• 文献检索
  • 文档翻译
  • 深度研究
  • 学术资讯
  • Suppr Zotero 插件Zotero 插件
  • 邀请有礼
  • 套餐&价格
  • 历史记录
应用&插件
Suppr Zotero 插件Zotero 插件浏览器插件Mac 客户端Windows 客户端微信小程序
定价
高级版会员购买积分包购买API积分包
服务
文献检索文档翻译深度研究API 文档MCP 服务
关于我们
关于 Suppr公司介绍联系我们用户协议隐私条款
关注我们

Suppr 超能文献

核心技术专利:CN118964589B侵权必究
粤ICP备2023148730 号-1Suppr @ 2026

文献检索

告别复杂PubMed语法,用中文像聊天一样搜索,搜遍4000万医学文献。AI智能推荐,让科研检索更轻松。

立即免费搜索

文件翻译

保留排版,准确专业,支持PDF/Word/PPT等文件格式,支持 12+语言互译。

免费翻译文档

深度研究

AI帮你快速写综述,25分钟生成高质量综述,智能提取关键信息,辅助科研写作。

立即免费体验

水产养殖系统中类硝化细菌的原位形态

In situ morphology of nitrifying-like bacteria in aquaculture systems.

作者信息

Johnson P W, Sieburth J M

出版信息

Appl Environ Microbiol. 1976 Mar;31(3):423-32. doi: 10.1128/aem.31.3.423-432.1976.

DOI:10.1128/aem.31.3.423-432.1976
PMID:938036
原文链接:https://pmc.ncbi.nlm.nih.gov/articles/PMC169790/
Abstract

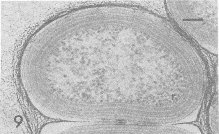
The in situ microbiota from several aquaculture facilities with active nitrification was examined by transmission electron microscopy of thin sections for the presence of bacteria that contained intracytoplasmic membranes characteristic of the nitrifying bacteria. Colonies of bacteria with the cellular morphology of a species of Nitrosomonas were found to be present in both the culture water and in the biological filter slime of a freshwater chinook salmon (Oncorhynchus tshawytscha) culture system. bacteria in the water possessed the normal nitrosomonas type of ultrastructure, whereas similar bacteria in the slime had an aberrant morphology due to multiple invaginations of the cell wall and cyto-membranes and a significantly greater number of ribosomes. These nitrosomonas-like bacteria lysed during enrichment in commonly used media. Bacteria with the morphology of species of Nitrosomonas and Nitrosococcus were also observed in colonies in the surface slimes of marine culture systems for striped bass (Morone saxatilis) and quahaug (Mercenaria mercenaria).

摘要

通过对薄切片进行透射电子显微镜检查,研究了来自几个具有活性硝化作用的水产养殖设施的原位微生物群,以寻找含有硝化细菌特征性胞内膜的细菌。在淡水奇努克鲑鱼(Oncorhynchus tshawytscha)养殖系统的养殖水和生物滤池黏液中,均发现了具有亚硝化单胞菌属物种细胞形态的细菌菌落。水中的细菌具有正常的亚硝化单胞菌超微结构类型,而黏液中的类似细菌由于细胞壁和细胞膜的多次内陷以及核糖体数量明显增多,具有异常形态。这些类似亚硝化单胞菌的细菌在常用培养基富集过程中会裂解。在条纹鲈(Morone saxatilis)和圆蛤(Mercenaria mercenaria)海水养殖系统的表面黏液菌落中,也观察到了具有亚硝化单胞菌属和亚硝化球菌属物种形态的细菌。

