Schmidt C M, Lazenby A J, Hendrickson R J, Sitzmann J V
Department of Surgery, Georgetown University Medical Center, Washington, DC 20007, USA.
Ann Surg. 1998 May;227(5):654-62; discussion 663-5. doi: 10.1097/00000658-199805000-00006.
This study seeks to compare the histopathology of preoperative terminal ileal and colonic resection specimens with pouch biopsies after the ileoanal pull-through (IAPT) procedure.
Pouchitis is the most frequent complication of transanal continent reservoirs in patients after IAPT.
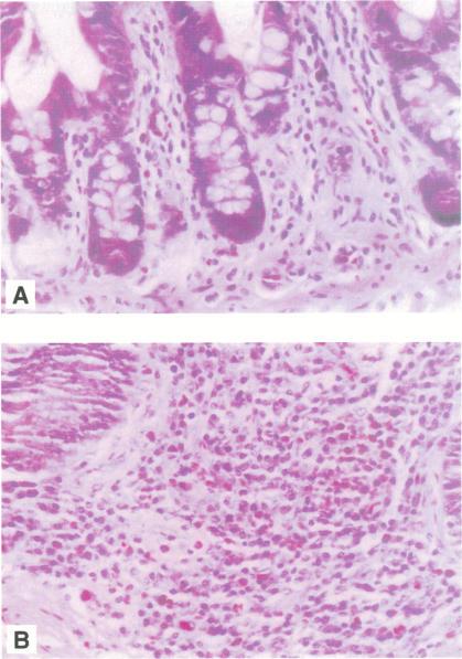
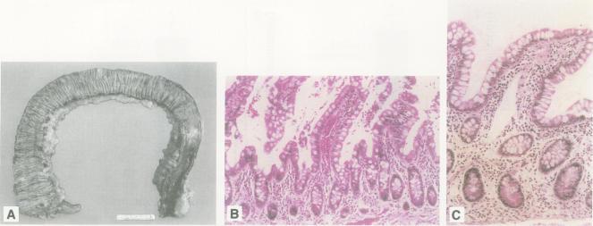
The authors conducted 751 consecutive pouch biopsies on 73 patients with inflammatory bowel disease or familial adenomatous polyposis who underwent IAPT by a single surgeon over a 10-year period. In this preliminary report, a pathologist, in blinded fashion, has graded 468 of the IAPT pouch biopsies and 67 of the patients' preoperative terminal ileal and colonic resection histopathology to date. Colonic histopathology was graded by the extent and severity of disease, terminal ileal and pouch histopathology by active inflammation, chronic inflammation, lymphocyte aggregates, intraepithelial lymphocytes, eosinophils, and villous blunting.
Extent of colonic disease (gross and microscopic) was a significant predictor of active inflammation in subsequent IAPT pouch biopsy specimens. Also, the gross extent of colonic disease exhibited a significant linear association with pouch inflammation. However, the severity of colonic disease was not significantly predictive of active inflammation in subsequent IAPT pouch biopsies. Terminal ileal active and chronic inflammation were significant predictors of subsequent IAPT pouch inflammation. Although lymphocyte aggregates and intraepithelial lymphocytes were not predictive, terminal ileum eosinophils and villous blunting were significant predictors of active inflammation in subsequent IAPT pouch biopsy specimens.
Preoperative terminal ileal and colonic histopathology predicts active inflammation of pouches after IAPT. Patients who are preoperatively assessed to have extensive disease of the colon, ileal disease ("backwash ileitis"), or both appear to be at greater risk for the development of pouchitis after IAPT.
本研究旨在比较回肠肛管拖出术(IAPT)后术前末段回肠和结肠切除标本与储袋活检组织的组织病理学特征。
储袋炎是IAPT术后经肛门可控性储袋患者最常见的并发症。
作者对73例炎症性肠病或家族性腺瘤性息肉病患者进行了连续751次储袋活检,这些患者在10年期间由同一外科医生实施了IAPT。在这份初步报告中,一名病理学家以盲法对468份IAPT储袋活检组织以及67例患者术前末段回肠和结肠切除组织的病理进行了分级。结肠组织病理学根据疾病的范围和严重程度分级,末段回肠和储袋组织病理学根据活动性炎症、慢性炎症、淋巴细胞聚集、上皮内淋巴细胞、嗜酸性粒细胞和绒毛变钝进行分级。
结肠疾病的范围(大体和显微镜下)是后续IAPT储袋活检标本中活动性炎症的重要预测指标。此外,结肠疾病的大体范围与储袋炎症呈显著线性相关。然而,结肠疾病的严重程度对后续IAPT储袋活检中的活动性炎症并无显著预测作用。末段回肠的活动性和慢性炎症是后续IAPT储袋炎症的重要预测指标。虽然淋巴细胞聚集和上皮内淋巴细胞无预测作用,但末段回肠嗜酸性粒细胞和绒毛变钝是后续IAPT储袋活检标本中活动性炎症的重要预测指标。
术前末段回肠和结肠组织病理学可预测IAPT术后储袋的活动性炎症。术前评估为结肠广泛病变、回肠病变(“反流性回肠炎”)或两者皆有的患者,IAPT术后发生储袋炎的风险似乎更高。