourne R B, Rorabeck C H, Nayak N

机构信息

University of Western Ontario, London, Canada.

出版信息

Iowa Orthop J. 1996;16:20-34.

PMID:9129271
原文链接:https://pmc.ncbi.nlm.nih.gov/articles/PMC2378136/
Abstract

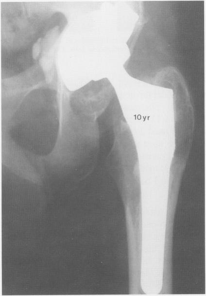
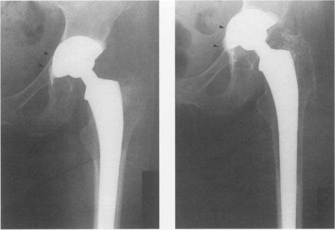
We reviewed the results of 172 plasma-sprayed, titanium primary total hip arthroplasties inserted without cement and followed 5 to 7 years. Hips were replaced for a wide range of diagnoses and patient ages. No femoral components had been revised nor were any considered unstable. Clinical results have been excellent; 88% of hips had either no or slight amount of pain and only 5% of patients had thigh pain when specifically asked. Radiographically, this femoral component achieved stability after an initial subsidence in 9% of cases. Extensive femoral bone resorption was rare, and distal cortical hypertrophy was commonly seen. Pelvic osteolysis occurred in 16 (9%) cases and was considered major in 10 of these. It was the cause of failure of 3 acetabular components. Femoral endosteal lysis was not observed. We concluded that mechanical stability of the Mallory-Head titanium total hip prostheses is excellent. However, significant pelvic osteolysis had occurred commonly with this implant design, and will continue to pose major reconstructive problems in the future.

摘要

我们回顾了172例无骨水泥植入的等离子喷涂钛金属初次全髋关节置换术的结果,这些病例随访了5至7年。置换髋关节的诊断范围广泛,患者年龄各异。没有股骨部件进行翻修,也没有任何部件被认为不稳定。临床结果非常好;88%的髋关节没有疼痛或仅有轻微疼痛,只有5%的患者在被特别询问时出现大腿疼痛。在影像学上,9%的病例中股骨部件在最初下沉后实现了稳定。广泛的股骨骨吸收很少见,常见远端皮质肥大。骨盆骨溶解发生在16例(9%)病例中,其中10例被认为是严重的。它是3个髋臼部件失败的原因。未观察到股骨髓腔内骨溶解。我们得出结论,马洛里-黑德钛全髋关节假体的机械稳定性极佳。然而,这种植入物设计常发生显著的骨盆骨溶解,未来仍将构成重大的重建问题。

https://cdn.ncbi.nlm.nih.gov/pmc/blobs/4040/2378136/2de54646e29a/iowaorthj00003-0064-a.jpg
https://cdn.ncbi.nlm.nih.gov/pmc/blobs/4040/2378136/557dbe97a9c4/iowaorthj00003-0058-a.jpg
https://cdn.ncbi.nlm.nih.gov/pmc/blobs/4040/2378136/28adc8a6e7b1/iowaorthj00003-0059-a.jpg
https://cdn.ncbi.nlm.nih.gov/pmc/blobs/4040/2378136/240ec262e75c/iowaorthj00003-0059-b.jpg
https://cdn.ncbi.nlm.nih.gov/pmc/blobs/4040/2378136/b3a172e43098/iowaorthj00003-0059-c.jpg
https://cdn.ncbi.nlm.nih.gov/pmc/blobs/4040/2378136/983dab951f84/iowaorthj00003-0060-a.jpg
https://cdn.ncbi.nlm.nih.gov/pmc/blobs/4040/2378136/b587c38b648c/iowaorthj00003-0062-a.jpg
https://cdn.ncbi.nlm.nih.gov/pmc/blobs/4040/2378136/4a063e053e36/iowaorthj00003-0063-a.jpg
https://cdn.ncbi.nlm.nih.gov/pmc/blobs/4040/2378136/2de54646e29a/iowaorthj00003-0064-a.jpg
https://cdn.ncbi.nlm.nih.gov/pmc/blobs/4040/2378136/557dbe97a9c4/iowaorthj00003-0058-a.jpg
https://cdn.ncbi.nlm.nih.gov/pmc/blobs/4040/2378136/28adc8a6e7b1/iowaorthj00003-0059-a.jpg
https://cdn.ncbi.nlm.nih.gov/pmc/blobs/4040/2378136/240ec262e75c/iowaorthj00003-0059-b.jpg
https://cdn.ncbi.nlm.nih.gov/pmc/blobs/4040/2378136/b3a172e43098/iowaorthj00003-0059-c.jpg
https://cdn.ncbi.nlm.nih.gov/pmc/blobs/4040/2378136/983dab951f84/iowaorthj00003-0060-a.jpg
https://cdn.ncbi.nlm.nih.gov/pmc/blobs/4040/2378136/b587c38b648c/iowaorthj00003-0062-a.jpg
https://cdn.ncbi.nlm.nih.gov/pmc/blobs/4040/2378136/4a063e053e36/iowaorthj00003-0063-a.jpg
https://cdn.ncbi.nlm.nih.gov/pmc/blobs/4040/2378136/2de54646e29a/iowaorthj00003-0064-a.jpg