https://cdn.ncbi.nlm.nih.gov/pmc/blobs/935b/169790/3f69256d9963/aem00003-0119-a.jpg
https://cdn.ncbi.nlm.nih.gov/pmc/blobs/935b/169790/c1f77ec474e5/aem00003-0114-a.jpg
https://cdn.ncbi.nlm.nih.gov/pmc/blobs/935b/169790/fa471b758651/aem00003-0114-b.jpg
https://cdn.ncbi.nlm.nih.gov/pmc/blobs/935b/169790/8c463a22ad73/aem00003-0114-c.jpg
https://cdn.ncbi.nlm.nih.gov/pmc/blobs/935b/169790/576f593c2b95/aem00003-0114-d.jpg
https://cdn.ncbi.nlm.nih.gov/pmc/blobs/935b/169790/704c2c68d158/aem00003-0114-e.jpg
https://cdn.ncbi.nlm.nih.gov/pmc/blobs/935b/169790/fa59ec91920c/aem00003-0116-a.jpg
https://cdn.ncbi.nlm.nih.gov/pmc/blobs/935b/169790/bc28e7d3ea17/aem00003-0116-b.jpg
https://cdn.ncbi.nlm.nih.gov/pmc/blobs/935b/169790/63df0492417c/aem00003-0116-c.jpg
https://cdn.ncbi.nlm.nih.gov/pmc/blobs/935b/169790/47352a8f5553/aem00003-0116-d.jpg
https://cdn.ncbi.nlm.nih.gov/pmc/blobs/935b/169790/22cc30ad5c6f/aem00003-0116-e.jpg
https://cdn.ncbi.nlm.nih.gov/pmc/blobs/935b/169790/6336a34ad902/aem00003-0117-a.jpg
https://cdn.ncbi.nlm.nih.gov/pmc/blobs/935b/169790/fb3329c4b2a4/aem00003-0117-b.jpg
https://cdn.ncbi.nlm.nih.gov/pmc/blobs/935b/169790/a025a74b50ba/aem00003-0117-c.jpg
https://cdn.ncbi.nlm.nih.gov/pmc/blobs/935b/169790/61ac34ac3353/aem00003-0118-a.jpg
https://cdn.ncbi.nlm.nih.gov/pmc/blobs/935b/169790/b84b1cc51ba6/aem00003-0118-b.jpg
https://cdn.ncbi.nlm.nih.gov/pmc/blobs/935b/169790/df01e190538f/aem00003-0118-c.jpg
https://cdn.ncbi.nlm.nih.gov/pmc/blobs/935b/169790/75b018bd8ebf/aem00003-0118-d.jpg
https://cdn.ncbi.nlm.nih.gov/pmc/blobs/935b/169790/3f69256d9963/aem00003-0119-a.jpg
https://cdn.ncbi.nlm.nih.gov/pmc/blobs/935b/169790/c1f77ec474e5/aem00003-0114-a.jpg
https://cdn.ncbi.nlm.nih.gov/pmc/blobs/935b/169790/fa471b758651/aem00003-0114-b.jpg
https://cdn.ncbi.nlm.nih.gov/pmc/blobs/935b/169790/8c463a22ad73/aem00003-0114-c.jpg
https://cdn.ncbi.nlm.nih.gov/pmc/blobs/935b/169790/576f593c2b95/aem00003-0114-d.jpg
https://cdn.ncbi.nlm.nih.gov/pmc/blobs/935b/169790/704c2c68d158/aem00003-0114-e.jpg
https://cdn.ncbi.nlm.nih.gov/pmc/blobs/935b/169790/fa59ec91920c/aem00003-0116-a.jpg
https://cdn.ncbi.nlm.nih.gov/pmc/blobs/935b/169790/bc28e7d3ea17/aem00003-0116-b.jpg
https://cdn.ncbi.nlm.nih.gov/pmc/blobs/935b/169790/63df0492417c/aem00003-0116-c.jpg
https://cdn.ncbi.nlm.nih.gov/pmc/blobs/935b/169790/47352a8f5553/aem00003-0116-d.jpg
https://cdn.ncbi.nlm.nih.gov/pmc/blobs/935b/169790/22cc30ad5c6f/aem00003-0116-e.jpg
https://cdn.ncbi.nlm.nih.gov/pmc/blobs/935b/169790/6336a34ad902/aem00003-0117-a.jpg
https://cdn.ncbi.nlm.nih.gov/pmc/blobs/935b/169790/fb3329c4b2a4/aem00003-0117-b.jpg
https://cdn.ncbi.nlm.nih.gov/pmc/blobs/935b/169790/a025a74b50ba/aem00003-0117-c.jpg
https://cdn.ncbi.nlm.nih.gov/pmc/blobs/935b/169790/61ac34ac3353/aem00003-0118-a.jpg
https://cdn.ncbi.nlm.nih.gov/pmc/blobs/935b/169790/b84b1cc51ba6/aem00003-0118-b.jpg
https://cdn.ncbi.nlm.nih.gov/pmc/blobs/935b/169790/df01e190538f/aem00003-0118-c.jpg
https://cdn.ncbi.nlm.nih.gov/pmc/blobs/935b/169790/75b018bd8ebf/aem00003-0118-d.jpg
https://cdn.ncbi.nlm.nih.gov/pmc/blobs/935b/169790/3f69256d9963/aem00003-0119-a.jpg

