• 文献检索
  • 文档翻译
  • 深度研究
  • 学术资讯
  • Suppr Zotero 插件Zotero 插件
  • 邀请有礼
  • 套餐&价格
  • 历史记录
应用&插件
Suppr Zotero 插件Zotero 插件浏览器插件Mac 客户端Windows 客户端微信小程序
定价
高级版会员购买积分包购买API积分包
服务
文献检索文档翻译深度研究API 文档MCP 服务
关于我们
关于 Suppr公司介绍联系我们用户协议隐私条款
关注我们

Suppr 超能文献

核心技术专利:CN118964589B侵权必究
粤ICP备2023148730 号-1Suppr @ 2026

文献检索

告别复杂PubMed语法,用中文像聊天一样搜索,搜遍4000万医学文献。AI智能推荐,让科研检索更轻松。

立即免费搜索

文件翻译

保留排版,准确专业,支持PDF/Word/PPT等文件格式,支持 12+语言互译。

免费翻译文档

深度研究

AI帮你快速写综述,25分钟生成高质量综述,智能提取关键信息,辅助科研写作。

立即免费体验

在结直肠癌中,NM23-H1免疫染色与肿瘤分期呈负相关,但与总生存期或疾病复发无关。

NM23-H1 immunostaining is inversely associated with tumour staging but not overall survival or disease recurrence in colorectal carcinomas.

作者信息

Cheah P Y, Cao X, Eu K W, Seow-Choen F

机构信息

Department of Colorectal Surgery, Singapore General Hospital, Republic of Singapore.

出版信息

Br J Cancer. 1998 Apr;77(7):1164-8. doi: 10.1038/bjc.1998.193.

DOI:10.1038/bjc.1998.193
PMID:9569056
原文链接:https://pmc.ncbi.nlm.nih.gov/articles/PMC2150137/
Abstract

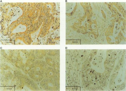
The NM23-H1 gene product has been recently identified as a potential metastasis suppressor. Studies on breast carcinomas have shown an inverse correlation between NM23-H1 status and stage of carcinogenesis and overall survival. However, in colorectal cancer, conflicting data have been reported. This study aimed to investigate whether NM23-H1 immunostaining is correlated with tumour stage, overall survival, disease recurrence, tumour differentiation, age and sex in colorectal carcinomas for the Singapore population using chi-square analysis. The staining was performed on 141 paraffin-embedded surgical specimens collected between 1991 and 1992 using a monoclonal anti-NM23-H1 antibody. Follow-up of patients was until time of death or for 5 years. There was a very significant inverse association between tumour staging and NM23-H1 status (P = 0.0004). However, NM23-H1 expression was not significantly correlated to overall 5-year survival, disease recurrence, tumour differentiation, age or sex. Thus, although NM23-H1 may be involved in suppressing metastasis, NM23-H1 immunohistochemistry has no prognostic value in colorectal cancer. This is the first report of a significant inverse association of NM23-H1 status with tumour staging in colorectal cancer which showed no correlation with overall survival or disease recurrence. Our result thus cautions against the practice of equating an inverse relation of genetic markers with tumour staging to survival or disease recurrence.

摘要

NM23-H1基因产物最近被确定为一种潜在的转移抑制因子。对乳腺癌的研究表明,NM23-H1状态与致癌作用阶段及总生存率之间呈负相关。然而,在结直肠癌方面,已报道的数据相互矛盾。本研究旨在使用卡方分析调查新加坡人群结直肠癌中NM23-H1免疫染色是否与肿瘤分期、总生存率、疾病复发、肿瘤分化、年龄和性别相关。使用单克隆抗NM23-H1抗体对1991年至1992年间收集的141份石蜡包埋手术标本进行染色。对患者的随访直至死亡或5年。肿瘤分期与NM23-H1状态之间存在非常显著的负相关(P = 0.0004)。然而,NM23-H1表达与5年总生存率、疾病复发、肿瘤分化、年龄或性别无显著相关性。因此,尽管NM23-H1可能参与抑制转移,但NM23-H1免疫组化在结直肠癌中没有预后价值。这是首次报道NM23-H1状态与结直肠癌肿瘤分期之间存在显著负相关,且与总生存率或疾病复发无相关性。因此,我们的结果提醒人们不要将遗传标记与肿瘤分期的负相关等同于生存率或疾病复发。

https://cdn.ncbi.nlm.nih.gov/pmc/blobs/980c/2150137/3373272e078a/brjcancer00083-0143-a.jpg
https://cdn.ncbi.nlm.nih.gov/pmc/blobs/980c/2150137/3373272e078a/brjcancer00083-0143-a.jpg
https://cdn.ncbi.nlm.nih.gov/pmc/blobs/980c/2150137/3373272e078a/brjcancer00083-0143-a.jpg