相似文献

1
Results of the cementless Mallory-Head primary total hip arthroplasty: a 5 to 7 year review.无骨水泥型马洛里-黑德初次全髋关节置换术的结果:5至7年的回顾
Iowa Orthop J. 1996;16:20-34.
2
Acetabular osteolysis with cementless cups: a 5 to 7 year follow-up.
Acta Orthop Belg. 1997;63 Suppl 1:83-92.
3
Primary cementless hip arthroplasty with a titanium plasma sprayed prosthesis.采用钛等离子喷涂假体的初次非骨水泥型髋关节置换术。
Clin Orthop Relat Res. 1996 Dec(333):217-25.
4
Measurement of polyethylene wear in acetabular components inserted with and without cement. A randomized trial.测量有骨水泥和无骨水泥植入的髋臼部件中聚乙烯的磨损。一项随机试验。
J Bone Joint Surg Am. 1997 May;79(5):682-9. doi: 10.2106/00004623-199705000-00007.
5
A tapered titanium femoral stem inserted without cement in a total hip arthroplasty. Radiographic evaluation and stability.一种在全髋关节置换术中非骨水泥植入的锥形钛股骨柄。影像学评估与稳定性。
J Bone Joint Surg Am. 1996 Aug;78(8):1214-25. doi: 10.2106/00004623-199608000-00012.
6
Hybrid primary total hip arthroplasty: a 5- to 9-year followup study.混合式初次全髋关节置换术:一项5至9年的随访研究。
Clin Orthop Relat Res. 1996 Dec(333):126-33.
7
Primary total hip arthroplasty with a flattened press-fit acetabular component in osteoarthritis and inflammatory arthritis: a prospective study on 416 hips with 6-10 years follow-up.采用扁平压配髋臼组件的初次全髋关节置换术治疗骨关节炎和炎性关节炎:416例髋关节的前瞻性研究,随访6至10年。
Arch Orthop Trauma Surg. 2008 Dec;128(12):1379-86. doi: 10.1007/s00402-008-0731-6. Epub 2008 Aug 30.
8
Cementless total hip arthroplasty in patients with osteonecrosis of the femoral head.股骨头坏死患者的非骨水泥型全髋关节置换术
Clin Orthop Relat Res. 1995 Nov(320):73-84.
9
Minimum 10-year results of a tapered cementless hip replacement.锥形非骨水泥型髋关节置换术至少10年的随访结果。
Clin Orthop Relat Res. 1999 May(362):138-44.
10
[10-year survival of Zweymüller total prostheses in primary uncemented arthroplasty of the hip].[Zweymüller全髋关节置换假体在初次非骨水泥型髋关节置换术中的10年生存率]
Rev Chir Orthop Reparatrice Appar Mot. 1998 Sep;84(5):421-32.

引用本文的文献

1
Total hip replacement arthroplasty with Mallory-Head system--minimum ten-year follow-up results.Mallory-Head 系统全髋关节置换术——至少十年随访结果。
Int Orthop. 2012 Oct;36(10):2055-9. doi: 10.1007/s00264-012-1627-1. Epub 2012 Aug 4.

本文引用的文献

1
Primary total hip reconstruction with a titanium fiber-coated prosthesis inserted without cement.采用无骨水泥植入的钛纤维涂层假体进行初次全髋关节重建。
J Bone Joint Surg Am. 1993 Apr;75(4):554-71. doi: 10.2106/00004623-199304000-00010.
2
The clinical results and basic science of total hip arthroplasty with porous-coated prostheses.多孔涂层假体全髋关节置换术的临床结果与基础科学
J Bone Joint Surg Am. 1993 Feb;75(2):299-310. doi: 10.2106/00004623-199302000-00020.
3
The porous-coated anatomic total hip prosthesis, inserted without cement. Results after five to seven years in a prospective study.
J Bone Joint Surg Am. 1993 Jan;75(1):77-91. doi: 10.2106/00004623-199301000-00011.
4
Thigh pain in cementless total hip arthroplasty. A comparison of two systems at 2 years' follow-up.
Orthop Clin North Am. 1993 Oct;24(4):645-53.
5
The differences in toxicity and release of bone-resorbing mediators induced by titanium and cobalt-chromium-alloy wear particles.钛和钴铬合金磨损颗粒诱导的骨吸收介质的毒性和释放差异。
J Bone Joint Surg Am. 1993 Jun;75(6):825-34. doi: 10.2106/00004623-199306000-00004.
6
Severe osteolysis of the pelvic in association with acetabular replacement without cement.
J Bone Joint Surg Am. 1993 Nov;75(11):1627-35. doi: 10.2106/00004623-199311000-00007.
7
The relationship between the design, position, and articular wear of acetabular components inserted without cement and the development of pelvic osteolysis.非骨水泥型髋臼假体的设计、位置与关节磨损之间的关系以及骨盆骨溶解的发展情况。
J Bone Joint Surg Am. 1994 May;76(5):677-88. doi: 10.2106/00004623-199405000-00008.
8
Ingrowth surfaces. Plasma spray coating to titanium alloy hip replacements.
Clin Orthop Relat Res. 1994 Jan(298):37-46.
9
The prevalence of femoral osteolysis associated with components inserted with or without cement in total hip replacements. A retrospective matched-pair series.
J Bone Joint Surg Am. 1994 Aug;76(8):1121-9. doi: 10.2106/00004623-199408000-00002.
10
Pain in the thigh following total hip replacement with a porous-coated anatomic prosthesis for osteoarthrosis. A five-year follow-up study.
J Bone Joint Surg Am. 1994 Oct;76(10):1464-70. doi: 10.2106/00004623-199410000-00005.