相似文献

1
In situ morphology of nitrifying-like bacteria in aquaculture systems.水产养殖系统中类硝化细菌的原位形态
Appl Environ Microbiol. 1976 Mar;31(3):423-32. doi: 10.1128/aem.31.3.423-432.1976.
2
Comparative analysis of nitrifying bacteria associated with freshwater and marine aquaria.淡水和海水水族箱中硝化细菌的比较分析
Appl Environ Microbiol. 1996 Aug;62(8):2888-96. doi: 10.1128/aem.62.8.2888-2896.1996.
3
Nitrification in the intertidal zone: influence of effluent type and effect of tannin on nitrifiers.潮间带的硝化作用:废水类型的影响及单宁对硝化细菌的作用
Appl Environ Microbiol. 1977 Nov;34(5):523-8. doi: 10.1128/aem.34.5.523-528.1977.
4
Effect of Metasystox-R on marine Nitrosomonas sp. as a nitrification inhibitor.甲基对硫磷作为硝化抑制剂对海洋亚硝化单胞菌属的影响。
Pak J Biol Sci. 2008 Feb 15;11(4):668-71. doi: 10.3923/pjbs.2008.668.671.
5
Purification of electron-transfer components of nitrifying and denitrifying bacteria and assay of intermediates.硝化细菌和反硝化细菌电子传递成分的纯化及中间产物的测定
Methods Enzymol. 1978;53:634-46. doi: 10.1016/s0076-6879(78)53063-2.
6
Identification of bacteria responsible for ammonia oxidation in freshwater aquaria.淡水水族箱中负责氨氧化的细菌的鉴定。
Appl Environ Microbiol. 2001 Dec;67(12):5791-800. doi: 10.1128/AEM.67.12.5791-5800.2001.
7
Susceptibility of ammonia-oxidizing bacteria to nitrification inhibitors.氨氧化细菌对硝化抑制剂的敏感性。
Z Naturforsch C J Biosci. 2003 Mar-Apr;58(3-4):282-7. doi: 10.1515/znc-2003-3-424.
8
Nitrification and nitrifying bacteria in the lower Seine River and estuary (France).法国塞纳河下游及河口的硝化作用与硝化细菌
Appl Environ Microbiol. 2003 Dec;69(12):7091-100. doi: 10.1128/AEM.69.12.7091-7100.2003.
9
Distribution of Nitrosomonas-related ammonia-oxidizing bacteria and Nitrobacter-related nitrite-oxidizing bacteria in two full-scale biological nutrient removal plants.两种规模化生物脱氮除磷工艺中硝化菌的分布。
Water Environ Res. 2013 Apr;85(4):374-81. doi: 10.2175/106143013x13596524516022.
10
Microenvironments and distribution of nitrifying bacteria in a membrane-bound biofilm.膜结合生物膜中硝化细菌的微环境与分布
Environ Microbiol. 2000 Dec;2(6):680-6. doi: 10.1046/j.1462-2920.2000.00150.x.