相似文献

1
NM23-H1 immunostaining is inversely associated with tumour staging but not overall survival or disease recurrence in colorectal carcinomas.在结直肠癌中,NM23-H1免疫染色与肿瘤分期呈负相关,但与总生存期或疾病复发无关。
Br J Cancer. 1998 Apr;77(7):1164-8. doi: 10.1038/bjc.1998.193.
2
Prognostic significance of nm23 gene product expression in patients with colorectal carcinoma treated with radical intent.根治性治疗的结直肠癌患者中nm23基因产物表达的预后意义。
Oncol Rep. 2004 Jun;11(6):1193-200.
3
NM-23 H1 immunohistochemistry is not useful as predictor of metastatic potential of colorectal cancer.NM-23 H1免疫组织化学不能作为预测结直肠癌转移潜能的指标。
Br J Cancer. 1996 Nov;74(9):1413-8. doi: 10.1038/bjc.1996.557.
4
nm23-H1 immunoreactivity as a prognostic factor in differentiated thyroid carcinoma.nm23-H1免疫反应性作为分化型甲状腺癌的一个预后因素
J Clin Endocrinol Metab. 2001 Aug;86(8):3975-80. doi: 10.1210/jcem.86.8.7710.
5
Expression of nm23-H1 predicts lymph node involvement in colorectal carcinoma.nm23-H1的表达可预测结直肠癌患者的淋巴结受累情况。
Dis Colon Rectum. 1995 Jun;38(6):651-4. doi: 10.1007/BF02054128.
6
Early stage human colorectal cancer: prognostic value of nm23-H1 protein overexpression.早期人类结直肠癌:nm23-H1蛋白过表达的预后价值
Cancer Lett. 1997 Jan 1;111(1-2):1-5. doi: 10.1016/s0304-3835(96)04472-2.
7
Prognostic implication of nm23-H1 expression in colorectal carcinomas.nm23-H1表达在结直肠癌中的预后意义
Pathology. 2002 Oct;34(5):427-32. doi: 10.1080/0031302021000009342.
8
Analysis of both NM23-h1 and NM23-H2 expression identifies "at-risk" patients with colorectal cancer.对NM23-h1和NM23-H2表达的分析可识别出结直肠癌的“高危”患者。
Am Surg. 2003 Mar;69(3):203-8; discussion 208.
9
High level of Nm23-H1 gene expression is associated with local colorectal cancer progression not with metastases.Nm23-H1基因的高表达与局部结直肠癌进展相关,而非与转移相关。
Br J Cancer. 1994 Nov;70(5):1025-30. doi: 10.1038/bjc.1994.442.
10
Overexpression of nm23-H1 and nm23-H2 genes in colorectal carcinomas and loss of nm23-H1 expression in advanced tumour stages.nm23-H1和nm23-H2基因在结直肠癌中的过表达以及nm23-H1表达在肿瘤晚期的缺失。
Gut. 1995 Nov;37(5):712-20. doi: 10.1136/gut.37.5.712.

引用本文的文献

1
Joint modelling of colorectal cancer recurrence and death after resection using multi-state model with cured fraction.使用带有治愈部分的多状态模型对结直肠癌切除术后复发和死亡进行联合建模。
Sci Rep. 2021 Jan 13;11(1):1016. doi: 10.1038/s41598-020-79969-6.
2
NDPKA is not just a metastasis suppressor - be aware of its metastasis-promoting role in neuroblastoma.NDPKA 不仅是一种转移抑制因子——要意识到它在神经母细胞瘤中具有促进转移的作用。
Lab Invest. 2018 Feb;98(2):219-227. doi: 10.1038/labinvest.2017.105. Epub 2017 Oct 9.
3
The role of NM23 in patients with colorectal cancer: A systematic review and meta-analysis.