引用本文的文献

1
Nitrifying populations and the destruction of nitrogen dioxide in soil.土壤中硝化种群和二氧化氮的破坏。
Microb Ecol. 1977 Sep;4(3):233-40. doi: 10.1007/BF02015079.
2
Development of a heterotrophic bacterial community within a closed prawn aquaculture system.在一个封闭的对虾养殖系统中异养细菌群落的发展。
Microb Ecol. 1985 Dec;11(4):353-69. doi: 10.1007/BF02016817.
3
The surface growth and activity ofNitrobacter.硝化杆菌的表面生长和活性。

本文引用的文献

1
BIOLOGY OF BUDDING BACTERIA. 3. FINE STRUCTURE OF RHODOMICROBIUM AND HYPHOMICROBIUM SPP.出芽细菌的生物学。3. 红微菌属和生丝微菌属菌种的精细结构
J Bacteriol. 1965 Feb;89(2):503-12. doi: 10.1128/jb.89.2.503-512.1965.
2
Fine structure of methane and other hydrocarbon-utilizing bacteria.甲烷及其他利用碳氢化合物细菌的精细结构。
J Gen Microbiol. 1970 May;61(2):227-32. doi: 10.1099/00221287-61-2-227.
3
Comparison of the morphology and deoxyribonucleic acid composition of 27 strains of nitrifying bacteria.27株硝化细菌的形态与脱氧核糖核酸组成的比较
Microb Ecol. 1988 Jan;15(1):21-39. doi: 10.1007/BF02012950.
4
Effect of fluoride on nitrification of a concentrated industrial waste.氟化物对浓缩工业废水硝化作用的影响。
Appl Environ Microbiol. 1989 Jan;55(1):240-5. doi: 10.1128/aem.55.1.240-245.1989.
5
Attachment to autoclaved soil of bacterial cells from pure cultures of soil isolates.从土壤分离物的纯培养物中细菌细胞对高压蒸汽灭菌土壤的附着。
Appl Environ Microbiol. 1979 May;37(5):1031-7. doi: 10.1128/aem.37.5.1031-1037.1979.
6
Comparative analysis of nitrifying bacteria associated with freshwater and marine aquaria.淡水和海水水族箱中硝化细菌的比较分析
Appl Environ Microbiol. 1996 Aug;62(8):2888-96. doi: 10.1128/aem.62.8.2888-2896.1996.
J Bacteriol. 1971 Aug;107(2):563-9. doi: 10.1128/jb.107.2.563-569.1971.
4
Dialysis culture of microorganisms: design, theory, and results.微生物的透析培养:设计、理论与结果
Bacteriol Rev. 1969 Mar;33(1):1-47. doi: 10.1128/br.33.1.1-47.1969.
5
A low-viscosity epoxy resin embedding medium for electron microscopy.一种用于电子显微镜的低粘度环氧树脂包埋介质。
J Ultrastruct Res. 1969 Jan;26(1):31-43. doi: 10.1016/s0022-5320(69)90033-1.
6
Photosynthetic bacteria.光合细菌
Annu Rev Microbiol. 1967;21:285-324. doi: 10.1146/annurev.mi.21.100167.001441.
7
Autecological study of the chemoautotroph Nitrobacter by immunofluorescence.通过免疫荧光对化学自养型硝化细菌进行的个体生态学研究。
Appl Microbiol. 1974 Jan;27(1):124-9. doi: 10.1128/am.27.1.124-129.1974.
8
Method for in situ measurement of nitrification in a stream.溪流中硝化作用的原位测量方法。
Appl Microbiol. 1974 Dec;28(6):1082-3. doi: 10.1128/am.28.6.1082-1083.1974.
9
Autoradiography and immunofluorescence combined for autecological study of single cell activity with Nitrobacter as a model system.将放射自显影术和免疫荧光法结合起来,以硝化杆菌作为模型系统对单细胞活性进行个体生态学研究。
Appl Microbiol. 1975 Oct;30(4):676-84. doi: 10.1128/am.30.4.676-684.1975.
10
Length of incubation for enumerating nitrifying bacteria present in various environments.用于计数存在于各种环境中的硝化细菌的培养时间。
Appl Microbiol. 1975 Feb;29(2):265-8. doi: 10.1128/am.29.2.265-268.1975.