本文引用的文献

1
Site-directed mutation of Nm23-H1. Mutations lacking motility suppressive capacity upon transfection are deficient in histidine-dependent protein phosphotransferase pathways in vitro.Nm23-H1的定点突变。转染后缺乏运动抑制能力的突变体在体外组氨酸依赖性蛋白磷酸转移酶途径中存在缺陷。
J Biol Chem. 1997 Feb 28;272(9):5525-32. doi: 10.1074/jbc.272.9.5525.
2
Early stage human colorectal cancer: prognostic value of nm23-H1 protein overexpression.早期人类结直肠癌:nm23-H1蛋白过表达的预后价值
Cancer Lett. 1997 Jan 1;111(1-2):1-5. doi: 10.1016/s0304-3835(96)04472-2.
3
The significance of allelic deletions and aneuploidy in colorectal carcinoma. Results of a 5-year follow-up study.
NM23在结直肠癌患者中的作用:一项系统评价与荟萃分析。
J Huazhong Univ Sci Technolog Med Sci. 2017 Feb;37(1):1-10. doi: 10.1007/s11596-017-1686-z. Epub 2017 Feb 22.
4
Prognostic Value of NME1 (NM23-H1) in Patients with Digestive System Neoplasms: A Systematic Review and Meta-Analysis.NME1(NM23-H1)在消化系统肿瘤患者中的预后价值:一项系统评价与Meta分析
PLoS One. 2016 Aug 12;11(8):e0160547. doi: 10.1371/journal.pone.0160547. eCollection 2016.
5
Evaluation of serum nucleoside diphosphate kinase A for the detection of colorectal cancer.血清核苷二磷酸激酶A用于检测结直肠癌的评估
Sci Rep. 2016 May 25;6:26703. doi: 10.1038/srep26703.
6
Reduced NM23 Protein Level Correlates With Worse Clinicopathologic Features in Colorectal Cancers: A Meta-Analysis of Pooled Data.NM23蛋白水平降低与结直肠癌更差的临床病理特征相关:汇总数据的Meta分析
Medicine (Baltimore). 2016 Jan;95(4):e2589. doi: 10.1097/MD.0000000000002589.
7
Clinical significance of altered nm23-H1, EGFR, RB and p53 expression in bilharzial bladder cancer.埃及血吸虫性膀胱癌中nm23-H1、表皮生长因子受体、视网膜母细胞瘤蛋白及p53表达改变的临床意义
BMC Cancer. 2009 Jan 26;9:32. doi: 10.1186/1471-2407-9-32.
8
nm23-H1 expression and loss of heterozygosity in colon adenocarcinoma.nm23-H1在结肠腺癌中的表达及杂合性缺失
J Clin Pathol. 2004 Dec;57(12):1312-8. doi: 10.1136/jcp.2004.017954.
9
KAI1 gene expression in colonic carcinoma and its clinical significances.KAI1基因在结肠癌中的表达及其临床意义。
World J Gastroenterol. 2004 Aug 1;10(15):2245-9. doi: 10.3748/wjg.v10.i15.2245.
等位基因缺失和非整倍体在结直肠癌中的意义。一项5年随访研究的结果。
Cancer. 1997 Jan 15;79(2):233-44.
4
NM-23 H1 immunohistochemistry is not useful as predictor of metastatic potential of colorectal cancer.NM-23 H1免疫组织化学不能作为预测结直肠癌转移潜能的指标。
Br J Cancer. 1996 Nov;74(9):1413-8. doi: 10.1038/bjc.1996.557.
5
The cellular basis of metastasis.转移的细胞基础。
World J Urol. 1996;14(3):141-50. doi: 10.1007/BF00186893.
6
Overexpression of nm23-H1 and nm23-H2 genes in colorectal carcinomas and loss of nm23-H1 expression in advanced tumour stages.nm23-H1和nm23-H2基因在结直肠癌中的过表达以及nm23-H1表达在肿瘤晚期的缺失。
Gut. 1995 Nov;37(5):712-20. doi: 10.1136/gut.37.5.712.
7
Increased nm23-H1 and nm23-H2 messenger RNA expression and absence of mutations in colon carcinomas of low and high metastatic potential.低转移潜能和高转移潜能结肠癌中nm23-H1和nm23-H2信使核糖核酸表达增加且无突变
J Natl Cancer Inst. 1993 Jan 20;85(2):147-52. doi: 10.1093/jnci/85.2.147.
8
A serine phosphorylation of Nm23, and not its nucleoside diphosphate kinase activity, correlates with suppression of tumor metastatic potential.Nm23的丝氨酸磷酸化而非其二磷酸核苷激酶活性与肿瘤转移潜能的抑制相关。
J Biol Chem. 1993 Dec 5;268(34):25780-9.
9
Inverse association of nm23-H1 expression by colorectal cancer with liver metastasis.结直肠癌中nm23-H1表达与肝转移呈负相关。
Br J Cancer. 1993 Nov;68(5):1020-4. doi: 10.1038/bjc.1993.473.
10
Nm23 'anti-metastatic' gene product expression in colorectal carcinoma.Nm23“抗转移”基因产物在结直肠癌中的表达
J Pathol. 1994 Mar;172(3):261-6. doi: 10.1002/path.1711720306.